IDH2 antibody [GT673]

Cat. No. GTX628487
Cat. No.  GTX628487
Anti-IDH2 antibody [GT673] used in Immunocytochemistry/ Immunofluorescence (ICC/IF). GTX628487
GTX628487 ICC/IF Image

IDH2 antibody [GT673] detects IDH2 protein at Mitochondria by immunofluorescent analysis.
Sample: HeLa cells were fixed in 4% paraformaldehyde at RT for 10 min.
Green: IDH2 protein stained by IDH2 antibody [GT673] (GTX628487) diluted at 1:100.
Blue: Hoechst 33342 staining.
Scale bar = 10 μm.

1 / 9
Anti-IDH2 antibody [GT673] used in Western Blot (WB). GTX628487
GTX628487 WB Image

Non-transfected (–) and transfected (+) 293T whole cell extracts (30 μg) were separated by 7.5% SDS-PAGE, and the membrane was blotted with IDH2 antibody [GT673] (GTX628487) diluted at 1:1000. The HRP-conjugated anti-mouse IgG antibody (GTX213111-01) was used to detect the primary antibody.

2 / 9
Anti-IDH2 antibody [GT673] used in Western Blot (WB). GTX628487
GTX628487 WB Image

IDH2 antibody [GT673] detects IDH2 protein by western blot analysis.
A. 50 μg rat brain lysate/extract
12% SDS-PAGE
IDH2 antibody [GT673] (GTX628487) dilution: 1:1000
The HRP-conjugated anti-mouse IgG antibody (GTX213111-01) was used to detect the primary antibody.

3 / 9
Anti-IDH2 antibody [GT673] used in Western Blot (WB). GTX628487
GTX628487 WB Image

Non-transfected (–) and transfected (+) HepG2 whole cell extracts (30 μg) were separated by 10% SDS-PAGE, and the membrane was blotted with IDH2 antibody [GT673] (GTX628487) diluted at 1:500. The HRP-conjugated anti-mouse IgG antibody (GTX213111-01) was used to detect the primary antibody.

4 / 9
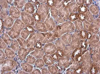
Anti-IDH2 antibody [GT673] used in IHC (Paraffin sections) (IHC-P). GTX628487
GTX628487 IHC-P Image

IDH2 antibody [GT673] detects IDH2 protein at cytoplasm in mouse kidney by immunohistochemical analysis.
Sample: Paraffin-embedded mouse kidney.
IDH2 antibody [GT673] (GTX628487) diluted at 1:500.

Antigen Retrieval: Citrate buffer, pH 6.0, 15 min

5 / 9
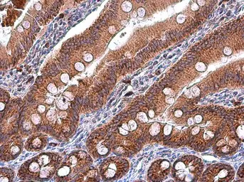
Anti-IDH2 antibody [GT673] used in IHC (Paraffin sections) (IHC-P). GTX628487
GTX628487 IHC-P Image

IDH2 antibody [GT673] detects IDH2 protein at cytoplasm in rat duodenum by immunohistochemical analysis.
Sample: Paraffin-embedded rat duodenum.
IDH2 antibody [GT673] (GTX628487) diluted at 1:500.

Antigen Retrieval: Citrate buffer, pH 6.0, 15 min

6 / 9
Anti-IDH2 antibody [GT673] used in Western Blot (WB). GTX628487
GTX628487 WB Image

IDH2 antibody detects IDH2 protein by western blot analysis.
A. 30 μg Jurkat whole cell lysate/extract
B. 30 μg Raji whole cell lysate/extract
C. 30 μg K562 whole cell lysate/extract
D. 30 μg THP-1 whole cell lysate/extract
E. 30 μg NCI-H929 whole cell lysate/extract
10% SDS-PAGE
IDH2 antibody (GTX628487) dilution: 1:1000
The HRP-conjugated anti-mouse IgG antibody (GTX213111-01) was used to detect the primary antibody.

7 / 9
Anti-IDH2 antibody [GT673] used in Immunocytochemistry/ Immunofluorescence (ICC/IF). GTX628487
GTX628487 ICC/IF Image

IDH2 antibody detects IDH2 protein at Mitochondria by immunofluorescent analysis.
Sample: HeLa cells were fixed in 4% paraformaldehyde/PBS for 15 min.
Green: IDH2 protein stained by IDH2 antibody (GTX628487) diluted at 1:500.
Red: alpha Tubulin protein stained by alpha Tubulin antibody (GTX102078) diluted at 1:500.
Blue: Hoechst 33342 staining.

8 / 9
Anti-IDH2 antibody [GT673] used in Western Blot (WB). GTX628487
GTX628487 WB Image

IDH2 antibody [GT673] detects IDH2 protein by western blot analysis.
A. 50 μg mouse brain lysate/extract
10% SDS-PAGE
IDH2 antibody [GT673] (GTX628487) dilution: 1:1000
The HRP-conjugated anti-mouse IgG antibody (GTX213111-01) was used to detect the primary antibody.

9 / 9
Anti-IDH2 antibody [GT673] used in Immunocytochemistry/ Immunofluorescence (ICC/IF). GTX628487
Anti-IDH2 antibody [GT673] used in Western Blot (WB). GTX628487
Anti-IDH2 antibody [GT673] used in Western Blot (WB). GTX628487
Anti-IDH2 antibody [GT673] used in Western Blot (WB). GTX628487
Anti-IDH2 antibody [GT673] used in IHC (Paraffin sections) (IHC-P). GTX628487
Anti-IDH2 antibody [GT673] used in IHC (Paraffin sections) (IHC-P). GTX628487
Anti-IDH2 antibody [GT673] used in Western Blot (WB). GTX628487
Anti-IDH2 antibody [GT673] used in Immunocytochemistry/ Immunofluorescence (ICC/IF). GTX628487
Anti-IDH2 antibody [GT673] used in Western Blot (WB). GTX628487
  • Host
    Mouse
  • Clonality
    Monoclonal
  • Clone Name
    GT673
  • Isotype
    IgG1
  • Applications
    WB ICC/IF IHC-P
  • Reactivity
    Human, Mouse, Rat
See all IDH2 products