IDO1 antibody [GT273]

Cat. No. GTX634652
Cat. No.  GTX634652
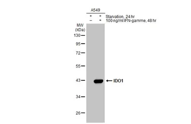
Anti-IDO1 antibody [GT273] used in Western Blot (WB). GTX634652
GTX634652 WB Image

Untreated (–) and treated (+) A549 whole cell extracts (30 μg) were separated by 10% SDS-PAGE, and the membrane was blotted with IDO1 antibody [GT273] (GTX634652) diluted at 1:5000. The HRP-conjugated anti-mouse IgG antibody (GTX213111-01) was used to detect the primary antibody.

1 / 3
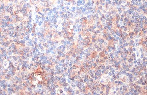
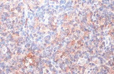
Anti-IDO1 antibody [GT273] used in IHC (Paraffin sections) (IHC-P). GTX634652
GTX634652 IHC-P Image

IDO1 antibody [GT273] detects IDO1 protein at cell membrane and cytoplasm by immunohistochemical analysis.
Sample: Paraffin-embedded human tonsil.
IDO1 stained by IDO1 antibody [GT273] (GTX634652) diluted at 1:200.
Antigen Retrieval: Citrate buffer, pH 6.0, 15 min

2 / 3
Anti-IDO1 antibody [GT273] used in Western Blot (WB). GTX634652
GTX634652 WB Image

Non-transfected (–) and transfected (+) 293T whole cell extracts (30 μg) were separated by 10% SDS-PAGE, and the membranes were blotted with IDO1 antibody [GT273] (GTX634652) diluted at 1:5000 and competitor's antibody (CST#12006) diluted at 1:1000. The HRP-conjugated anti-mouse IgG antibody (GTX213111-01) was used to detect the primary antibody.

*The competitor is not affiliated with GeneTex and does not endorse this product.

3 / 3
Anti-IDO1 antibody [GT273] used in Western Blot (WB). GTX634652
Anti-IDO1 antibody [GT273] used in IHC (Paraffin sections) (IHC-P). GTX634652
Anti-IDO1 antibody [GT273] used in Western Blot (WB). GTX634652
  • Host
    Mouse
  • Clonality
    Monoclonal
  • Clone Name
    GT273
  • Isotype
    IgG2a
  • Applications
    WB IHC-P
  • Reactivity
    Human
See all IDO1 products