Iba1 antibody [GT10312]

Cat. No. GTX632426
Cat. No.  GTX632426
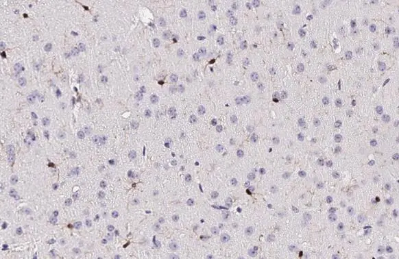
Anti-Iba1 antibody [GT10312] used in IHC (Paraffin sections) (IHC-P). GTX632426
GTX632426 IHC-P Image

Iba1 antibody [GT10312] detects Iba1 protein by immunohistochemical analysis.
Sample: Paraffin-embedded human brain.
Iba1 stained by Iba1 antibody [GT10312] (GTX632426) diluted at 1:200.
Antigen Retrieval: Citrate buffer, pH 6.0, 15 min

1 / 8
Anti-Iba1 antibody [GT10312] used in Western Blot (WB). GTX632426
GTX632426 WB Image

Various whole cell extracts (30 μg) were separated by 15% SDS-PAGE, and the membrane was blotted with Iba1 antibody [GT10312] (GTX632426) diluted at 1:2500. The HRP-conjugated anti-mouse IgG antibody (GTX213111-01) was used to detect the primary antibody. Corresponding RNA expression data for the same cell lines are based on Human Protein Atlas program.

2 / 8
Anti-Iba1 antibody [GT10312] used in IHC (Paraffin sections) (IHC-P). GTX632426
GTX632426 IHC-P Image

Iba1 antibody [GT10312] detects Iba1 protein by immunohistochemical analysis.
Sample: Paraffin-embedded rat brain.
Iba1 stained by Iba1 antibody [GT10312] (GTX632426) diluted at 1:200.
Antigen Retrieval: Citrate buffer, pH 6.0, 15 min

3 / 8
Anti-Iba1 antibody [GT10312] used in IHC (Paraffin sections) (IHC-P). GTX632426
GTX632426 IHC-P Image

Iba1 antibody [GT10312] detects Iba1 protein at microglia by immunohistochemical analysis.
Sample: Paraffin-embedded mouse brain.
Iba1 stained by Iba1 antibody [GT10312] (GTX632426) diluted at 1:200.
Antigen Retrieval: Citrate buffer, pH 6.0, 15 min

4 / 8
Anti-Iba1 antibody [GT10312] used in Flow cytometry (FCM). GTX632426
GTX632426 FCM Image

Iba1 antibody [GT10312] (GTX632426) detects AIF1 protein by flow cytometry analysis.
Sample: THP-1 cell.
Black: Unlabelled sample was used as a control.
Red: Iba1 antibody [GT10312] (GTX632426) dilution: 1:50.
Acquisition of 20,000 events were collected for FACS analysis.

5 / 8
Anti-Iba1 antibody [GT10312] used in Western Blot (WB). GTX632426
GTX632426 WB Image

Whole cell extract (30 μg) was separated by 15% SDS-PAGE, and the membrane was blotted with Iba1 antibody [GT10312] (GTX632426) diluted at 1:1000. The HRP-conjugated anti-mouse IgG antibody (GTX213111-01) was used to detect the primary antibody, and the signal was developed with Trident ECL plus-Enhanced.

6 / 8
Anti-Iba1 antibody [GT10312] used in  (). GTX632426
GTX632426 Image

The data was published in the journal Front Mol Neurosci in 2019.PMID: 30914921

7 / 8
Anti-Iba1 antibody [GT10312] used in  (). GTX632426
GTX632426 Image

The data was published in the journal Front Pharmacol in 2020.PMID: 32194421

8 / 8
Anti-Iba1 antibody [GT10312] used in IHC (Paraffin sections) (IHC-P). GTX632426
Anti-Iba1 antibody [GT10312] used in Western Blot (WB). GTX632426
Anti-Iba1 antibody [GT10312] used in IHC (Paraffin sections) (IHC-P). GTX632426
Anti-Iba1 antibody [GT10312] used in IHC (Paraffin sections) (IHC-P). GTX632426
Anti-Iba1 antibody [GT10312] used in Flow cytometry (FCM). GTX632426
Anti-Iba1 antibody [GT10312] used in Western Blot (WB). GTX632426
Anti-Iba1 antibody [GT10312] used in  (). GTX632426
Anti-Iba1 antibody [GT10312] used in  (). GTX632426
  • Host
    Mouse
  • Clonality
    Monoclonal
  • Clone Name
    GT10312
  • Isotype
    IgG1
  • Applications
    WB IHC-P FCM IHC (Free Floating)
  • Reactivity
    Human, Mouse, Rat, Zebrafish
See all Iba1 products