Influenza A virus H1N1 NA (Neuraminidase) antibody [HL1108]

Cat. No. GTX636323
Cat. No.  GTX636323
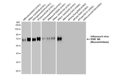
Anti-Influenza A virus H1N1 NA (Neuraminidase) antibody [HL1108] used in Western Blot (WB). GTX636323
GTX636323 WB Image

Influenza A viral lysate (1 μg) were separated by 10% SDS-PAGE, and the membrane was blotted with Influenza A virus H1N1 NA (Neuraminidase) antibody [HL1108] (GTX636323) diluted at 1:1000. The HRP-conjugated anti-rabbit IgG antibody (GTX213110-01) was used to detect the primary antibody.

1 / 3
Anti-Influenza A virus H1N1 NA (Neuraminidase) antibody [HL1108] used in Western Blot (WB). GTX636323
GTX636323 WB Image

Non-transfected (–) and transfected (+) 293T whole cell extracts (30 μg) were separated by 10% SDS-PAGE, and the membrane was blotted with Influenza A virus H1N1 NA (Neuraminidase) antibody [HL1108] (GTX636323) diluted at 1:5000. The HRP-conjugated anti-rabbit IgG antibody (GTX213110-01) was used to detect the primary antibody.

2 / 3
Anti-Influenza A virus H1N1 NA (Neuraminidase) antibody [HL1108] used in Immunocytochemistry/ Immunofluorescence (ICC/IF). GTX636323
GTX636323 ICC/IF Image

Influenza A virus H1N1 NA (Neuraminidase) antibody [HL1108] detects Influenza A virus H1N1 NA (Neuraminidase) protein by immunofluorescent analysis.
Sample: Influenza A and B Virus infected cells slide cells were fixed in Influenza Kit.
Green: Influenza A virus H1N1 NA (Neuraminidase) stained by Influenza A virus H1N1 NA (Neuraminidase) antibody [HL1108] (GTX636323) diluted at 1:100.
Blue: Fluoroshield with DAPI (GTX30920).

3 / 3
Anti-Influenza A virus H1N1 NA (Neuraminidase) antibody [HL1108] used in Western Blot (WB). GTX636323
Anti-Influenza A virus H1N1 NA (Neuraminidase) antibody [HL1108] used in Western Blot (WB). GTX636323
Anti-Influenza A virus H1N1 NA (Neuraminidase) antibody [HL1108] used in Immunocytochemistry/ Immunofluorescence (ICC/IF). GTX636323
  • Host
    Rabbit
  • Clonality
    Monoclonal
  • Clone Name
    HL1108
  • Isotype
    IgG
  • Applications
    WB ICC/IF
  • Reactivity
    Influenza A virus (H1N1)
See all Influenza A virus NA1 products