Influenza A virus M1 (matrix protein) antibody

Cat. No. GTX125928
Cat. No.  GTX125928
Anti-Influenza A virus M1 (matrix protein) antibody used in Western Blot (WB). GTX125928
GTX125928 WB Image

Non-transfected (–) and transfected (+) 293T whole cell extracts (30 μg) were separated by 12% SDS-PAGE, and the membrane was blotted with Influenza A virus M1 (matrix protein) antibody (GTX125928) diluted at 1:5000. The HRP-conjugated anti-rabbit IgG antibody (GTX213110-01) was used to detect the primary antibody.

1 / 7
Anti-Influenza A virus M1 (matrix protein) antibody used in Western Blot (WB). GTX125928
GTX125928 WB Image

Influenza A (H1N1) viral lysate (0.5 μg) was separated by 12% SDS-PAGE, and the membrane was blotted with Influenza A virus M1 (matrix protein) antibody (GTX125928) diluted at 1:5000. The HRP-conjugated anti-rabbit IgG antibody (GTX213110-01) was used to detect the primary antibody.

2 / 7
Anti-Influenza A virus M1 (matrix protein) antibody used in Western Blot (WB). GTX125928
GTX125928 WB Image

Sample (50 μg of whole cell lysate)
A: mock DF-1 cell lysates
B: WSN-infected DF-1 cell lysates
15% SDS PAGE
GTX125928 diluted at 1:5000
The HRP-conjugated anti-rabbit IgG antibody (GTX213110-01) was used to detect the primary antibody.

3 / 7
Anti-Influenza A virus M1 (matrix protein) antibody used in Western Blot (WB). GTX125928
GTX125928 WB Image

The data was published in the journal J Virol in 2018.PMID: 30209172

4 / 7
Anti-Influenza A virus M1 (matrix protein) antibody used in Western Blot (WB). GTX125928
GTX125928 WB Image

The data was published in the journal Viruses in 2019.PMID: 31500389

5 / 7
Anti-Influenza A virus M1 (matrix protein) antibody used in Western Blot (WB). GTX125928
GTX125928 WB Image

The data was published in the journal Sci Rep in 2017. PMID: 28842649

6 / 7
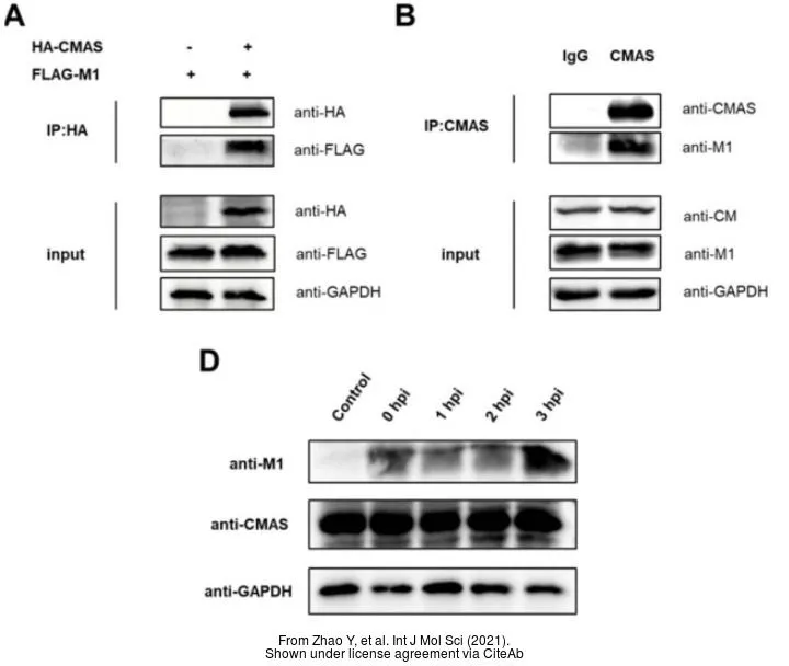
Anti-Influenza A virus M1 (matrix protein) antibody used in Western Blot (WB). GTX125928
GTX125928 WB Image

The data was published in the 2021 in Int J Mol Sci. PMID: 34200006

7 / 7
Anti-Influenza A virus M1 (matrix protein) antibody used in Western Blot (WB). GTX125928
Anti-Influenza A virus M1 (matrix protein) antibody used in Western Blot (WB). GTX125928
Anti-Influenza A virus M1 (matrix protein) antibody used in Western Blot (WB). GTX125928
Anti-Influenza A virus M1 (matrix protein) antibody used in Western Blot (WB). GTX125928
Anti-Influenza A virus M1 (matrix protein) antibody used in Western Blot (WB). GTX125928
Anti-Influenza A virus M1 (matrix protein) antibody used in Western Blot (WB). GTX125928
Anti-Influenza A virus M1 (matrix protein) antibody used in Western Blot (WB). GTX125928
  • Host
    Rabbit
  • Clonality
    Polyclonal
  • Isotype
    IgG
  • Applications
    WB ICC/IF IHC-Fr
  • Reactivity
    Influenza A virus
See all Influenza A virus M1 (matrix protein) products