Influenza A virus NS1 (nonstructural protein) antibody

Cat. No. GTX125990
Cat. No.  GTX125990
Anti-Influenza A virus NS1 (nonstructural protein) antibody used in Western Blot (WB). GTX125990
GTX125990 WB Image

Non-infected (–) and infected (+) H1299 whole cell extracts (5 μg) were separated by 12% SDS-PAGE, and the membrane was blotted with Influenza A virus NS1 (nonstructural protein) antibody (GTX125990) diluted at 1:1000. The HRP-conjugated anti-rabbit IgG antibody (GTX213110-01) was used to detect the primary antibody.

1 / 13
Anti-Influenza A virus NS1 (nonstructural protein) antibody used in Western Blot (WB). GTX125990
GTX125990 WB Image

Non-transfected (–) and transfected (+) 293T whole cell extracts (30 μg) were separated by 12% SDS-PAGE, and the membrane was blotted with Influenza A virus NS1 (nonstructural protein) antibody (GTX125990) diluted at 1:1000. The HRP-conjugated anti-rabbit IgG antibody (GTX213110-01) was used to detect the primary antibody.

2 / 13
Anti-Influenza A virus NS1 (nonstructural protein) antibody used in Western Blot (WB). GTX125990
GTX125990 WB Image

Sample (10 μg of whole cell lysate)
A: mock DF-1 cell lysates
B: WSN-infected DF-1 cell lysates
12% SDS PAGE
GTX125990 diluted at 1:1000
The HRP-conjugated anti-rabbit IgG antibody (GTX213110-01) was used to detect the primary antibody.

3 / 13
Anti-Influenza A virus NS1 (nonstructural protein) antibody used in Immunocytochemistry/ Immunofluorescence (ICC/IF). GTX125990
GTX125990 ICC/IF Image

Influenza A Virus NS1 antibody detects NS1 (H1N1) protein at by immunofluorescent analysis.
Sample: A/WSN/33 infected Vero cells were fixed in 4% paraformaldehyde at RT for 20 min.
Green: NS1 (H1N1) protein stained by Influenza A Virus NS1 antibody (GTX125990) diluted at 1:500.
Blue: DAPI staining.
Yellow: WGA life stained at 37ºC, 30 min.

4 / 13
Anti-Influenza A virus NS1 (nonstructural protein) antibody used in Western Blot (WB). GTX125990
GTX125990 WB Image

Influenza A viral lysate and Influenza B viral lysate (0.1 μg) were separated by 12% SDS-PAGE, and the membrane was blotted with Influenza A virus NS1 (nonstructural protein) antibody (GTX125990) diluted at 1:440. The HRP-conjugated anti-rabbit IgG antibody (GTX213110-01) was used to detect the primary antibody.

5 / 13
Anti-Influenza A virus NS1 (nonstructural protein) antibody used in Western Blot (WB). GTX125990
GTX125990 WB Image

The data was published in the journal Viruses in 2019.PMID: 31500389

6 / 13
Anti-Influenza A virus NS1 (nonstructural protein) antibody used in Western Blot (WB). GTX125990
GTX125990 WB Image

The data was published in the journal Front Microbiol in 2018. PMID: 30258431

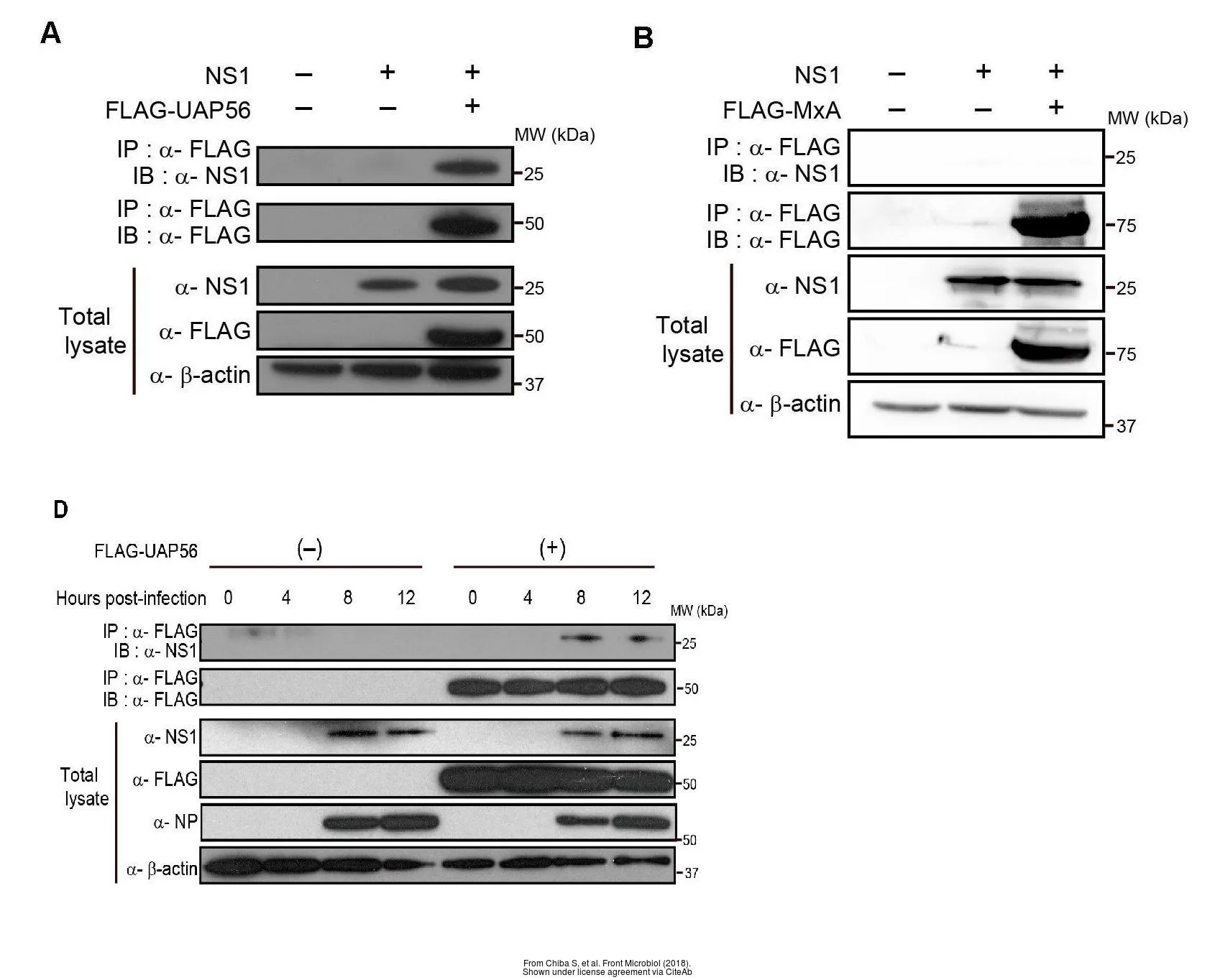
7 / 13
Anti-Influenza A virus NS1 (nonstructural protein) antibody used in Western Blot (WB). GTX125990
GTX125990 WB Image

The data was published in the journal Front Microbiol in 2018. PMID: 30258431

8 / 13
Anti-Influenza A virus NS1 (nonstructural protein) antibody used in Western Blot (WB). GTX125990
GTX125990 WB Image

The data was published in the journal Front Microbiol in 2018. PMID: 30258431

9 / 13
Anti-Influenza A virus NS1 (nonstructural protein) antibody used in Western Blot (WB). GTX125990
GTX125990 WB Image

The data was published in the journal Nat Commun in 2019. PMID: 31604929

10 / 13
Anti-Influenza A virus NS1 (nonstructural protein) antibody used in Western Blot (WB). GTX125990
GTX125990 WB Image

The data was published in the journal Front Microbiol in 2018. PMID: 30258431

11 / 13
Anti-Influenza A virus NS1 (nonstructural protein) antibody used in Western Blot (WB). GTX125990
GTX125990 WB Image

The data was published in the journal Nat Commun in 2019. PMID: 31604929

12 / 13
Anti-Influenza A virus NS1 (nonstructural protein) antibody used in Western Blot (WB). GTX125990
GTX125990 WB Image

The data was published in the journal PLoS Pathog in 2018.PMID: 29723291

13 / 13
Anti-Influenza A virus NS1 (nonstructural protein) antibody used in Western Blot (WB). GTX125990
Anti-Influenza A virus NS1 (nonstructural protein) antibody used in Western Blot (WB). GTX125990
Anti-Influenza A virus NS1 (nonstructural protein) antibody used in Western Blot (WB). GTX125990
Anti-Influenza A virus NS1 (nonstructural protein) antibody used in Immunocytochemistry/ Immunofluorescence (ICC/IF). GTX125990
Anti-Influenza A virus NS1 (nonstructural protein) antibody used in Western Blot (WB). GTX125990
Anti-Influenza A virus NS1 (nonstructural protein) antibody used in Western Blot (WB). GTX125990
Anti-Influenza A virus NS1 (nonstructural protein) antibody used in Western Blot (WB). GTX125990
Anti-Influenza A virus NS1 (nonstructural protein) antibody used in Western Blot (WB). GTX125990
Anti-Influenza A virus NS1 (nonstructural protein) antibody used in Western Blot (WB). GTX125990
Anti-Influenza A virus NS1 (nonstructural protein) antibody used in Western Blot (WB). GTX125990
Anti-Influenza A virus NS1 (nonstructural protein) antibody used in Western Blot (WB). GTX125990
Anti-Influenza A virus NS1 (nonstructural protein) antibody used in Western Blot (WB). GTX125990
Anti-Influenza A virus NS1 (nonstructural protein) antibody used in Western Blot (WB). GTX125990
  • Host
    Rabbit
  • Clonality
    Polyclonal
  • Isotype
    IgG
  • Applications
    WB ICC/IF IHC-P
  • Reactivity
    Influenza A virus
See all Influenza A virus NS1 (nonstructural protein) products