Influenza A virus Nucleoprotein antibody [HL1089]

Cat. No. GTX636247
Cat. No.  GTX636247
Anti-Influenza A virus Nucleoprotein antibody [HL1089] used in Lateral Flow (Lateral Flow). GTX636247
GTX636247 Lateral Flow Image

Detection of recombinant influenza A virus nucleoproteins of the indicated strains by lateral flow assay using the recombinant rabbit monoclonal antibody pair.

Capture: Influenza A virus Nucleoprotein antibody [HL1089] (GTX636247)
Detection: Influenza A virus Nucleoprotein antibody [HL1103] (GTX636318)

1 / 19
Anti-Influenza A virus Nucleoprotein antibody [HL1089] used in ELISA (ELISA). GTX636247
GTX636247 ELISA Image

Indirect ELISA analysis was performed by coating a plate with recombinant influenza A virus nucleoprotein (A/Kansas/2017/H3N2), DDDDK Tag (GTX135903-pro) (50 ng), and probing with the specified influenza A virus nucleoprotein antibodies at the indicated concentrations. Goat anti-rabbit IgG antibody (HRP) (GTX213110-01) (1:10000) or goat anti-mouse IgG antibody (HRP) (GTX213111-01) (1:10000) were used to detect the bound primary antibodies.

2 / 19
Anti-Influenza A virus Nucleoprotein antibody [HL1089] used in ELISA (ELISA). GTX636247
GTX636247 ELISA Image

Indirect ELISA analysis was performed by coating a plate with viral lysates (1 μg) derived from different strains of influenza A virus or influenza B virus and probing with the specified influenza A virus nucleoprotein antibodies (1 μg/ml). Goat anti-rabbit IgG antibody (HRP) (GTX213110-01) (1:10000) or goat anti-mouse IgG antibody (HRP) (GTX213111-01) (1:10000) were used to detect the bound primary antibodies.

3 / 19
Anti-Influenza A virus Nucleoprotein antibody [HL1089] used in ELISA (ELISA). GTX636247
GTX636247 ELISA Image

Sandwich ELISA detection of recombinant Influenza A virus Nucleoprotein (A/WSN/1933 (H1N1)), DDDDK Tag (GTX135868-pro) using antibodies as below.

Capture: Influenza A virus Nucleoprotein antibody [HL1089] (GTX636247) (5 μg/mL)
Detection: Influenza A virus Nucleoprotein antibody [GT1236] (GTX629633) (1 μg/mL)

4 / 19
Anti-Influenza A virus Nucleoprotein antibody [HL1089] used in Western Blot (WB). GTX636247
GTX636247 WB Image

Non-transfected (–) and transfected (+) 293T whole cell extracts (30 μg) were separated by 10% SDS-PAGE, and the membrane was blotted with Influenza A virus Nucleoprotein antibody [HL1089] (GTX636247) diluted at 1:5000. The HRP-conjugated anti-rabbit IgG antibody (GTX213110-01) was used to detect the primary antibody.

5 / 19
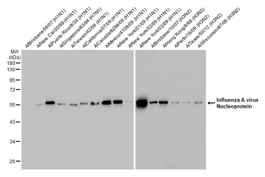
Anti-Influenza A virus Nucleoprotein antibody [HL1089] used in Western Blot (WB). GTX636247
GTX636247 WB Image

Influenza A viral lysate (0.1 μg) was separated by 10% SDS-PAGE, and the membrane was blotted with Influenza A virus Nucleoprotein antibody [HL1089] (GTX636247) diluted at 1:1000. The HRP-conjugated anti-rabbit IgG antibody (GTX213110-01) was used to detect the primary antibody.

6 / 19
Anti-Influenza A virus Nucleoprotein antibody [HL1089] used in Lateral Flow (Lateral Flow). GTX636247
GTX636247 Lateral Flow Image

Detection of recombinant influenza A virus nucleoprotein (NP) (A/WSN/1933 (H1N1)), DDDDK Tag (GTX135868-pro) by lateral flow assay using the indicated recombinant rabbit monoclonal antibody pairs.

HL1078 : Influenza A virus Nucleoprotein antibody [HL1078] (GTX636199)
HL1089 : Influenza A virus Nucleoprotein antibody [HL1089] (GTX636247)
HL1103 : Influenza A virus Nucleoprotein antibody [HL1103] (GTX636318)
Sample : Influenza A virus Nucleoprotein (A/WSN/1933 (H1N1)), DDDDK Tag (GTX135868-pro)

7 / 19
Anti-Influenza A virus Nucleoprotein antibody [HL1089] used in ELISA (ELISA). GTX636247
GTX636247 ELISA Image

Sandwich ELISA detection of recombinant nucleoproteins (NP) derived from different strains of Influenza A virus (i.e., A/Kansas/2017 (H3N2); A/California/2009 (H1N1); A/Hong Kong/2671/2019 (H3N2)) and Influenza B virus (i.e., B/Sydney/3/2004; B/Victoria/02/1987)) using antibodies as below.
Capture: Influenza A virus NP (nucleoprotein) antibody [HL1103] (GTX636318) (5 μg/mL)
Detection: HRP-conjugated Influenza A virus NP (nucleoprotein) antibody [HL1089] (GTX636247) (1 μg/mL).

Please notice that GTX636247 needs to be conjugated to HRP to function as the detection antibody when paired with GTX636318. Please contact us for custom HRP-conjugated antibody.

8 / 19
Anti-Influenza A virus Nucleoprotein antibody [HL1089] used in Western Blot (WB). GTX636247
GTX636247 WB Image

Influenza A viral lysates (1 μg) were separated by 10% SDS-PAGE, and the membrane was blotted with Influenza A virus Nucleoprotein antibody [HL1089] (GTX636247) diluted at 1:1000. The HRP-conjugated anti-rabbit IgG antibody (GTX213110-01) was used to detect the primary antibody.

9 / 19
Anti-Influenza A virus Nucleoprotein antibody [HL1089] used in ELISA (ELISA). GTX636247
GTX636247 ELISA Image

Indirect ELISA analysis performed by coating plate with recombinant full-length Influenza A virus NP (nucleoprotein) antibody (GTX135903-pro) (50 ng). Coated protein was probed with Influenza A virus Nucleoprotein antibody [HL1089] (GTX636247) (20000-4.77*10-3 pM). Rabbit IgG antibody (HRP) (GTX213110-01) (1:10000) was used to detect bound primary antibody.

EC50 : 37.93 pM

10 / 19
Anti-Influenza A virus Nucleoprotein antibody [HL1089] used in ELISA (ELISA). GTX636247
GTX636247 ELISA Image

Sandwich ELISA detection of recombinant nucleoproteins (NP) derived from different strains of Influenza A virus (i.e., A/Kansas/2017 (H3N2); A/California/2009 (H1N1); A/Hong Kong/2671/2019 (H3N2)) and Influenza B virus (i.e., B/Sydney/3/2004; B/Victoria/02/1987) using antibodies as below.
Capture: Influenza A virus NP (nucleoprotein) antibody [HL1089] (GTX636247) (5 μg/mL)
Detection: HRP-conjugated Influenza A virus NP (nucleoprotein) antibody [HL1103] (GTX636318) (1 μg/mL).

Please notice that GTX636318 needs to be conjugated to HRP to function as the detection antibody when paired with GTX636247. Please contact us for custom HRP-conjugated antibody.

11 / 19
Anti-Influenza A virus Nucleoprotein antibody [HL1089] used in Immunocytochemistry/ Immunofluorescence (ICC/IF). GTX636247
GTX636247 ICC/IF Image

Immunofluorescent analysis of influenza virus infected cells using Influenza A virus Nucleoprotein antibody (GTX636247).
Sample: Influenza A and B Virus infected cells slide.
Green: Influenza A virus Nucleoprotein antibody (GTX636247) diluted at 1:100.

12 / 19
Anti-Influenza A virus Nucleoprotein antibody [HL1089] used in ELISA (ELISA). GTX636247
GTX636247 ELISA Image

Indirect ELISA analysis performed by coating plate with viral lysate derived from different strains of Influenza A virus (i.e., A/Brisbane/59/07 (H1N1); A/New Cal/20/99 (H1N1); A/Puerto Rico/8/34 (H1N1); A/Taiwan/42/06 (H1N1); A/California/07/09 (H1N1); A/Mexico/4108/09 (H1N1); A/New York/01/09 (H1N1); A/New York/02/09 (H1N1); A/New York/03/09 (H1N1); A/Canada/6294/09 (H1N1); A/Singapore/63/04 (H1N1); A/Brisbane/10/07 (H3N2); A/Perth/16/09 (H3N2); A/Texas/50/12 (H3N2); A/Wisconsin/67/05 (H3N2); A/Hong Kong/8/68 (H3N2)) and Influenza B virus (i.e., B/Florida/02/06) (1-0.2 μg). Coated protein was probed with Influenza A virus NP (nucleoprotein) antibody [HL1089] (GTX636247) (1 μg/mL). Rabbit IgG antibody (HRP) (GTX213110-01) (1:10000) was used to detect bound primary antibody.

13 / 19
Anti-Influenza A virus Nucleoprotein antibody [HL1089] used in ELISA (ELISA). GTX636247
GTX636247 ELISA Image

Sandwich ELISA detection of viral lysate derived from different strains of Influenza A virus (i.e., A/Brisbane/10/07 (H3N2); A/Perth/16/09 (H3N2); A/Texas/50/12 (H3N2); A/Wisconsin/67/05 (H3N2); A/Hong Kong/8/68 (H3N2)) and Influenza B virus (i.e., B/Florida/02/06) using antibodies as below.
Capture: Influenza A virus Nucleoprotein antibody [HL1103] (GTX636318) (5 μg/mL)
Detection: HRP-conjugated Influenza A virus Nucleoprotein antibody [HL1089] (GTX636247) (1 μg/mL)

Please notice that GTX636247 needs to be conjugated to HRP to function as the detection antibody when paired with GTX636318. Please contact us for custom HRP-conjugated antibody.

14 / 19
Anti-Influenza A virus Nucleoprotein antibody [HL1089] used in ELISA (ELISA). GTX636247
GTX636247 ELISA Image

Sandwich ELISA detection of viral lysate derived from different strains of Influenza A virus (i.e., A/Brisbane/59/07 (H1N1); A/New Cal/20/99 (H1N1); A/Puerto Rico/8/34 (H1N1); A/Taiwan/42/06 (H1N1); A/Singapore/63/04 (H1N1); A/California/07/09 (H1N1); A/Mexico/4108/09 (H1N1); A/New York/01/09 (H1N1); A/New York/02/09 (H1N1); A/New York/03/09 (H1N1); A/Canada/6294/09 (H1N1)) and Influenza B virus (i.e., B/Florida/02/06) using antibodies as below.
Capture: Influenza A virus Nucleoprotein antibody [HL1103] (GTX636318) (5 μg/mL)
Detection: HRP-conjugated Influenza A virus Nucleoprotein antibody [HL1089] (GTX636247) (1 μg/mL)

Please notice that GTX636247 needs to be conjugated to HRP to function as the detection antibody when paired with GTX636318. Please contact us for custom HRP-conjugated antibody.

15 / 19
Anti-Influenza A virus Nucleoprotein antibody [HL1089] used in Western Blot (WB). GTX636247
GTX636247 WB Image

Non-transfected (–) and transfected (+) 293T whole cell extracts were separated by 10% SDS-PAGE, and the membrane was blotted with Influenza A virus NP (nucleoprotein) antibody [HL1078] (GTX636199) diluted at 1:5000. The HRP-conjugated anti-rabbit IgG antibody (GTX213110-01) was used to detect the primary antibody.

16 / 19
Anti-Influenza A virus Nucleoprotein antibody [HL1089] used in Immunocytochemistry/ Immunofluorescence (ICC/IF). GTX636247
GTX636247 ICC/IF Image

Influenza A virus Nucleoprotein antibody (GTX636247) detects overexpressed Influenza virus Nucleoprotein protein by immunofluorescent analysis.
Sample: Mock and transfected 293T cells were fixed in 4% paraformaldehyde at RT for 15 min.
Green: Influenza A virus Nucleoprotein stained by Influenza A virus Nucleoprotein antibody (GTX636247) diluted at 1:2000.

17 / 19
Anti-Influenza A virus Nucleoprotein antibody [HL1089] used in Lateral Flow (Lateral Flow). GTX636247
GTX636247 Lateral Flow Image

Detection of influenza A virus nucleoprotein by lateral flow assay using the monoclonal antibody pair.

Capture: Influenza A virus Nucleoprotein antibody (GTX636247 [HL1089])
Detection: Influenza A virus Nucleoprotein antibody (GTX637790 [HL1953])

Samples (1 ng) :
1. Influenza A virus Nucleoprotein (A/California/2009 (H1N1)) (GTX135904-pro)
2. Influenza A virus Nucleoprotein (A/Hong Kong/2671/2019 (H3N2)) (GTX136317-pro)
3. Lysis buffer

18 / 19
Anti-Influenza A virus Nucleoprotein antibody [HL1089] used in IHC-P (cell pellet) (IHC-P (cell pellet)). GTX636247
GTX636247 IHC-P (cell pellet) Image

Influenza A virus Nucleoprotein antibody [HL1089] detects Influenza A virus Nucleoprotein protein at cytoplasm by immunohistochemical analysis.
Sample: Paraffin-embedded flu A_NP (Kansas/2017/H3N2) transfected 293T cell FFPE Cell Pellet Block.
Green: Influenza A virus Nucleoprotein stained by Influenza A virus Nucleoprotein antibody [HL1089] (GTX636318) diluted at 1:1000.
Antigen Retrieval: Citrate buffer, pH 6.0, 15 min

19 / 19
Anti-Influenza A virus Nucleoprotein antibody [HL1089] used in Lateral Flow (Lateral Flow). GTX636247
Anti-Influenza A virus Nucleoprotein antibody [HL1089] used in ELISA (ELISA). GTX636247
Anti-Influenza A virus Nucleoprotein antibody [HL1089] used in ELISA (ELISA). GTX636247
Anti-Influenza A virus Nucleoprotein antibody [HL1089] used in ELISA (ELISA). GTX636247
Anti-Influenza A virus Nucleoprotein antibody [HL1089] used in Western Blot (WB). GTX636247
Anti-Influenza A virus Nucleoprotein antibody [HL1089] used in Western Blot (WB). GTX636247
Anti-Influenza A virus Nucleoprotein antibody [HL1089] used in Lateral Flow (Lateral Flow). GTX636247
Anti-Influenza A virus Nucleoprotein antibody [HL1089] used in ELISA (ELISA). GTX636247
Anti-Influenza A virus Nucleoprotein antibody [HL1089] used in Western Blot (WB). GTX636247
Anti-Influenza A virus Nucleoprotein antibody [HL1089] used in ELISA (ELISA). GTX636247
Anti-Influenza A virus Nucleoprotein antibody [HL1089] used in ELISA (ELISA). GTX636247
Anti-Influenza A virus Nucleoprotein antibody [HL1089] used in Immunocytochemistry/ Immunofluorescence (ICC/IF). GTX636247
Anti-Influenza A virus Nucleoprotein antibody [HL1089] used in ELISA (ELISA). GTX636247
Anti-Influenza A virus Nucleoprotein antibody [HL1089] used in ELISA (ELISA). GTX636247
Anti-Influenza A virus Nucleoprotein antibody [HL1089] used in ELISA (ELISA). GTX636247
Anti-Influenza A virus Nucleoprotein antibody [HL1089] used in Western Blot (WB). GTX636247
Anti-Influenza A virus Nucleoprotein antibody [HL1089] used in Immunocytochemistry/ Immunofluorescence (ICC/IF). GTX636247
Anti-Influenza A virus Nucleoprotein antibody [HL1089] used in Lateral Flow (Lateral Flow). GTX636247
Anti-Influenza A virus Nucleoprotein antibody [HL1089] used in IHC-P (cell pellet) (IHC-P (cell pellet)). GTX636247
  • Host
    Rabbit
  • Clonality
    Monoclonal
  • Clone Name
    HL1089
  • Isotype
    IgG
  • Applications
    WB ICC/IF ELISA Lateral Flow Sandwich ELISA IHC-P (cell pellet)
  • Reactivity
    Influenza A virus
See all Influenza A virus Nucleoprotein products