Influenza A virus PA protein antibody [HL1388]

Cat. No. GTX636828
Cat. No.  GTX636828
Anti-Influenza A virus PA protein antibody [HL1388] used in Western Blot (WB). GTX636828
GTX636828 WB Image

Non-infected (–) and infected (+) H1299 whole cell extracts (1 μg) were separated by 7.5% SDS-PAGE, and the membrane was blotted with Influenza A virus PA protein antibody [HL1388] (GTX636828) diluted at 1:500. The HRP-conjugated anti-rabbit IgG antibody (GTX213110-01) was used to detect the primary antibody.

1 / 3
Anti-Influenza A virus PA protein antibody [HL1388] used in Western Blot (WB). GTX636828
GTX636828 WB Image

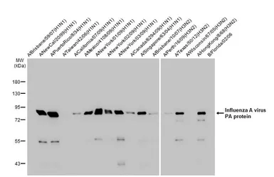
Influenza A viral lysate and Influenza B viral lysate (0.5 μg) were separated by 7.5% SDS-PAGE, and the membrane was blotted with Influenza A virus PA protein antibody [HL1388] (GTX636828) diluted at 1:1000. The HRP-conjugated anti-rabbit IgG antibody (GTX213110-01) was used to detect the primary antibody.

2 / 3
Anti-Influenza A virus PA protein antibody [HL1388] used in Immunocytochemistry/ Immunofluorescence (ICC/IF). GTX636828
GTX636828 ICC/IF Image

Influenza A virus PA protein antibody [HL1388] detects Influenza A virus PA protein protein by immunofluorescent analysis.
Sample: Mock and transfected 293T cells were fixed in 4% paraformaldehyde at RT for 15 min.
Green: Influenza A virus PA protein stained by Influenza A virus PA protein antibody [HL1388] (GTX636828) diluted at 1:500.
Blue: Fluoroshield with DAPI (GTX30920).

3 / 3
Anti-Influenza A virus PA protein antibody [HL1388] used in Western Blot (WB). GTX636828
Anti-Influenza A virus PA protein antibody [HL1388] used in Western Blot (WB). GTX636828
Anti-Influenza A virus PA protein antibody [HL1388] used in Immunocytochemistry/ Immunofluorescence (ICC/IF). GTX636828
  • Host
    Rabbit
  • Clonality
    Monoclonal
  • Clone Name
    HL1388
  • Isotype
    IgG
  • Applications
    WB ICC/IF
  • Reactivity
    Influenza A virus
See all Influenza A virus PA protein products