Influenza A virus PB2 protein antibody [HL1992]

Cat. No. GTX637893
Cat. No.  GTX637893
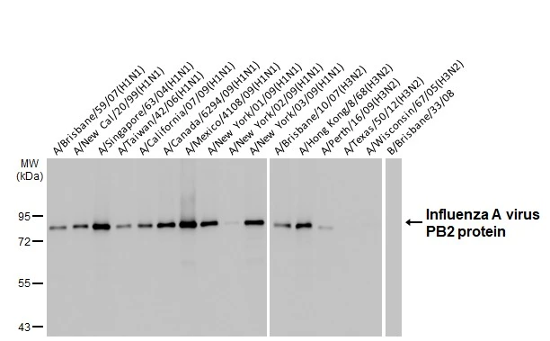
Anti-Influenza A virus PB2 protein antibody [HL1992] used in Western Blot (WB). GTX637893
GTX637893 WB Image

Influenza A viral lysates and Influenza B viral lysate (1 μg) were separated by 7.5% SDS-PAGE, and the membrane was blotted with Influenza A virus PB2 protein antibody [HL1992] (GTX637893) diluted at 1:1000. The HRP-conjugated anti-rabbit IgG antibody (GTX213110-01) was used to detect the primary antibody.

1 / 3
Anti-Influenza A virus PB2 protein antibody [HL1992] used in Immunocytochemistry/ Immunofluorescence (ICC/IF). GTX637893
GTX637893 ICC/IF Image

Immunofluorescent analysis of Influenza virus infected cells using Influenza A virus PB2 protein antibody [HL1992] (GTX637893).
Sample: Influenza A and B virus infected cells slide.
Green: Influenza A virus PB2 protein antibody [HL1992] (GTX637893) diluted at 1:100.
Blue: Fluoroshield with DAPI (GTX30920).

2 / 3
Anti-Influenza A virus PB2 protein antibody [HL1992] used in Western Blot (WB). GTX637893
GTX637893 WB Image

Influenza A viral lysate was separated by 7.5% SDS-PAGE, and the membrane was blotted with Influenza A virus PB2 protein antibody [HL1992] (GTX637893) diluted at 1:100000. The HRP-conjugated anti-rabbit IgG antibody (GTX213110-01) was used to detect the primary antibody.

3 / 3
Anti-Influenza A virus PB2 protein antibody [HL1992] used in Western Blot (WB). GTX637893
Anti-Influenza A virus PB2 protein antibody [HL1992] used in Immunocytochemistry/ Immunofluorescence (ICC/IF). GTX637893
Anti-Influenza A virus PB2 protein antibody [HL1992] used in Western Blot (WB). GTX637893
  • Host
    Rabbit
  • Clonality
    Monoclonal
  • Clone Name
    HL1992
  • Isotype
    IgG
  • Applications
    WB ICC/IF
  • Reactivity
    Influenza A virus
See all Influenza A virus PB2 protein products