Integrin beta 1 / CD29 antibody [HL1255]

Cat. No. GTX636657
Cat. No.  GTX636657
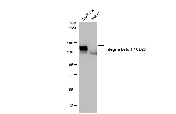
Anti-Integrin beta 1 / CD29 antibody [HL1255] used in Western Blot (WB). GTX636657
GTX636657 WB Image

Various whole cell extracts (30 μg) were separated by 7.5% SDS-PAGE, and the membranes were blotted with Integrin beta 1 / CD29 antibody [HL1255] (GTX636657) diluted at 1:10000 and competitor's antibody (# Highly Cited Antibody) diluted at 1:10000. The HRP-conjugated anti-rabbit IgG antibody (GTX213110-01) was used to detect the primary antibody.

*The competitor is not affiliated with GeneTex and does not endorse this product.

1 / 9
Anti-Integrin beta 1 / CD29 antibody [HL1255] used in IHC (Paraffin sections) (IHC-P). GTX636657
GTX636657 IHC-P Image

Integrin beta 1 / CD29 antibody [HL1255] detects Integrin beta 1 / CD29 protein by immunohistochemical analysis.
Sample: Paraffin-embedded mouse tissues.
Integrin beta 1 / CD29 stained by Integrin beta 1 / CD29 antibody [HL1255] (GTX636657) diluted at 1:200.
Antigen Retrieval: Citrate buffer, pH 6.0, 15 min

2 / 9
Anti-Integrin beta 1 / CD29 antibody [HL1255] used in Immunoprecipitation (IP). GTX636657
GTX636657 IP Image

Immunoprecipitation of Integrin beta 1 / CD29 protein from A431 whole cell extract using 5 μg of Integrin beta 1 / CD29 antibody [HL1255] (GTX636657).
Western blot analysis was performed using Integrin beta 1 / CD29 antibody [HL1255] (GTX636657).
EasyBlot HRP-conjugated anti rabbit IgG antibody (GTX221666-01).

3 / 9
Anti-Integrin beta 1 / CD29 antibody [HL1255] used in Western Blot (WB). GTX636657
GTX636657 WB Image

Wild-type (WT) and ITGB1 knockout (KO) HeLa cell extracts (30 μg) were separated by 7.5% SDS-PAGE, and the membrane was blotted with Integrin beta 1 / CD29 antibody [HL1255] (GTX636657) diluted at 1:20000. The HRP-conjugated anti-rabbit IgG antibody (GTX213110-01) was used to detect the primary antibody.

4 / 9
Anti-Integrin beta 1 / CD29 antibody [HL1255] used in Western Blot (WB). GTX636657
GTX636657 WB Image

Various whole cell extracts (30 μg) were separated by 7.5% SDS-PAGE, and the membrane was blotted with Integrin beta 1 / CD29 antibody [HL1255] (GTX636657) diluted at 1:10000. The HRP-conjugated anti-rabbit IgG antibody (GTX213110-01) was used to detect the primary antibody.

5 / 9
Anti-Integrin beta 1 / CD29 antibody [HL1255] used in IHC (Paraffin sections) (IHC-P). GTX636657
GTX636657 IHC-P Image

Integrin beta 1 / CD29 antibody [HL1255] detects Integrin beta 1 / CD29 protein by immunohistochemical analysis.
Sample: Paraffin-embedded dog tissues.
Integrin beta 1 / CD29 stained by Integrin beta 1 / CD29 antibody [HL1255] (GTX636657) diluted at 1:100.
Antigen Retrieval: Citrate buffer, pH 6.0, 15 min

6 / 9
Anti-Integrin beta 1 / CD29 antibody [HL1255] used in Western Blot (WB). GTX636657
GTX636657 WB Image

Various whole cell extracts (30 μg) were separated by 7.5% SDS-PAGE, and the membrane was blotted with Integrin beta 1 / CD29 antibody [HL1255] (GTX636657) diluted at 1:1000. The HRP-conjugated anti-rabbit IgG antibody (GTX213110-01) was used to detect the primary antibody.

7 / 9
Anti-Integrin beta 1 / CD29 antibody [HL1255] used in Western Blot (WB). GTX636657
GTX636657 WB Image

Non-transfected (–) and transfected (+) 293T whole cell extracts (100 μg) were separated by 7.5% SDS-PAGE, and the membrane was blotted with Integrin beta 1 / CD29 antibody [HL1255] (GTX636657) diluted at 1:50000. The HRP-conjugated anti-rabbit IgG antibody (GTX213110-01) was used to detect the primary antibody, and the signal was developed with Trident ECL plus-Enhanced.

8 / 9
Anti-Integrin beta 1 / CD29 antibody [HL1255] used in Western Blot (WB). GTX636657
GTX636657 WB Image

Various whole cell extracts (30 μg) were separated by 7.5% SDS-PAGE, and the membrane was blotted with Integrin beta 1 / CD29 antibody [HL1255] (GTX636657) diluted at 1:10000. The HRP-conjugated anti-rabbit IgG antibody (GTX213110-01) was used to detect the primary antibody. Corresponding RNA expression data for the same cell lines are based on Human Protein Atlas program.

9 / 9
Anti-Integrin beta 1 / CD29 antibody [HL1255] used in Western Blot (WB). GTX636657
Anti-Integrin beta 1 / CD29 antibody [HL1255] used in IHC (Paraffin sections) (IHC-P). GTX636657
Anti-Integrin beta 1 / CD29 antibody [HL1255] used in Immunoprecipitation (IP). GTX636657
Anti-Integrin beta 1 / CD29 antibody [HL1255] used in Western Blot (WB). GTX636657
Anti-Integrin beta 1 / CD29 antibody [HL1255] used in Western Blot (WB). GTX636657
Anti-Integrin beta 1 / CD29 antibody [HL1255] used in IHC (Paraffin sections) (IHC-P). GTX636657
Anti-Integrin beta 1 / CD29 antibody [HL1255] used in Western Blot (WB). GTX636657
Anti-Integrin beta 1 / CD29 antibody [HL1255] used in Western Blot (WB). GTX636657
Anti-Integrin beta 1 / CD29 antibody [HL1255] used in Western Blot (WB). GTX636657
  • Host
    Rabbit
  • Clonality
    Monoclonal
  • Clone Name
    HL1255
  • Isotype
    IgG
  • Applications
    WB ICC/IF IHC-P IP
  • Reactivity
    Human, Mouse, Cat, Dog
Summary
Integrin beta-1 / CD29 antibody detects integrin beta-1 protein (ITGB1), also known as CD29, which forms heterodimeric receptors with at least ten integrin alpha proteins to mediate various aspects of cell adhesion and migration. These functions are essential for embryogenesis, tissue repair, immune function, and other crucial processes in multicellular organisms. Integrin beta-1 has a predicted molecular weight of 88 kDa and exists in multiple isoforms.
See all Integrin beta 1 / CD29 products