Lamin B2 antibody [GT144]

Cat. No. GTX628803
Cat. No.  GTX628803
Anti-Lamin B2 antibody [GT144] used in Western Blot (WB). GTX628803
GTX628803 WB Image

Non-transfected (–) and transfected (+) HepG2 whole cell extracts (30 μg) were separated by 7.5% SDS-PAGE, and the membrane was blotted with Lamin B2 antibody [GT144] (GTX628803) diluted at 1:1000. The HRP-conjugated anti-mouse IgG antibody (GTX213111-01) was used to detect the primary antibody.

1 / 6
Anti-Lamin B2 antibody [GT144] used in Western Blot (WB). GTX628803
GTX628803 WB Image

Lamin B2 antibody [GT144] detects LMNB2 protein by western blot analysis.
A. 30 μg U87-MG whole cell lysate/extract
B. 30 μg SK-N-SH whole cell lysate/extract
C. 30 μg IMR32 whole cell lysate/extract
D. 30 μg SK-N-AS whole cell lysate/extract
7.5% SDS-PAGE
Lamin B2 antibody [GT144] (GTX628803) dilution: 1:1000
The HRP-conjugated anti-mouse IgG antibody (GTX213111-01) was used to detect the primary antibody.

2 / 6
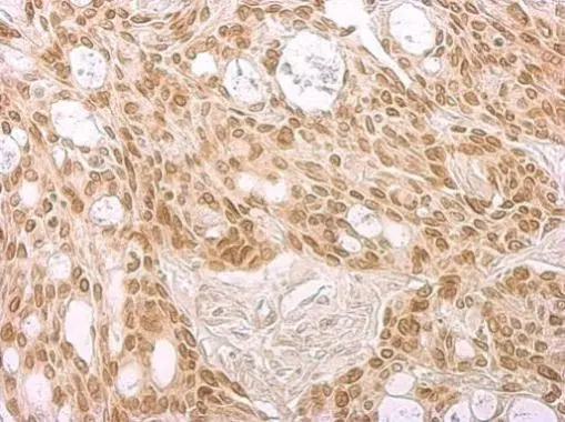
Anti-Lamin B2 antibody [GT144] used in IHC (Paraffin sections) (IHC-P). GTX628803
GTX628803 IHC-P Image

Lamin B2 antibody [GT144] detects LMNB2 protein at nucleus membrane on Cal27 xenograft by immunohistochemical analysis.
Sample: Paraffin-embedded Cal27 xenograft.
Lamin B2 antibody [GT144] (GTX628803) dilution: 1:200.

Antigen Retrieval: Trilogy™ (EDTA based, pH 8.0) buffer, 15min

3 / 6
Anti-Lamin B2 antibody [GT144] used in Western Blot (WB). GTX628803
GTX628803 WB Image

Lamin B2 antibody [GT144] detects LMNB2 protein by western blot analysis.
A. 30 μg HepG2 whole cell lysate/extract
B. 30 μg HepG2 cytosol lysate/extract
C. 30 μg HepG2 nuclear lysate/extract
7.5% SDS-PAGE
Lamin B2 antibody [GT144] (GTX628803) dilution: 1:1000
The HRP-conjugated anti-mouse IgG antibody (GTX213111-01) was used to detect the primary antibody.

4 / 6
Anti-Lamin B2 antibody [GT144] used in Immunocytochemistry/ Immunofluorescence (ICC/IF). GTX628803
GTX628803 ICC/IF Image

Lamin B2 antibody [GT144] detects LMNB2 protein at nuclear envelope by confocal immunofluorescent analysis.
Sample: HeLa cells were fixed in 2% paraformaldehyde for 30 min.
Red: LMNB2 protein stained by Lamin B2 antibody [GT144] (GTX628803) diluted at 1:1000.
Green: alpha Tubulin antibody (GTX102078) diluted at 1:1000.
Blue: Hoechst 33342 staining. [Images captured by Olympus FV1000 Confocal Laser Scanning Microscope]

5 / 6
Anti-Lamin B2 antibody [GT144] used in Immunoprecipitation (IP). GTX628803
GTX628803 IP Image

Lamin B2 antibody [GT144] immunoprecipitates Lamin B2 protein in IP experiments. IP Sample: HepG2 whole cell lysate/extract A : 30 μg whole cell lysate/extract of Lamin B2 protein expressing HepG2 cells B : Control with 3 μg of pre-immune mouse IgG C : Immunoprecipitation of Lamin B2 by 3 μg of Lamin B2 antibody [GT144] (GTX628803) 7.5% SDS-PAGE The immunoprecipitated Lamin B2 protein was detected by Lamin B2 antibody [GT144] (GTX628803) diluted at 1 : 1000. EasyBlot anti-rabbit IgG (HRP) (GTX221667-01) was used as a secondary reagent.

6 / 6
Anti-Lamin B2 antibody [GT144] used in Western Blot (WB). GTX628803
Anti-Lamin B2 antibody [GT144] used in Western Blot (WB). GTX628803
Anti-Lamin B2 antibody [GT144] used in IHC (Paraffin sections) (IHC-P). GTX628803
Anti-Lamin B2 antibody [GT144] used in Western Blot (WB). GTX628803
Anti-Lamin B2 antibody [GT144] used in Immunocytochemistry/ Immunofluorescence (ICC/IF). GTX628803
Anti-Lamin B2 antibody [GT144] used in Immunoprecipitation (IP). GTX628803
  • Host
    Mouse
  • Clonality
    Monoclonal
  • Clone Name
    GT144
  • Isotype
    IgG2a
  • Applications
    WB ICC/IF IHC-P IP
  • Reactivity
    Human
See all Lamin B2 products