MFF antibody [HL1311]

Cat. No. GTX636729
Cat. No.  GTX636729
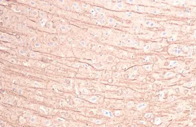
Anti-MFF antibody [HL1311] used in IHC (Paraffin sections) (IHC-P). GTX636729
GTX636729 IHC-P Image

MFF antibody [HL1311] detects MFF protein at mitochondria by immunohistochemical analysis.
Sample: Paraffin-embedded rat brain.
MFF stained by MFF antibody [HL1311] (GTX636729) diluted at 1:100.
Antigen Retrieval: Citrate buffer, pH 6.0, 15 min

1 / 4
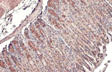
Anti-MFF antibody [HL1311] used in IHC (Paraffin sections) (IHC-P). GTX636729
GTX636729 IHC-P Image

MFF antibody [HL1311] detects MFF protein at mitochondria by immunohistochemical analysis.
Sample: Paraffin-embedded mouse stomach.
MFF stained by MFF antibody [HL1311] (GTX636729) diluted at 1:100.
Antigen Retrieval: Citrate buffer, pH 6.0, 15 min

2 / 4
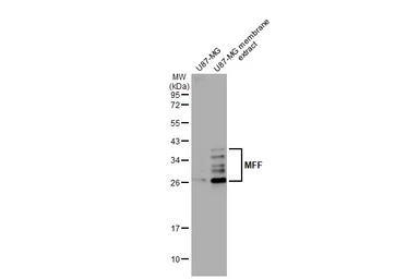
Anti-MFF antibody [HL1311] used in Western Blot (WB). GTX636729
GTX636729 WB Image

U87-MG whole cell and membrane extracts (30 μg) were separated by 12% SDS-PAGE, and the membrane was blotted with MFF antibody [HL1311] (GTX636729) diluted at 1:1000. The HRP-conjugated anti-rabbit IgG antibody (GTX213110-01) was used to detect the primary antibody.

3 / 4
Anti-MFF antibody [HL1311] used in Immunocytochemistry/ Immunofluorescence (ICC/IF). GTX636729
GTX636729 ICC/IF Image

MFF antibody [HL1311] detects MFF protein at mitochondria by immunofluorescent analysis.
Sample: HeLa cells were fixed in ice-cold MeOH for 5 min.
Green: MFF stained by MFF antibody [HL1311] (GTX636729) diluted at 1:4500.
Red: alpha Tubulin, a cytoskeleton marker, stained by alpha Tubulin antibody [GT114] (GTX628802) diluted at 1:1000.
Blue: Fluoroshield with DAPI (GTX30920).

4 / 4
Anti-MFF antibody [HL1311] used in IHC (Paraffin sections) (IHC-P). GTX636729
Anti-MFF antibody [HL1311] used in IHC (Paraffin sections) (IHC-P). GTX636729
Anti-MFF antibody [HL1311] used in Western Blot (WB). GTX636729
Anti-MFF antibody [HL1311] used in Immunocytochemistry/ Immunofluorescence (ICC/IF). GTX636729
  • Host
    Rabbit
  • Clonality
    Monoclonal
  • Clone Name
    HL1311
  • Isotype
    IgG
  • Applications
    WB ICC/IF IHC-P
  • Reactivity
    Human, Mouse, Rat
See all MFF products