MFF antibody [HL1312]

Cat. No. GTX636730
Cat. No.  GTX636730
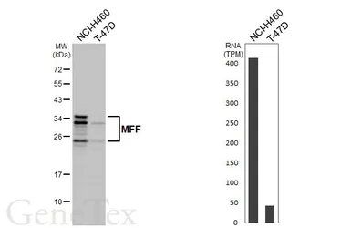
Anti-MFF antibody [HL1312] used in Western Blot (WB). GTX636730
GTX636730 WB Image

Various whole cell extracts (30 μg) were separated by 12% SDS-PAGE, and the membrane was blotted with MFF antibody [HL1312] (GTX636730) diluted at 1:1000. The HRP-conjugated anti-rabbit IgG antibody (GTX213110-01) was used to detect the primary antibody. Corresponding RNA expression data for the same cell lines are based on Human Protein Atlas program.

1 / 4
Anti-MFF antibody [HL1312] used in Immunocytochemistry/ Immunofluorescence (ICC/IF). GTX636730
GTX636730 ICC/IF Image

MFF antibody [HL1312] detects MFF protein at mitochondria by immunofluorescent analysis.
Sample: U87-MG cells were fixed in ice-cold MeOH for 5 min.
Green: MFF stained by MFF antibody [HL1312] (GTX636730) diluted at 1:500.
Red: alpha Tubulin, a cytoskeleton marker, stained by alpha Tubulin antibody [GT114] (GTX628802) diluted at 1:1000.
Blue: Fluoroshield with DAPI (GTX30920).

2 / 4
Anti-MFF antibody [HL1312] used in Immunocytochemistry/ Immunofluorescence (ICC/IF). GTX636730
GTX636730 ICC/IF Image

MFF antibody [HL1312] detects MFF protein at mitochondria by immunofluorescent analysis.
Sample: HeLa cells were fixed in ice-cold MeOH for 5 min.
Green: MFF stained by MFF antibody [HL1312] (GTX636730) diluted at 1:500.
Red: alpha Tubulin, a cytoskeleton marker, stained by alpha Tubulin antibody [GT114] (GTX628802) diluted at 1:1000.
Blue: Fluoroshield with DAPI (GTX30920).
Scale bar= 10μm.

3 / 4
Anti-MFF antibody [HL1312] used in Western Blot (WB). GTX636730
GTX636730 WB Image

U87-MG whole cell and membrane extracts (30 μg) were separated by 12% SDS-PAGE, and the membrane was blotted with MFF antibody [HL1312] (GTX636730) diluted at 1:1000. The HRP-conjugated anti-rabbit IgG antibody (GTX213110-01) was used to detect the primary antibody.

4 / 4
Anti-MFF antibody [HL1312] used in Western Blot (WB). GTX636730
Anti-MFF antibody [HL1312] used in Immunocytochemistry/ Immunofluorescence (ICC/IF). GTX636730
Anti-MFF antibody [HL1312] used in Immunocytochemistry/ Immunofluorescence (ICC/IF). GTX636730
Anti-MFF antibody [HL1312] used in Western Blot (WB). GTX636730
  • Host
    Rabbit
  • Clonality
    Monoclonal
  • Clone Name
    HL1312
  • Isotype
    IgG
  • Applications
    WB ICC/IF
  • Reactivity
    Human
See all MFF products