MUC1 antibody

Cat. No. GTX100459
Cat. No.  GTX100459
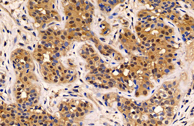
Anti-MUC1 antibody used in IHC (Paraffin sections) (IHC-P). GTX100459
GTX100459 IHC-P Image

MUC1 antibody detects MUC1 protein at cytoplasm in human cervical cancer by immunohistochemical analysis.
Sample: Paraffin-embedded human cervical cancer.
MUC1 antibody (GTX100459) diluted at 1:500.

Antigen Retrieval: Citrate buffer, pH 6.0, 15 min

1 / 6
Anti-MUC1 antibody used in Immunocytochemistry/ Immunofluorescence (ICC/IF). GTX100459
GTX100459 ICC/IF Image

Confocal immunofluorescence analysis (Olympus FV10i) of methanol-fixed A431, using MUC1(GTX100459) antibody (Green) at 1:500 dilution. Alpha-tubulin filaments were labeled with GTX11304 (Red) at 1:500.

2 / 6
Anti-MUC1 antibody used in IHC (Paraffin sections) (IHC-P). GTX100459
GTX100459 IHC-P Image

MUC1 antibody detects MUC1 protein at cytoplasm by immunohistochemical analysis (Autostainer Formulated).
Sample: Paraffin-embedded human breast cancer.
MUC1 stained by MUC1 antibody (GTX100459) diluted at 1:500.
Antigen Retrieval: Citrate buffer, 20 min

3 / 6
Anti-MUC1 antibody used in Immunocytochemistry/ Immunofluorescence (ICC/IF). GTX100459
GTX100459 ICC/IF Image

MUC1 antibody detects MUC1 protein at cytoplasm by immunofluorescent analysis.
Sample: HCT116 cells were fixed in ice-cold MeOH for 5 min.
Green: MUC1 protein stained by MUC1 antibody (GTX100459) diluted at 1:500.
Blue: Hoechst 33342 staining.

4 / 6
Anti-MUC1 antibody used in Immunoprecipitation (IP). GTX100459
GTX100459 IP Image

Immunoprecipitation of MUC1 protein from HCT-116 whole cell extracts using 5 μg of MUC1 antibody (GTX100459).
Western blot analysis was performed using MUC1 antibody (GTX100459) diluted at 1:500.
EasyBlot anti-Rabbit IgG (GTX221666-01) was used as a secondary reagent.

5 / 6
Anti-MUC1 antibody used in Western Blot (WB). GTX100459
GTX100459 WB Image

Various whole cell extracts (30 μg) were separated by 5% SDS-PAGE, and the membrane was blotted with MUC1 antibody (GTX100459) diluted at 1:1000.

6 / 6
Anti-MUC1 antibody used in IHC (Paraffin sections) (IHC-P). GTX100459
Anti-MUC1 antibody used in Immunocytochemistry/ Immunofluorescence (ICC/IF). GTX100459
Anti-MUC1 antibody used in IHC (Paraffin sections) (IHC-P). GTX100459
Anti-MUC1 antibody used in Immunocytochemistry/ Immunofluorescence (ICC/IF). GTX100459
Anti-MUC1 antibody used in Immunoprecipitation (IP). GTX100459
Anti-MUC1 antibody used in Western Blot (WB). GTX100459
  • Host
    Rabbit
  • Clonality
    Polyclonal
  • Isotype
    IgG
  • Applications
    WB ICC/IF IHC-P IP
  • Reactivity
    Human
See all MUC1 products