Melan A antibody [A103]

Cat. No. GTX34832
Cat. No.  GTX34832
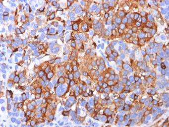
Anti-Melan A antibody [A103] used in IHC (Paraffin sections) (IHC-P). GTX34832
GTX34832 IHC-P Image

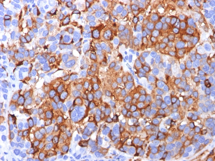
IHC-P analysis of human melanoma tissue using GTX34832 Melan A antibody [A103].

1 / 1
Anti-Melan A antibody [A103] used in IHC (Paraffin sections) (IHC-P). GTX34832
  • Host
    Mouse
  • Clonality
    Monoclonal
  • Clone Name
    A103
  • Isotype
    IgG1
  • Applications
    WB ICC/IF IHC-P FCM
  • Reactivity
    Human, Mouse, Rat, Dog
See all Melan A products