Melanoma gp100 antibody [PMEL/2037]

Cat. No. GTX17772
Cat. No.  GTX17772
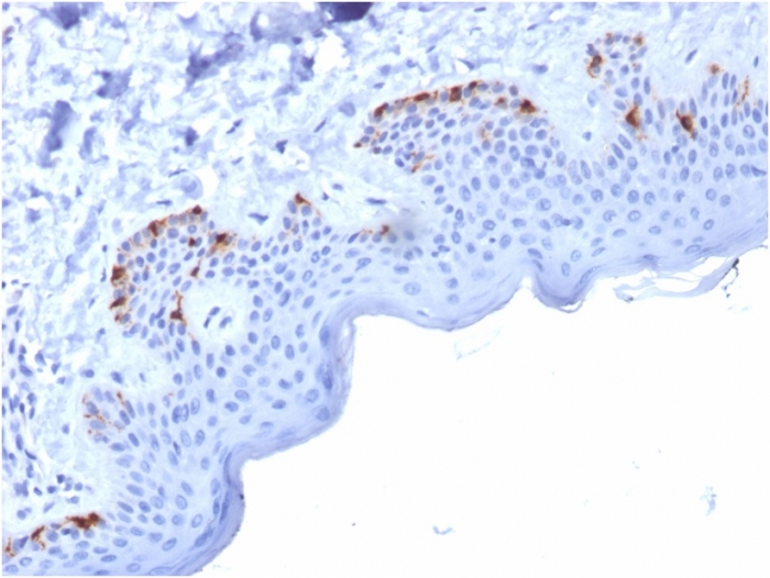
Anti-Melanoma gp100 antibody [PMEL/2037] used in IHC (Paraffin sections) (IHC-P). GTX17772
GTX17772 IHC-P Image

IHC-P analysis of human skin tissue using GTX17772 Melanoma gp100 antibody [PMEL/2037].

1 / 3
Anti-Melanoma gp100 antibody [PMEL/2037] used in Protein Array (Protein Array). GTX17772
GTX17772 Protein Array Image

Analysis of Protein Array containing more than 19,000 full-length human proteins using PMEL/gp100 Mouse Monoclonal Antibody (PMEL/2037). Z- and S- Score: The Z-score represents the strength of a signal that a monoclonal antibody produces when binding to a particular protein on the HuProtTM array. Z-scores are described in units of standard deviations (SD’s) above the mean value of all signals generated on that array. If targets on HuProtTM are arranged in descending order of the Z-score, the S-score is the difference (also in units of SD’s) between the Z-score. S-score therefore represents the relative target specificity of a Monoclonal Antibody to its intended target. A Monoclonal Antibody is considered to specific to its intended target if the Monoclonal Antibody has an S-score of at least 2.5. For example, if a Monoclonal Antibody binds to protein X with a Z-score of 43 and to protein Y with a Z-score of 14, then the S-score for the binding of that Monoclonal Antibody to protein X is equal to 29.

2 / 3
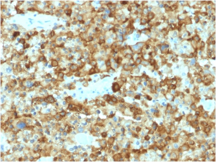
Anti-Melanoma gp100 antibody [PMEL/2037] used in IHC (Paraffin sections) (IHC-P). GTX17772
GTX17772 IHC-P Image

IHC-P analysis of human melanoma tissue using GTX17772 Melanoma gp100 antibody [PMEL/2037].

3 / 3
Anti-Melanoma gp100 antibody [PMEL/2037] used in IHC (Paraffin sections) (IHC-P). GTX17772
Anti-Melanoma gp100 antibody [PMEL/2037] used in Protein Array (Protein Array). GTX17772
Anti-Melanoma gp100 antibody [PMEL/2037] used in IHC (Paraffin sections) (IHC-P). GTX17772
  • Host
    Mouse
  • Clonality
    Monoclonal
  • Clone Name
    PMEL/2037
  • Isotype
    IgG1
  • Applications
    IHC-P ELISA Protein Array
  • Reactivity
    Human
See all Melanoma gp100 products