NMDAR2A antibody

Cat. No. GTX103558
Cat. No.  GTX103558
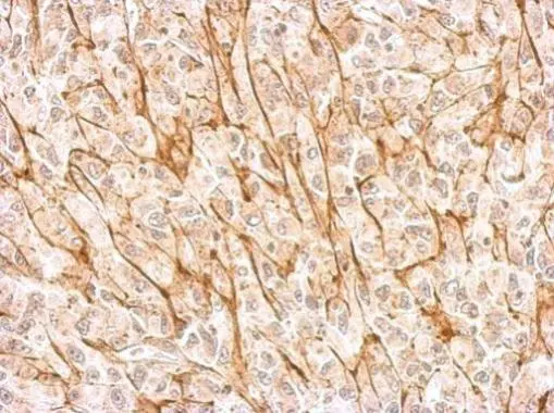
Anti-NMDAR2A antibody used in IHC (Paraffin sections) (IHC-P). GTX103558
GTX103558 IHC-P Image

NMDAR2A antibody detects GRIN2A protein at membrane on U87 xenograft by immunohistochemical analysis.
Sample: Paraffin-embedded U87 xenograft.
NMDAR2A antibody (GTX103558) dilution: 1:500.

Antigen Retrieval: Trilogy™ (EDTA based, pH 8.0) buffer, 15min

1 / 6
Anti-NMDAR2A antibody used in Immunocytochemistry/ Immunofluorescence (ICC/IF). GTX103558
GTX103558 ICC/IF Image

NMDAR2A antibody detects NMDAR2A protein by immunofluorescent analysis.
Sample: DIV14 rat E18 primary cortical neurons were fixed in 4% paraformaldehyde at RT for 15 min.
Green: NMDAR2A protein stained by NMDAR2A antibody (GTX103558) diluted at 1:500.
Red: beta Tubulin 3/ Tuj1, stained by beta Tubulin 3/ Tuj1 antibody [GT1338] (GTX631831) diluted at 1:500.
Blue: Fluoroshield with DAPI (GTX30920).

2 / 6
Anti-NMDAR2A antibody used in Western Blot (WB). GTX103558
GTX103558 WB Image

Sample (30 μg of whole cell lysate)
A: Jurkat
5% SDS PAGE
GTX103558 diluted at 1:1000
The HRP-conjugated anti-rabbit IgG antibody (GTX213110-01) was used to detect the primary antibody.

3 / 6
Anti-NMDAR2A antibody used in Immunocytochemistry/ Immunofluorescence (ICC/IF). GTX103558
GTX103558 ICC/IF Image

NMDAR2A antibody detects NMDAR2A protein at cell membrane by immunofluorescent analysis.
Sample: DIV9 rat E18 primary cortical neuron cells were fixed in 4% paraformaldehyde at RT for 15 min.
Green: NMDAR2A stained by NMDAR2A antibody (GTX103558) diluted at 1:250.
Red: Tau, an axon marker, stained by Tau antibody [GT287] (GTX634809) diluted at 1:500.
Blue: Fluoroshield with DAPI (GTX30920).

4 / 6
Anti-NMDAR2A antibody used in Western Blot (WB). GTX103558
GTX103558 WB Image

Rat tissue extract (50 μg) was separated by 5% SDS-PAGE, and the membrane was blotted with NMDAR2A antibody (GTX103558) diluted at 1:500. The HRP-conjugated anti-rabbit IgG antibody (GTX213110-01) was used to detect the primary antibody.

5 / 6
Anti-NMDAR2A antibody used in Western Blot (WB). GTX103558
GTX103558 WB Image

Various tissue extracts (50 μg) were separated by 5% SDS-PAGE, and the membrane was blotted with NMDAR2A antibody (GTX103558) diluted at 1:500. The HRP-conjugated anti-rabbit IgG antibody (GTX213110-01) was used to detect the primary antibody.

6 / 6
Anti-NMDAR2A antibody used in IHC (Paraffin sections) (IHC-P). GTX103558
Anti-NMDAR2A antibody used in Immunocytochemistry/ Immunofluorescence (ICC/IF). GTX103558
Anti-NMDAR2A antibody used in Western Blot (WB). GTX103558
Anti-NMDAR2A antibody used in Immunocytochemistry/ Immunofluorescence (ICC/IF). GTX103558
Anti-NMDAR2A antibody used in Western Blot (WB). GTX103558
Anti-NMDAR2A antibody used in Western Blot (WB). GTX103558
  • Host
    Rabbit
  • Clonality
    Polyclonal
  • Isotype
    IgG
  • Applications
    WB ICC/IF IHC-P
  • Reactivity
    Human, Mouse, Rat
See all NMDAR2A products