NSE antibody [N1C1]

Cat. No. GTX101553
Cat. No.  GTX101553
Anti-NSE antibody [N1C1] used in IHC (Frozen sections) (IHC-Fr). GTX101553
GTX101553 IHC-Fr Image

NSE antibody [N1C1] detects NSE protein expression by immunohistochemical analysis.
Sample: Frozen sectioned E13.5 Rat brain.
Green: NSE protein stained by NSE antibody [N1C1] (GTX101553) diluted at 1:250.
Blue: Fluoroshield with DAPI (GTX30920).

1 / 7
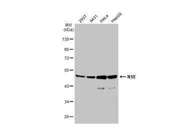
Anti-NSE antibody [N1C1] used in Western Blot (WB). GTX101553
GTX101553 WB Image

Various whole cell extracts (30 μg) were separated by 10% SDS-PAGE, and the membrane was blotted with NSE antibody [N1C1] (GTX101553) diluted at 1:2000. The HRP-conjugated anti-rabbit IgG antibody (GTX213110-01) was used to detect the primary antibody.

2 / 7
Anti-NSE antibody [N1C1] used in Western Blot (WB). GTX101553
GTX101553 WB Image

Sample (50 μg of whole cell lysate)
A: mouse brain
10% SDS PAGE
GTX101553 diluted at 1:10000
The HRP-conjugated anti-rabbit IgG antibody (GTX213110-01) was used to detect the primary antibody.

3 / 7
Anti-NSE antibody [N1C1] used in Western Blot (WB). GTX101553
GTX101553 WB Image

Various whole cell extracts (30 μg) were separated by 10% SDS-PAGE, and the membrane was blotted with NSE antibody [N1C1] (GTX101553) diluted at 1:2000. The HRP-conjugated anti-rabbit IgG antibody (GTX213110-01) was used to detect the primary antibody.

4 / 7
Anti-NSE antibody [N1C1] used in IHC (Paraffin sections) (IHC-P). GTX101553
GTX101553 IHC-P Image

Immunohistochemical analysis of paraffin-embedded PC14 xenograft, using ENO2(GTX101553) antibody at 1:100 dilution.
Antigen Retrieval: Trilogy™ (EDTA based, pH 8.0) buffer, 15min

5 / 7
Anti-NSE antibody [N1C1] used in Western Blot (WB). GTX101553
GTX101553 WB Image

The data was published in the journal Oncotarget in 2016.PMID: 27034167

6 / 7
Anti-NSE antibody [N1C1] used in Western Blot (WB). GTX101553
GTX101553 WB Image

The data was published in the journal Oncotarget in 2016.PMID: 27034167

7 / 7
Anti-NSE antibody [N1C1] used in IHC (Frozen sections) (IHC-Fr). GTX101553
Anti-NSE antibody [N1C1] used in Western Blot (WB). GTX101553
Anti-NSE antibody [N1C1] used in Western Blot (WB). GTX101553
Anti-NSE antibody [N1C1] used in Western Blot (WB). GTX101553
Anti-NSE antibody [N1C1] used in IHC (Paraffin sections) (IHC-P). GTX101553
Anti-NSE antibody [N1C1] used in Western Blot (WB). GTX101553
Anti-NSE antibody [N1C1] used in Western Blot (WB). GTX101553
  • Host
    Rabbit
  • Clonality
    Polyclonal
  • Isotype
    IgG
  • Applications
    WB IHC-P IHC-Fr
  • Reactivity
    Human, Mouse, Rat
Summary
NSE is a 78 kDa gamma-homodimer expressed as a dominant enolase-isoenzyme in neuronal and neuroendocrine tissues. Elevated levels of serum NSE are often associated with neuronal disorders and neural crest-derived tumors. Up to 70 percent of patients with small cell lung carcinoma (SCLC) have high levels of serum NSE, as SCLC cells can express neuronal gene programs.
See all NSE products