Nuclear Matrix Protein p84 antibody [5E10]

Cat. No. GTX70220
Cat. No.  GTX70220
Anti-Nuclear Matrix Protein p84 antibody [5E10] used in Western Blot (WB). GTX70220
GTX70220 WB Image

Various whole cell extracts (30 μg) were separated by 7.5% SDS-PAGE, and the membrane was blotted with Nuclear Matrix Protein p84 antibody [5E10] (GTX70220) diluted at 1:500. The HRP-conjugated anti-mouse IgG antibody (GTX213111-01) was used to detect the primary antibody.

1 / 26
Anti-Nuclear Matrix Protein p84 antibody [5E10] used in Western Blot (WB). GTX70220
GTX70220 WB Image

Sample (30 μg of whole cell lysate)
A: HeLa
B: HeLa nucleus
7.5% SDS PAGE
GTX70220 diluted at 1:1000
The HRP-conjugated anti-mouse IgG antibody (GTX213111-01) was used to detect the primary antibody.

2 / 26
Anti-Nuclear Matrix Protein p84 antibody [5E10] used in Western Blot (WB). GTX70220
GTX70220 WB Image

Sample (whole cell lysate)
A: 293T 20ug
B: 293T 10ug
C: 293T 5ug
7.5% SDS PAGE
GTX70220 diluted at 1:1000
The HRP-conjugated anti-mouse IgG antibody (GTX213111-01) was used to detect the primary antibody.

3 / 26
Anti-Nuclear Matrix Protein p84 antibody [5E10] used in Western Blot (WB). GTX70220
GTX70220 WB Image

Sample (50 μg of whole cell lysate)
A: mouse Cerebellum
7.5% SDS PAGE
GTX70220 diluted at 1:1000
The HRP-conjugated anti-mouse IgG antibody (GTX213111-01) was used to detect the primary antibody.

4 / 26
Anti-Nuclear Matrix Protein p84 antibody [5E10] used in Western Blot (WB). GTX70220
GTX70220 WB Image

Detection of human p84/N5 in nuclear fraction by anti-p84/N5 5E10 monoclonal antibody (GTX70220) in western blot experiment. Lane 1: total lysate, Lane 2: cytoplasmic fraction, Lane 3: membrane fraction, Lane 4: nuclear fraction.

5 / 26
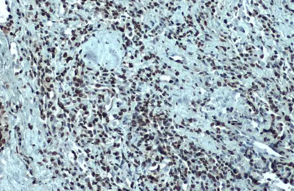
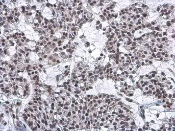
Anti-Nuclear Matrix Protein p84 antibody [5E10] used in IHC (Paraffin sections) (IHC-P). GTX70220
GTX70220 IHC-P Image

Nuclear Matrix Protein p84 antibody [5E10] detects Nuclear Matrix Protein p84 protein at nucleus by immunohistochemical analysis.
Sample: Paraffin-embedded human lung cancer.
Nuclear Matrix Protein p84 stained by Nuclear Matrix Protein p84 antibody [5E10] (GTX70220) diluted at 1:100.
Antigen Retrieval: Citrate buffer, pH 6.0, 15 min

6 / 26
Anti-Nuclear Matrix Protein p84 antibody [5E10] used in Immunocytochemistry/ Immunofluorescence (ICC/IF). GTX70220
GTX70220 ICC/IF Image

Nuclear Matrix Protein p84 antibody [5E10] detects Nuclear Matrix Protein p84 protein at nucleus by immunofluorescent analysis.
Sample: HeLa cells were fixed in 4% paraformaldehyde at RT for 15 min.
Green: Nuclear Matrix Protein p84 stained by Nuclear Matrix Protein p84 antibody [5E10] (GTX70220) diluted at 1:500.
Red: phalloidin, a cytoskeleton marker, diluted at 1:100.

7 / 26
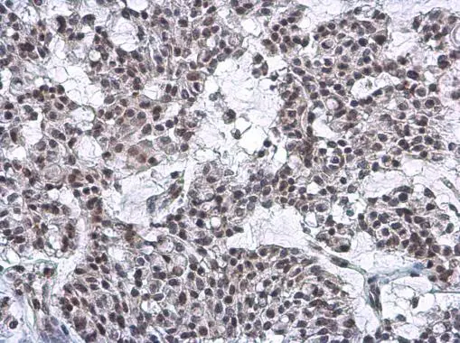
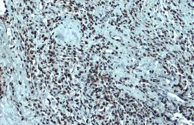
Anti-Nuclear Matrix Protein p84 antibody [5E10] used in IHC (Paraffin sections) (IHC-P). GTX70220
GTX70220 IHC-P Image

Nuclear Matrix Protein p84 antibody [5E10] detects Nuclear Matrix Protein p84 protein at nucleus by immunohistochemical analysis.
Sample: Paraffin-embedded human breast carcinoma.
Nuclear Matrix Protein p84 stained by Nuclear Matrix Protein p84 antibody [5E10] (GTX70220) diluted at 1:200.
Antigen Retrieval: Citrate buffer, pH 6.0, 15 min

8 / 26
Anti-Nuclear Matrix Protein p84 antibody [5E10] used in Immunoprecipitation (IP). GTX70220
GTX70220 IP Image

p84 antibody [5E10] immunoprecipitates p84 protein in IP experiments. IP Sample: HepG2 whole cell lysate/extract A : 30 μg whole cell lysate/extract of p84 protein expressing HepG2 cells B : Control with 3 μg of pre-immune mouse IgG C : Immunoprecipitation of p84 by 3 μg of p84 antibody [5E10] (GTX70220) 7.5% SDS-PAGE The immunoprecipitated p84 protein was detected by p84 antibody [5E10] (GTX70220) diluted at 1 : 1000. EasyBlot anti-rabbit IgG (HRP) (GTX221667-01) was used as a secondary reagent.

9 / 26
Anti-Nuclear Matrix Protein p84 antibody [5E10] used in Western Blot (WB). GTX70220
GTX70220 WB Image

The data was published in the journal BMC Biochem in 2007. PMID: 17880698

10 / 26
Anti-Nuclear Matrix Protein p84 antibody [5E10] used in Western Blot (WB). GTX70220
GTX70220 WB Image

The data was published in the journal PLoS One in 2013.PMID: 23805200

11 / 26
Anti-Nuclear Matrix Protein p84 antibody [5E10] used in Western Blot (WB). GTX70220
GTX70220 WB Image

The data was published in the Nat Commun in 2020. PMID: 33257668

12 / 26
Anti-Nuclear Matrix Protein p84 antibody [5E10] used in Western Blot (WB). GTX70220
GTX70220 WB Image

The data was published in the journal PLoS Pathog in 2015. PMID: 25927232

13 / 26
Anti-Nuclear Matrix Protein p84 antibody [5E10] used in Western Blot (WB). GTX70220
GTX70220 WB Image

The data was published in the journal Biomed Res Int in 2015. PMID: 25722974

14 / 26
Anti-Nuclear Matrix Protein p84 antibody [5E10] used in Western Blot (WB). GTX70220
GTX70220 WB Image

The data was published in the journal PLoS One in 2017. PMID: 29045486

15 / 26
Anti-Nuclear Matrix Protein p84 antibody [5E10] used in Western Blot (WB). GTX70220
GTX70220 WB Image

The data was published in the journal PLoS One in 2017. PMID: 29045486

16 / 26
Anti-Nuclear Matrix Protein p84 antibody [5E10] used in Western Blot (WB). GTX70220
GTX70220 WB Image

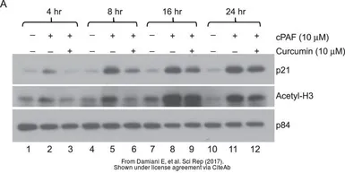
The data was published in the journal Sci Rep in 2017. PMID: 28157211

17 / 26
Anti-Nuclear Matrix Protein p84 antibody [5E10] used in Western Blot (WB). GTX70220
GTX70220 WB Image

The data was published in the journal Sci Rep in 2017. PMID: 28157211

18 / 26
Anti-Nuclear Matrix Protein p84 antibody [5E10] used in Western Blot (WB). GTX70220
GTX70220 WB Image

The data was published in the journal Biomed Res Int in 2015. PMID: 25834829

19 / 26
Anti-Nuclear Matrix Protein p84 antibody [5E10] used in Western Blot (WB). GTX70220
GTX70220 WB Image

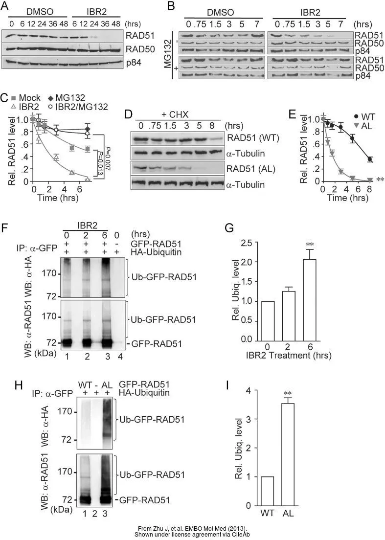
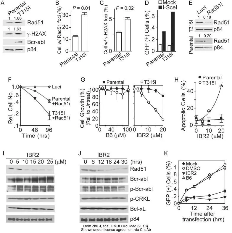
The data was published in the journal EMBO Mol Med in 2013. PMID: 23341130

20 / 26
Anti-Nuclear Matrix Protein p84 antibody [5E10] used in Western Blot (WB). GTX70220
GTX70220 WB Image

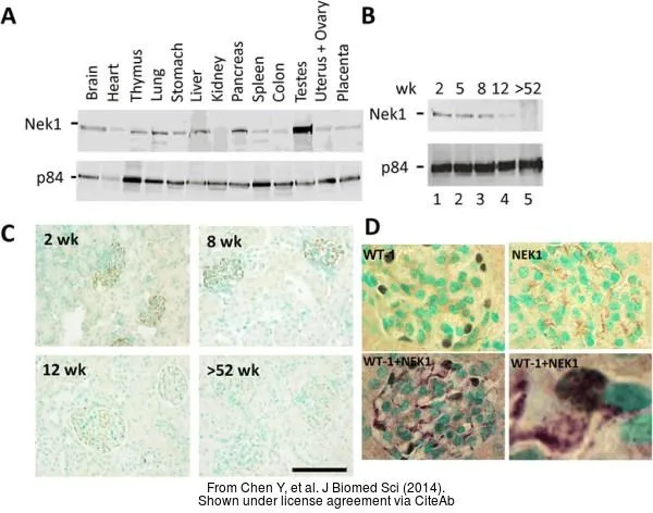
The data was published in the journal J Biomed Sci in 2014. PMID: 25030234

21 / 26
Anti-Nuclear Matrix Protein p84 antibody [5E10] used in Western Blot (WB). GTX70220
GTX70220 WB Image

The data was published in the journal EMBO Mol Med in 2013. PMID: 23341130

22 / 26
Anti-Nuclear Matrix Protein p84 antibody [5E10] used in Western Blot (WB). GTX70220
GTX70220 WB Image

The data was published in the journal Nat Commun in 2016.PMID: 27046438

23 / 26
Anti-Nuclear Matrix Protein p84 antibody [5E10] used in Western Blot (WB). GTX70220
GTX70220 WB Image

The data was published in the journal Nat Commun in 2016.PMID: 27046438

24 / 26
Anti-Nuclear Matrix Protein p84 antibody [5E10] used in Western Blot (WB). GTX70220
GTX70220 WB Image

The data was published in the 2019 in Elife. PMID: 31663849

25 / 26
Anti-Nuclear Matrix Protein p84 antibody [5E10] used in Western Blot (WB). GTX70220
GTX70220 WB Image

The data was published in the 2019 in Elife. PMID: 31663849

26 / 26
Anti-Nuclear Matrix Protein p84 antibody [5E10] used in Western Blot (WB). GTX70220
Anti-Nuclear Matrix Protein p84 antibody [5E10] used in Western Blot (WB). GTX70220
Anti-Nuclear Matrix Protein p84 antibody [5E10] used in Western Blot (WB). GTX70220
Anti-Nuclear Matrix Protein p84 antibody [5E10] used in Western Blot (WB). GTX70220
Anti-Nuclear Matrix Protein p84 antibody [5E10] used in Western Blot (WB). GTX70220
Anti-Nuclear Matrix Protein p84 antibody [5E10] used in IHC (Paraffin sections) (IHC-P). GTX70220
Anti-Nuclear Matrix Protein p84 antibody [5E10] used in Immunocytochemistry/ Immunofluorescence (ICC/IF). GTX70220
Anti-Nuclear Matrix Protein p84 antibody [5E10] used in IHC (Paraffin sections) (IHC-P). GTX70220
Anti-Nuclear Matrix Protein p84 antibody [5E10] used in Immunoprecipitation (IP). GTX70220
Anti-Nuclear Matrix Protein p84 antibody [5E10] used in Western Blot (WB). GTX70220
Anti-Nuclear Matrix Protein p84 antibody [5E10] used in Western Blot (WB). GTX70220
Anti-Nuclear Matrix Protein p84 antibody [5E10] used in Western Blot (WB). GTX70220
Anti-Nuclear Matrix Protein p84 antibody [5E10] used in Western Blot (WB). GTX70220
Anti-Nuclear Matrix Protein p84 antibody [5E10] used in Western Blot (WB). GTX70220
Anti-Nuclear Matrix Protein p84 antibody [5E10] used in Western Blot (WB). GTX70220
Anti-Nuclear Matrix Protein p84 antibody [5E10] used in Western Blot (WB). GTX70220
Anti-Nuclear Matrix Protein p84 antibody [5E10] used in Western Blot (WB). GTX70220
Anti-Nuclear Matrix Protein p84 antibody [5E10] used in Western Blot (WB). GTX70220
Anti-Nuclear Matrix Protein p84 antibody [5E10] used in Western Blot (WB). GTX70220
Anti-Nuclear Matrix Protein p84 antibody [5E10] used in Western Blot (WB). GTX70220
Anti-Nuclear Matrix Protein p84 antibody [5E10] used in Western Blot (WB). GTX70220
Anti-Nuclear Matrix Protein p84 antibody [5E10] used in Western Blot (WB). GTX70220
Anti-Nuclear Matrix Protein p84 antibody [5E10] used in Western Blot (WB). GTX70220
Anti-Nuclear Matrix Protein p84 antibody [5E10] used in Western Blot (WB). GTX70220
Anti-Nuclear Matrix Protein p84 antibody [5E10] used in Western Blot (WB). GTX70220
Anti-Nuclear Matrix Protein p84 antibody [5E10] used in Western Blot (WB). GTX70220
  • Host
    Mouse
  • Clonality
    Monoclonal
  • Clone Name
    5E10
  • Isotype
    IgG2b
  • Applications
    WB ICC/IF IHC-P IP ChIP assay IHC
  • Reactivity
    Human, Mouse, Rat, Hamster, Monkey
Summary
Nuclear Matrix Protein p84 antibody detects THO complex subunit 1, which is an 84 kDa nuclear matrix protein often referred to as just “p84”. p84 is involved in mRNA transcription and is considered to be a nuclear marker. p84 antibody is an effective reagent used to verify the purity of nuclear extracts in cellular fractionation assays.
See all Nuclear Matrix Protein p84 products