Nucleoporin p62 antibody

Cat. No. GTX107973
Cat. No.  GTX107973
Anti-Nucleoporin p62 antibody used in Western Blot (WB). GTX107973
GTX107973 WB Image

Sample (30 μg of whole cell lysate)
A: PC-12
7.5% SDS PAGE
GTX107973 diluted at 1:5000
The HRP-conjugated anti-rabbit IgG antibody (GTX213110-01) was used to detect the primary antibody.

1 / 7
Anti-Nucleoporin p62 antibody used in Western Blot (WB). GTX107973
GTX107973 WB Image

Nucleoporin p62 antibody detects Nucleoporin p62 protein by western blot analysis. Whole cell extracts (30 μg) was separated by 10% SDS-PAGE, and blotted with Nucleoporin p62 antibody (GTX107973) diluted by 1:5000. The HRP-conjugated anti-rabbit IgG antibody (GTX213110-01) was used to detect the primary antibody.

2 / 7
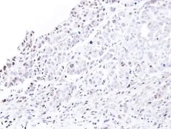
Anti-Nucleoporin p62 antibody used in IHC (Paraffin sections) (IHC-P). GTX107973
GTX107973 IHC-P Image

Nucleoporin p62 antibody detects Nucleoporin p62 protein at nucleus by immunohistochemical analysis.
Sample: Paraffin-embedded rat brain.
Nucleoporin p62 stained by Nucleoporin p62 antibody (GTX107973) diluted at 1:500.
Antigen Retrieval: Citrate buffer, pH 6.0, 15 min

3 / 7
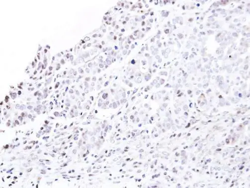
Anti-Nucleoporin p62 antibody used in IHC (Paraffin sections) (IHC-P). GTX107973
GTX107973 IHC-P Image

Immunohistochemical analysis of paraffin-embedded NCIN87 xenograft, using nucleoporin p62 (GTX107973) antibody at 1:500 dilution.
Antigen Retrieval: Trilogy™ (EDTA based, pH 8.0) buffer, 15min

4 / 7
Anti-Nucleoporin p62 antibody used in Immunocytochemistry/ Immunofluorescence (ICC/IF). GTX107973
GTX107973 ICC/IF Image

Nucleoporin p62 antibody detects Nucleoporin p62 protein at nucleus by immunofluorescent analysis.
Sample: HeLa cells were fixed in 4% paraformaldehyde at RT for 15 min.
Green: Nucleoporin p62 protein stained by Nucleoporin p62 antibody (GTX107973) diluted at 1:750.
Blue: Hoechst 33342 staining.
Scale bar = 10 μm.

5 / 7
Anti-Nucleoporin p62 antibody used in Immunoprecipitation (IP). GTX107973
GTX107973 IP Image

Nucleoporin p62 antibody immunoprecipitates NUP62 protein in IP experiments.
IP samples: 293T whole cell extract
A. Control with 4 μg of preimmune Rabbit IgG
B. Immunoprecipitation of NUP62 protein by 4 μg Nucleoporin p62 antibody (GTX107973)
7.5 % SDS-PAGE
The immunoprecipitated NUP62 protein was detected by Nucleoporin p62 antibody (GTX107973) diluted at 1:1000.
[EasyBlot anti-rabbit IgG (GTX221666-01) was used as a secondary reagent]

6 / 7
Anti-Nucleoporin p62 antibody used in Western Blot (WB). GTX107973
GTX107973 WB Image

Sample (30 μg of whole cell lysate)
A: NIH-3T3
B: JC
C: BCL-1
D: C2C12
7.5% SDS PAGE
GTX107973 diluted at 1:5000
The HRP-conjugated anti-rabbit IgG antibody (GTX213110-01) was used to detect the primary antibody.

7 / 7
Anti-Nucleoporin p62 antibody used in Western Blot (WB). GTX107973
Anti-Nucleoporin p62 antibody used in Western Blot (WB). GTX107973
Anti-Nucleoporin p62 antibody used in IHC (Paraffin sections) (IHC-P). GTX107973
Anti-Nucleoporin p62 antibody used in IHC (Paraffin sections) (IHC-P). GTX107973
Anti-Nucleoporin p62 antibody used in Immunocytochemistry/ Immunofluorescence (ICC/IF). GTX107973
Anti-Nucleoporin p62 antibody used in Immunoprecipitation (IP). GTX107973
Anti-Nucleoporin p62 antibody used in Western Blot (WB). GTX107973
  • Host
    Rabbit
  • Clonality
    Polyclonal
  • Isotype
    IgG
  • Applications
    WB ICC/IF IHC-P IP
  • Reactivity
    Human, Mouse, Rat
See all Nucleoporin p62 products