PCNA antibody

Cat. No. GTX100539
Cat. No.  GTX100539
Anti-PCNA antibody used in Western Blot (WB). GTX100539
GTX100539 WB Image

PCNA antibody detects PCNA protein by Western blot analysis. Various whole cell extracts (30 μg) were separated by 12% SDS-PAGE, and the membrane was blotted with PCNA antibody (GTX100539) diluted at 1:2500.

1 / 17
Anti-PCNA antibody used in Western Blot (WB). GTX100539
GTX100539 WB Image

Whole cell extract (30 μg) was separated by 12% SDS-PAGE, and the membrane was blotted with PCNA antibody (GTX100539) diluted at 1:1000. The HRP-conjugated anti-rabbit IgG antibody (GTX213110-01) was used to detect the primary antibody.

2 / 17
Anti-PCNA antibody used in Immunocytochemistry/ Immunofluorescence (ICC/IF). GTX100539
GTX100539 ICC/IF Image

PCNA antibody detects PCNA protein at nucleus by immunofluorescent analysis.
Sample: HeLa cells were fixed in ice-cold MeOH for 5 min.
Green: PCNA protein stained by PCNA antibody (GTX100539) diluted at 1:1000.
Blue: Hoechst 33342 staining.
Scale bar = 10 μm.

3 / 17
Anti-PCNA antibody used in Western Blot (WB). GTX100539
GTX100539 WB Image

PCNA antibody detects PCNA protein by Western blot analysis. Various whole cell extracts (30 μg) were separated by 12% SDS-PAGE, and the membrane was blotted with PCNA antibody (GTX100539) diluted at 1:2500.

4 / 17
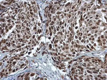
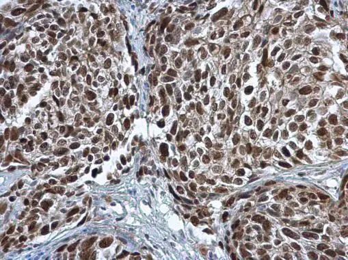
Anti-PCNA antibody used in IHC (Paraffin sections) (IHC-P). GTX100539
GTX100539 IHC-P Image

PCNA antibody detects PCNA protein at nucleus in human cervical carcinoma by immunohistochemical analysis.
Sample: Paraffin-embedded human cervical carcinoma.
PCNA antibody (GTX100539) diluted at 1:500.

Antigen Retrieval: Citrate buffer, pH 6.0, 15 min

5 / 17
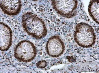
Anti-PCNA antibody used in IHC (Paraffin sections) (IHC-P). GTX100539
GTX100539 IHC-P Image

PCNA antibody detects PCNA protein at nucleus in human colon by immunohistochemical analysis.
Sample: Paraffin-embedded human colon .
PCNA antibody (GTX100539) diluted at 1:500.

Antigen Retrieval: Citrate buffer, pH 6.0, 15 min

6 / 17
Anti-PCNA antibody used in Immunocytochemistry/ Immunofluorescence (ICC/IF). GTX100539
GTX100539 ICC/IF Image

PCNA antibody detects PCNA protein at nucleus by immunofluorescent analysis.
Sample: HeLa cells were fixed in 4% paraformaldehyde at RT for 15 min.
Green: PCNA protein stained by PCNA antibody (GTX100539) diluted at 1:500.
Red: Phalloidin, a cytoskeleton marker, diluted at 1:200.
Scale bar = 10 μm.

7 / 17
Anti-PCNA antibody used in IHC (Paraffin sections) (IHC-P). GTX100539
GTX100539 IHC-P Image

PCNA antibody detects PCNA protein at nucleus on mouse testis by immunohistochemical analysis.
Sample: Paraffin-embedded mouse testis.
PCNA antibody (GTX100539) dilution: 1:500.

Antigen Retrieval: Trilogy™ (EDTA based, pH 8.0) buffer, 15min

8 / 17
Anti-PCNA antibody used in Western Blot (WB). GTX100539
GTX100539 WB Image

PCNA antibody detects PCNA protein by western blot analysis.
A. 30 μg PC-12 whole cell lysate/extract
12% SDS-PAGE
PCNA antibody (GTX100539) dilution: 1:2500
The HRP-conjugated anti-rabbit IgG antibody (GTX213110-01) was used to detect the primary antibody.

9 / 17
Anti-PCNA antibody used in Western Blot (WB). GTX100539
GTX100539 WB Image

PCNA antibody detects PCNA protein by western blot analysis.
A. 30 μg NIH-3T3 whole cell lysate/extract
12% SDS-PAGE
PCNA antibody (GTX100539) dilution: 1:2500
The HRP-conjugated anti-rabbit IgG antibody (GTX213110-01) was used to detect the primary antibody.

10 / 17
Anti-PCNA antibody used in Immunoprecipitation (IP). GTX100539
GTX100539 IP Image

Immunoprecipitation of PCBP2 protein from HeLa whole cell extracts using 5 μg of PCBP2 antibody (GTX100539).
Western blot analysis was performed using PCBP2 antibody (GTX100539).
EasyBlot anti-Rabbit IgG (GTX221666-01) was used as a secondary reagent.

11 / 17
Anti-PCNA antibody used in Western Blot (WB). GTX100539
GTX100539 WB Image

The data was published in the journal Oncotarget in 2017. PMID: 27458161

12 / 17
Anti-PCNA antibody used in Western Blot (WB). GTX100539
GTX100539 WB Image

The data was published in the journal Toxins (Basel) in 2013. PMID: 24335753

13 / 17
Anti-PCNA antibody used in IHC (Paraffin sections) (IHC-P). GTX100539
GTX100539 IHC-P Image

The data was published in the journal Sci Rep in 2017. PMID: 28112237

14 / 17
Anti-PCNA antibody used in Western Blot (WB). GTX100539
GTX100539 WB Image

The data was published in the journal Sci Rep in 2016.PMID: 27659793

15 / 17
Anti-PCNA antibody used in Western Blot (WB). GTX100539
GTX100539 WB Image

The data was published in the journal Biomolecules in 2019.PMID: 31614639

16 / 17
Anti-PCNA antibody used in Western Blot (WB). GTX100539
GTX100539 WB Image

The data was published in the journal Cell Death Dis in 2014.PMID: 25429617

17 / 17
Anti-PCNA antibody used in Western Blot (WB). GTX100539
Anti-PCNA antibody used in Western Blot (WB). GTX100539
Anti-PCNA antibody used in Immunocytochemistry/ Immunofluorescence (ICC/IF). GTX100539
Anti-PCNA antibody used in Western Blot (WB). GTX100539
Anti-PCNA antibody used in IHC (Paraffin sections) (IHC-P). GTX100539
Anti-PCNA antibody used in IHC (Paraffin sections) (IHC-P). GTX100539
Anti-PCNA antibody used in Immunocytochemistry/ Immunofluorescence (ICC/IF). GTX100539
Anti-PCNA antibody used in IHC (Paraffin sections) (IHC-P). GTX100539
Anti-PCNA antibody used in Western Blot (WB). GTX100539
Anti-PCNA antibody used in Western Blot (WB). GTX100539
Anti-PCNA antibody used in Immunoprecipitation (IP). GTX100539
Anti-PCNA antibody used in Western Blot (WB). GTX100539
Anti-PCNA antibody used in Western Blot (WB). GTX100539
Anti-PCNA antibody used in IHC (Paraffin sections) (IHC-P). GTX100539
Anti-PCNA antibody used in Western Blot (WB). GTX100539
Anti-PCNA antibody used in Western Blot (WB). GTX100539
Anti-PCNA antibody used in Western Blot (WB). GTX100539
  • Host
    Rabbit
  • Clonality
    Polyclonal
  • Isotype
    IgG
  • Applications
    WB ICC/IF IHC-P IP
  • Reactivity
    Human, Mouse, Rat, Drosophila, Golden Syrian Hamster
Summary
PCNA antibody recognizes the proliferating cell nuclear antigen (PCNA), a cofactor of DNA polymerase delta with a predicted molecular weight of 29 kDa. PCNA is important for DNA synthesis, repair, and epigenetic modifications, and also serves as an organelle marker of the nucleus. PCNA antibody can be used for distinguishing between early, middle, and late S-phase of the cell cycle as well as grading of different neoplasms.
See all PCNA products