PD-L1 antibody

Cat. No. GTX104763
Cat. No.  GTX104763
Anti-PD-L1 antibody used in Western Blot (WB). GTX104763
GTX104763 WB Image

Wild-type (WT) and PD-L1 knockout (KO) MDA-MB-231 cell extracts (30 μg) were separated by 10% SDS-PAGE, and the membrane was blotted with PD-L1 antibody (GTX104763) diluted at 1:4000. The HRP-conjugated anti-rabbit IgG antibody (GTX213110-01) was used to detect the primary antibody.

1 / 24
Anti-PD-L1 antibody used in Western Blot (WB). GTX104763
GTX104763 WB Image

Untreated (–) and treated (+) A431 whole cell extracts (30 μg) were separated by 10% SDS-PAGE, and the membranes were blotted with PD-L1 antibody (GTX104763) diluted at 1:1200 and competitor's antibody (CST#13684) diluted at 1:500. The HRP-conjugated anti-rabbit IgG antibody (GTX213110-01) was used to detect the primary antibody.

*The competitor is not affiliated with GeneTex and does not endorse this product.

2 / 24
Anti-PD-L1 antibody used in Immunocytochemistry/ Immunofluorescence (ICC/IF). GTX104763
GTX104763 ICC/IF Image

PD-L1 antibody detects PD-L1 protein at cell membrane by immunofluorescent analysis.
Sample: MDA-MB-231 cells were fixed in ice-cold MeOH for 5 min.
Green: PD-L1 stained by PD-L1 antibody (GTX104763) diluted at 1:500.
Blue: Fluoroshield with DAPI (GTX30920).

3 / 24
Anti-PD-L1 antibody used in Western Blot (WB). GTX104763
GTX104763 WB Image

Various whole cell extracts (30 μg) were separated by 10% SDS-PAGE, and the membrane was blotted with PD-L1 antibody (GTX104763) diluted at 1:2000. The HRP-conjugated anti-rabbit IgG antibody (GTX213110-01) was used to detect the primary antibody. Corresponding RNA expression data for the same cell lines are based on Human Protein Atlas program.

4 / 24
Anti-PD-L1 antibody used in Western Blot (WB). GTX104763
GTX104763 WB Image

Non-transfected (–) and transfected (+) 293T whole cell extracts (30 μg) were separated by 10% SDS-PAGE, and the membrane was blotted with PD-L1 antibody (GTX104763) diluted at 1:1000. The HRP-conjugated anti-rabbit IgG antibody (GTX213110-01) was used to detect the primary antibody, and the signal was developed with Trident ECL plus-Enhanced.

5 / 24
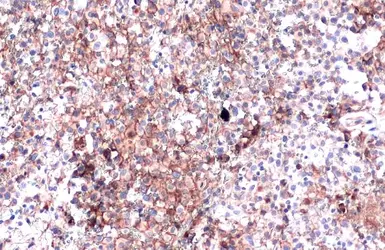
Anti-PD-L1 antibody used in IHC (Paraffin sections) (IHC-P). GTX104763
GTX104763 IHC-P Image

PD-L1 antibody detects PD-L1 protein at cell membrane in human ovarian carcinoma by immunohistochemical analysis. Antibodies: PD-L1 antibody (GTX104763) diluted at 1:1000, and competitor's antibody diluted at 1:50.
Antigen Retrieval: Citrate buffer, pH 6.0, 15 min

6 / 24
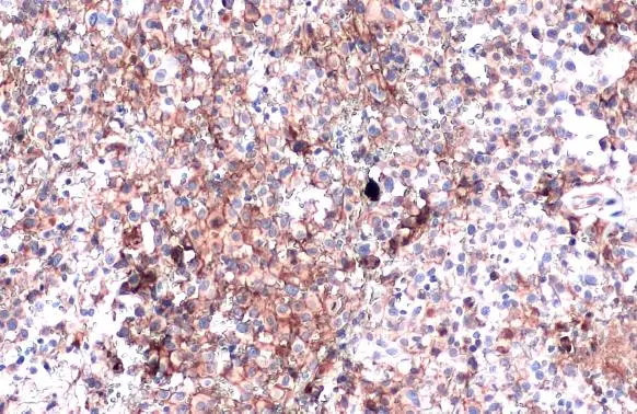
Anti-PD-L1 antibody used in IHC (Paraffin sections) (IHC-P). GTX104763
GTX104763 IHC-P Image

PD-L1 antibody detects PD-L1 protein at cell membrane in PD-L1 protein-expressing cell lines by immunohistochemical analysis. Antibodies: PD-L1 antibody (GTX104763) diluted at 1:1000, and competitor's antibody diluted at 1:50. Samples: Negative (-), low positive (+), intermediate positive (++) and strong positive (+++) cell line cores assessed using Quantitative Digital Pathology.
Antigen Retrieval: Citrate buffer, pH 6.0, 15 min

7 / 24
Anti-PD-L1 antibody used in Western Blot (WB). GTX104763
GTX104763 WB Image

Various whole cell extracts (30 μg) were separated by 12% SDS-PAGE, and the membranes were blotted with PD-L1 antibody (GTX104763) diluted at 1:2000 and competitor's antibody (CST#13684) diluted by 1:500. The HRP-conjugated anti-rabbit IgG antibody (GTX213110-01) was used to detect the primary antibody.

8 / 24
Anti-PD-L1 antibody used in Western Blot (WB). GTX104763
GTX104763 WB Image

Untreated (–) and treated (+) MDA-MB-231 whole cell extracts (30 μg) were separated by 10% SDS-PAGE, and the membrane was blotted with PD-L1 antibody (GTX104763) diluted at 1:1000.

9 / 24
Anti-PD-L1 antibody used in IHC (Paraffin sections) (IHC-P). GTX104763
GTX104763 IHC-P Image

PD-L1 antibody detects PD-L1 proteinat cell membrane in human ovarian carcinoma by immunohistochemical analysis.
Sample: Paraffin-embedded human ovarian carcinoma.
PD-L1 antibody (GTX104763) diluted at 1:1000.

Antigen Retrieval: Citrate buffer, pH 6.0, 15 min

10 / 24
Anti-PD-L1 antibody used in Immunocytochemistry/ Immunofluorescence (ICC/IF). GTX104763
GTX104763 ICC/IF Image

PD-L1 antibody detects PD-L1 protein by immunofluorescent analysis.
Sample: MDA-MB-231 (left) and HeLa (right) cells were fixed in ice-cold MeOH for 5 min.
Green: PD-L1 stained by PD-L1 antibody (GTX104763) diluted at 1:500.
Blue: Hoechst 33342 staining.
Scale bar= 10 μm.

11 / 24
Anti-PD-L1 antibody used in IHC (Paraffin sections) (IHC-P). GTX104763
GTX104763 IHC-P Image

PD-L1 antibody detects PD-L1 protein at cell membrane by immunohistochemical analysis.
Sample: Paraffin-embedded human ovarian cancer.
PD-L1 stained by PD-L1 antibody (GTX104763) diluted at 1:4000.
Antigen Retrieval: Citrate buffer, pH 6.0, 15 min

12 / 24
Anti-PD-L1 antibody used in Western Blot (WB). GTX104763
GTX104763 WB Image

Various whole cell extracts were separated by 10% SDS-PAGE, and the membranes were blotted with PD-L1 antibody (GTX104763) diluted at 1:600 and with DDDDK tag antibody (GTX115043) diluted at 1:3000 to detect DDDDK-tagged PD-L2. The HRP-conjugated anti-rabbit IgG antibody (GTX213110-01) was used to detect the primary antibody.

13 / 24
Anti-PD-L1 antibody used in Western Blot (WB). GTX104763
GTX104763 WB Image

Non-transfected (–) and transfected (+) A431 whole cell extracts (30 μg) were separated by 10% SDS-PAGE, and the membrane was blotted with PD-L1 antibody (GTX104763) diluted at 1:1000. The HRP-conjugated anti-rabbit IgG antibody (GTX213110-01) was used to detect the primary antibody.

14 / 24
Anti-PD-L1 antibody used in Western Blot (WB). GTX104763
GTX104763 WB Image

Various whole cell extracts (30 μg) were separated by 10% SDS-PAGE, and the membrane was blotted with PD-L1 antibody (GTX104763) diluted at 1:2000. The HRP-conjugated anti-rabbit IgG antibody (GTX213110-01) was used to detect the primary antibody, and the signal was developed with Trident ECL plus-Enhanced.

15 / 24
Anti-PD-L1 antibody used in Western Blot (WB). GTX104763
GTX104763 WB Image

The data was published in the journal Nat Commun in 2020. PMID: 32245950

16 / 24
Anti-PD-L1 antibody used in Western Blot (WB). GTX104763
GTX104763 WB Image

The data was published in the journal Nat Commun in 2020. PMID: 32245950

17 / 24
Anti-PD-L1 antibody used in Western Blot (WB). GTX104763
GTX104763 WB Image

The data was published in the journal Cancers (Basel) in 2019.PMID: 31835799

18 / 24
Anti-PD-L1 antibody used in Western Blot (WB). GTX104763
GTX104763 WB Image

The data was published in the journal Cancers (Basel) in 2019.PMID: 31905966

19 / 24
Anti-PD-L1 antibody used in Western Blot (WB). GTX104763
GTX104763 WB Image

The data was published in the journal Cancers (Basel) in 2019.PMID: 31835799

20 / 24
Anti-PD-L1 antibody used in Western Blot (WB). GTX104763
GTX104763 WB Image

The data was published in the journal Cancers (Basel) in 2019.PMID: 31835799

21 / 24
Anti-PD-L1 antibody used in Western Blot (WB). GTX104763
GTX104763 WB Image

The data was published in the journal Cancers (Basel) in 2019.PMID: 31905966

22 / 24
Anti-PD-L1 antibody used in Western Blot (WB). GTX104763
GTX104763 WB Image

The data was published in the 2021 in Cancer Metab. PMID: 33608051

23 / 24
Anti-PD-L1 antibody used in Western Blot (WB). GTX104763
GTX104763 WB Image

The data was published in the journal Cancers (Basel) in 2019.PMID: 31835799

24 / 24
Anti-PD-L1 antibody used in Western Blot (WB). GTX104763
Anti-PD-L1 antibody used in Western Blot (WB). GTX104763
Anti-PD-L1 antibody used in Immunocytochemistry/ Immunofluorescence (ICC/IF). GTX104763
Anti-PD-L1 antibody used in Western Blot (WB). GTX104763
Anti-PD-L1 antibody used in Western Blot (WB). GTX104763
Anti-PD-L1 antibody used in IHC (Paraffin sections) (IHC-P). GTX104763
Anti-PD-L1 antibody used in IHC (Paraffin sections) (IHC-P). GTX104763
Anti-PD-L1 antibody used in Western Blot (WB). GTX104763
Anti-PD-L1 antibody used in Western Blot (WB). GTX104763
Anti-PD-L1 antibody used in IHC (Paraffin sections) (IHC-P). GTX104763
Anti-PD-L1 antibody used in Immunocytochemistry/ Immunofluorescence (ICC/IF). GTX104763
Anti-PD-L1 antibody used in IHC (Paraffin sections) (IHC-P). GTX104763
Anti-PD-L1 antibody used in Western Blot (WB). GTX104763
Anti-PD-L1 antibody used in Western Blot (WB). GTX104763
Anti-PD-L1 antibody used in Western Blot (WB). GTX104763
Anti-PD-L1 antibody used in Western Blot (WB). GTX104763
Anti-PD-L1 antibody used in Western Blot (WB). GTX104763
Anti-PD-L1 antibody used in Western Blot (WB). GTX104763
Anti-PD-L1 antibody used in Western Blot (WB). GTX104763
Anti-PD-L1 antibody used in Western Blot (WB). GTX104763
Anti-PD-L1 antibody used in Western Blot (WB). GTX104763
Anti-PD-L1 antibody used in Western Blot (WB). GTX104763
Anti-PD-L1 antibody used in Western Blot (WB). GTX104763
Anti-PD-L1 antibody used in Western Blot (WB). GTX104763
  • Host
    Rabbit
  • Clonality
    Polyclonal
  • Isotype
    IgG
  • Applications
    WB ICC/IF IHC-P IHC-Fr FCM
  • Reactivity
    Human
Summary
PD-L1 antibody recognizes programmed death-ligand 1 (PD-L1) protein, also known as B7 homolog 1 (B7-H1) and cluster of differentiation 274 (CD274) protein. PD-L1 is found on various cancer cells and transduces immunosuppressive signals by binding to the programmed cell death protein 1 (PD-1) on effector T cells, thereby diminishing immune system attacks on malignant cells. Blocking the interaction between PD-L1 and PD-1 with PD-L1 antibodies is generating great clinical interest as a mode of immunotherapy against a number of cancers.
See all PD-L1 products