PEX19 antibody

Cat. No. GTX110721
Cat. No.  GTX110721
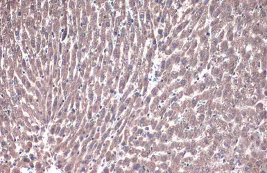
Anti-PEX19 antibody used in IHC (Paraffin sections) (IHC-P). GTX110721
GTX110721 IHC-P Image

PEX19 antibody detects PEX19 protein at cytoplasm by immunohistochemical analysis.
Sample: Paraffin-embedded mouse kidney.
PEX19 stained by PEX19 antibody (GTX110721) diluted at 1:1000.
Antigen Retrieval: Citrate buffer, pH 6.0, 15 min

1 / 7
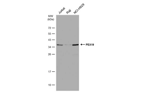
Anti-PEX19 antibody used in Western Blot (WB). GTX110721
GTX110721 WB Image

Various whole cell extracts (30 μg) were separated by 12% SDS-PAGE, and the membrane was blotted with PEX19 antibody (GTX110721) diluted at 1:10000. The HRP-conjugated anti-rabbit IgG antibody (GTX213110-01) was used to detect the primary antibody.

2 / 7
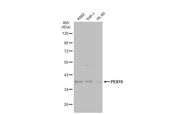
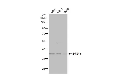
Anti-PEX19 antibody used in Western Blot (WB). GTX110721
GTX110721 WB Image

Various whole cell extracts (30 μg) were separated by 10% SDS-PAGE, and the membrane was blotted with PEX19 antibody (GTX110721) diluted at 1:10000. The HRP-conjugated anti-rabbit IgG antibody (GTX213110-01) was used to detect the primary antibody.

3 / 7
Anti-PEX19 antibody used in Immunocytochemistry/ Immunofluorescence (ICC/IF). GTX110721
GTX110721 ICC/IF Image

Confocal immunofluorescence analysis (Olympus FV10i) of methanol-fixed HeLa, using PEX19(GTX110721) antibody (Green) at 1:500 dilution. Alpha-tubulin filaments were labeled with GTX11304 (Red) at 1:2000.

4 / 7
Anti-PEX19 antibody used in Western Blot (WB). GTX110721
GTX110721 WB Image

Sample (50 μg of whole cell lysate)
A: mouse liver
12% SDS PAGE
GTX110721 diluted at 1:10000
The HRP-conjugated anti-rabbit IgG antibody (GTX213110-01) was used to detect the primary antibody.

5 / 7
Anti-PEX19 antibody used in Western Blot (WB). GTX110721
GTX110721 WB Image

PEX19 antibody detects PEX19 protein by western blot analysis.
A. 30 μg PC-12 whole cell lysate/extract
B. 30 μg Rat-2 whole cell lysate/extract
10% SDS-PAGE
PEX19 antibody (GTX110721) dilution: 1:1000
The HRP-conjugated anti-rabbit IgG antibody (GTX213110-01) was used to detect the primary antibody.

6 / 7
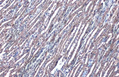
Anti-PEX19 antibody used in IHC (Paraffin sections) (IHC-P). GTX110721
GTX110721 IHC-P Image

PEX19 antibody detects PEX19 protein at cytoplasm by immunohistochemical analysis.
Sample: Paraffin-embedded rat liver.
PEX19 stained by PEX19 antibody (GTX110721) diluted at 1:1000.
Antigen Retrieval: Citrate buffer, pH 6.0, 15 min

7 / 7
Anti-PEX19 antibody used in IHC (Paraffin sections) (IHC-P). GTX110721
Anti-PEX19 antibody used in Western Blot (WB). GTX110721
Anti-PEX19 antibody used in Western Blot (WB). GTX110721
Anti-PEX19 antibody used in Immunocytochemistry/ Immunofluorescence (ICC/IF). GTX110721
Anti-PEX19 antibody used in Western Blot (WB). GTX110721
Anti-PEX19 antibody used in Western Blot (WB). GTX110721
Anti-PEX19 antibody used in IHC (Paraffin sections) (IHC-P). GTX110721
  • Host
    Rabbit
  • Clonality
    Polyclonal
  • Isotype
    IgG
  • Applications
    WB ICC/IF IHC-P
  • Reactivity
    Human, Mouse, Rat
See all PEX19 products