PEX26 antibody

Cat. No. GTX109551
Cat. No.  GTX109551
Anti-PEX26 antibody used in Immunocytochemistry/ Immunofluorescence (ICC/IF). GTX109551
GTX109551 ICC/IF Image

PEX26 antibody detects PEX26 protein by immunofluorescent analysis.
Sample: HT-1080 cells were fixed in ice-cold MeOH for 5 min.
Green: PEX26 stained by PEX26 antibody (GTX109551) diluted at 1:500.
Red: alpha Tubulin, a cytoskeleton marker, stained by alpha Tubulin antibody [GT114] (GTX628802) diluted at 1:1000.
Blue: Fluoroshield with DAPI (GTX30920).

1 / 4
Anti-PEX26 antibody used in Immunocytochemistry/ Immunofluorescence (ICC/IF). GTX109551
GTX109551 ICC/IF Image

Immunofluorescence analysis of methanol-fixed HeLa, using PEX26(GTX109551) antibody at 1:500 dilution.

2 / 4
Anti-PEX26 antibody used in Western Blot (WB). GTX109551
GTX109551 WB Image

Sample (30 ug of whole cell lysate)
A: A431
12% SDS PAGE
GTX109551 diluted at 1:1000

3 / 4
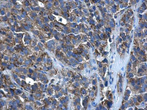
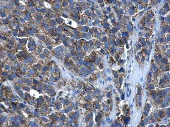
Anti-PEX26 antibody used in IHC (Paraffin sections) (IHC-P). GTX109551
GTX109551 IHC-P Image

PEX26 antibody detects PEX26 protein at cytoplasm in human cervical cancer by immunohistochemical analysis.
Sample: Paraffin-embedded human cervical cancer.
PEX26 antibody (GTX109551) diluted at 1:500.

Antigen Retrieval: Citrate buffer, pH 6.0, 15 min

4 / 4
Anti-PEX26 antibody used in Immunocytochemistry/ Immunofluorescence (ICC/IF). GTX109551
Anti-PEX26 antibody used in Immunocytochemistry/ Immunofluorescence (ICC/IF). GTX109551
Anti-PEX26 antibody used in Western Blot (WB). GTX109551
Anti-PEX26 antibody used in IHC (Paraffin sections) (IHC-P). GTX109551
  • Host
    Rabbit
  • Clonality
    Polyclonal
  • Isotype
    IgG
  • Applications
    WB ICC/IF IHC-P
  • Reactivity
    Human
See all PEX26 products