PKM antibody

Cat. No. GTX107977
Cat. No.  GTX107977
Anti-PKM antibody used in Western Blot (WB). GTX107977
GTX107977 WB Image

Non-transfected (–) and transfected (+) 293T whole cell extracts (30 μg) were separated by 7.5% SDS-PAGE, and the membrane was blotted with PKM antibody (GTX107977) diluted at 1:5000. The HRP-conjugated anti-rabbit IgG antibody (GTX213110-01) was used to detect the primary antibody.

1 / 9
Anti-PKM antibody used in Western Blot (WB). GTX107977
GTX107977 WB Image

Various whole cell extracts (30 μg) were separated by 7.5% SDS-PAGE, and the membrane was blotted with PKM antibody (GTX107977) diluted at 1:1000. The HRP-conjugated anti-rabbit IgG antibody (GTX213110-01) was used to detect the primary antibody. Corresponding RNA expression data for the same cell lines are based on Human Protein Atlas program.

2 / 9
Anti-PKM antibody used in Western Blot (WB). GTX107977
GTX107977 WB Image

Non-transfected (–) and transfected (+) 293T whole cell extracts (30 μg) were separated by 7.5% SDS-PAGE, and the membrane was blotted with PKM antibody (GTX107977) diluted at 1:500. The HRP-conjugated anti-rabbit IgG antibody (GTX213110-01) was used to detect the primary antibody.

3 / 9
Anti-PKM antibody used in Western Blot (WB). GTX107977
GTX107977 WB Image

Various tissue extracts (50 μg) were separated by 10% SDS-PAGE, and the membrane was blotted with PKM antibody (GTX107977) diluted at 1:3000. The HRP-conjugated anti-rabbit IgG antibody (GTX213110-01) was used to detect the primary antibody.

4 / 9
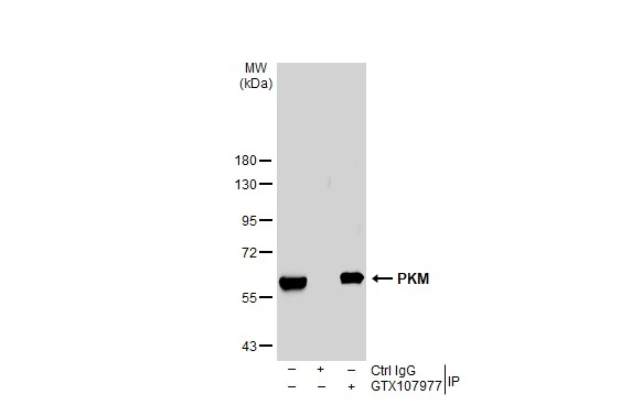
Anti-PKM antibody used in Immunoprecipitation (IP). GTX107977
GTX107977 IP Image

Immunoprecipitation of PKM protein from 293T whole cell extracts using 5 μg of PKM antibody (GTX107977).
Western blot analysis was performed using PKM antibody (GTX107977).
EasyBlot HRP-conjugated anti rabbit IgG antibody (GTX221666-01).

5 / 9
Anti-PKM antibody used in Immunocytochemistry/ Immunofluorescence (ICC/IF). GTX107977
GTX107977 ICC/IF Image

PKM antibody detects PKM protein at cytoplasm by immunofluorescent analysis.
Sample: HeLa cells were fixed in 4% paraformaldehyde at RT for 15 min.
Green: PKM stained by PKM antibody (GTX107977) diluted at 1:500.
Blue: Fluoroshield with DAPI (GTX30920).

6 / 9
Anti-PKM antibody used in Western Blot (WB). GTX107977
GTX107977 WB Image

Various whole cell extracts (30 μg) were separated by 10% SDS-PAGE, and the membrane was blotted with PKM antibody (GTX107977) diluted at 1:1000. The HRP-conjugated anti-rabbit IgG antibody (GTX213110-01) was used to detect the primary antibody.

7 / 9
Anti-PKM antibody used in Immunocytochemistry/ Immunofluorescence (ICC/IF). GTX107977
GTX107977 ICC/IF Image

Pyruvate Kinase (muscle) antibody detects Pyruvate Kinase (muscle) protein at cytoplasm by immunofluorescent analysis.
Sample: HeLa cells were fixed in 4% paraformaldehyde at RT for 15 min.
Green: Pyruvate Kinase (muscle) protein stained by Pyruvate Kinase (muscle) antibody (GTX107977) diluted at 1:500.
Red: alpha Tubulin, a cytoskeleton marker, stained by alpha Tubulin antibody [GT114] (GTX628802) diluted at 1:500.
Blue: Hoechst 33342 staining.

8 / 9
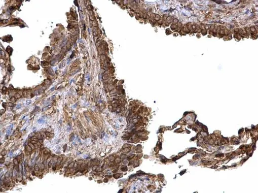
Anti-PKM antibody used in IHC (Paraffin sections) (IHC-P). GTX107977
GTX107977 IHC-P Image

Pyruvate Kinase (muscle) antibody detects Pyruvate Kinase (muscle) protein at cytosol on human lung carcinoma by immunohistochemical analysis.
Sample: Paraffin-embedded human lung carcinoma.
Pyruvate Kinase (muscle) antibody (GTX107977) dilution: 1:500.

Antigen Retrieval: Trilogy™ (EDTA based, pH 8.0) buffer, 15min

9 / 9
Anti-PKM antibody used in Western Blot (WB). GTX107977
Anti-PKM antibody used in Western Blot (WB). GTX107977
Anti-PKM antibody used in Western Blot (WB). GTX107977
Anti-PKM antibody used in Western Blot (WB). GTX107977
Anti-PKM antibody used in Immunoprecipitation (IP). GTX107977
Anti-PKM antibody used in Immunocytochemistry/ Immunofluorescence (ICC/IF). GTX107977
Anti-PKM antibody used in Western Blot (WB). GTX107977
Anti-PKM antibody used in Immunocytochemistry/ Immunofluorescence (ICC/IF). GTX107977
Anti-PKM antibody used in IHC (Paraffin sections) (IHC-P). GTX107977
  • Host
    Rabbit
  • Clonality
    Polyclonal
  • Isotype
    IgG
  • Applications
    WB ICC/IF IHC-P IP
  • Reactivity
    Human, Mouse, Rat
See all PKM products