POM121 antibody [N2N3]

Cat. No. GTX102128
Cat. No.  GTX102128
Anti-POM121 antibody [N2N3] used in Immunocytochemistry/ Immunofluorescence (ICC/IF). GTX102128
GTX102128 ICC/IF Image

Confocal immunofluorescence analysis (Olympus FV10i) of methanol-fixed HeLa, using POM121(GTX102128) antibody (Green) at 1:500 dilution. Alpha-tubulin filaments were labeled with GTX11305 (Red) at 1:500.

1 / 5
Anti-POM121 antibody [N2N3] used in Western Blot (WB). GTX102128
GTX102128 WB Image

Whole cell extract (30 μg) was separated by 5% SDS-PAGE, and the membrane was blotted with POM121 antibody [N2N3] (GTX102128) diluted at 1:2000. The HRP-conjugated anti-rabbit IgG antibody (GTX213110-01) was used to detect the primary antibody.

2 / 5
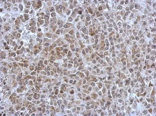
Anti-POM121 antibody [N2N3] used in IHC (Paraffin sections) (IHC-P). GTX102128
GTX102128 IHC-P Image

Immunohistochemical analysis of paraffin-embedded HBL435 xenograft, using POM121(GTX102128) antibody at 1:500 dilution.
Antigen Retrieval: Trilogy™ (EDTA based, pH 8.0) buffer, 15min

3 / 5
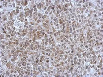
Anti-POM121 antibody [N2N3] used in IHC (Paraffin sections) (IHC-P). GTX102128
GTX102128 IHC-P Image

Immunohistochemical analysis of paraffin-embedded C2C12 xenograft, using POM121(GTX102128) antibody at 1:500 dilution.
Antigen Retrieval: Trilogy™ (EDTA based, pH 8.0) buffer, 15min

4 / 5
Anti-POM121 antibody [N2N3] used in Western Blot (WB). GTX102128
GTX102128 WB Image

The data was published in the journal Acta Neuropathol in 2016. PMID: 26839082

5 / 5
Anti-POM121 antibody [N2N3] used in Immunocytochemistry/ Immunofluorescence (ICC/IF). GTX102128
Anti-POM121 antibody [N2N3] used in Western Blot (WB). GTX102128
Anti-POM121 antibody [N2N3] used in IHC (Paraffin sections) (IHC-P). GTX102128
Anti-POM121 antibody [N2N3] used in IHC (Paraffin sections) (IHC-P). GTX102128
Anti-POM121 antibody [N2N3] used in Western Blot (WB). GTX102128
  • Host
    Rabbit
  • Clonality
    Polyclonal
  • Isotype
    IgG
  • Applications
    WB ICC/IF IHC-P
  • Reactivity
    Human, Mouse
See all POM121 products