PSD95 antibody

Cat. No. GTX133091
Cat. No.  GTX133091
Anti-PSD95 antibody used in IHC (Frozen sections) (IHC-Fr). GTX133091
GTX133091 IHC-Fr Image

PSD95 antibody detects PSD95 protein expression by immunohistochemical analysis.
Sample: Frozen sectioned E13.5 Rat brain.
Green: PSD95 protein stained by PSD95 antibody (GTX133091) diluted at 1:250.
Red: beta Tubulin 3/ TUJ1, a mature neuron marker, stained by beta Tubulin 3/ TUJ1 antibody [GT11710] (GTX631836) diluted at 1:500.
Blue: Fluoroshield with DAPI (GTX30920).

1 / 8
Anti-PSD95 antibody used in Western Blot (WB). GTX133091
GTX133091 WB Image

Human tissue extract (30 μg) was separated by 7.5% SDS-PAGE, and the membrane was blotted with PSD95 antibody (GTX133091) diluted at 1:1000. The HRP-conjugated anti-rabbit IgG antibody (GTX213110-01) was used to detect the primary antibody.

2 / 8
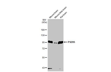
Anti-PSD95 antibody used in Western Blot (WB). GTX133091
GTX133091 WB Image

Various tissue extracts (50 μg) were separated by 7.5% SDS-PAGE, and the membrane was blotted with PSD95 antibody (GTX133091) diluted at 1:1000. The HRP-conjugated anti-rabbit IgG antibody (GTX213110-01) was used to detect the primary antibody.

3 / 8
Anti-PSD95 antibody used in Immunocytochemistry/ Immunofluorescence (ICC/IF). GTX133091
GTX133091 ICC/IF Image

PSD95 antibody detects PSD95 protein by immunofluorescent analysis.
Sample: DIV14 rat E18 primary cortical neurons were fixed in 4% paraformaldehyde at RT for 15 min.
Green: PSD95 protein stained by PSD95 antibody (GTX133091) diluted at 1:500.
Red: beta Tubulin 3/ Tuj1, stained by beta Tubulin 3/ Tuj1 antibody [GT1338] (GTX631831) diluted at 1:500.
Blue: Fluoroshield with DAPI (GTX30920).

4 / 8
Anti-PSD95 antibody used in IHC (Paraffin sections) (IHC-P). GTX133091
GTX133091 IHC-P Image

PSD95 antibody detects PSD95 protein expression by immunohistochemical analysis.
Sample: Paraffin-Embedded adult mouse retina.
Green: PSD95 protein stained by PSD95 antibody (GTX133091) diluted at 1:250.
Red: beta Tubulin 3/ TUJ1, stained by beta Tubulin 3/ TUJ1 antibody [GT11710] (GTX631836) diluted at 1:250.
Blue: Fluoroshield with DAPI (GTX30920).

Antigen Retrieval: Citrate buffer, pH 6.0, 15 min

5 / 8
Anti-PSD95 antibody used in Western Blot (WB). GTX133091
GTX133091 WB Image

Mouse tissue extract (50 μg) was separated by 7.5% SDS-PAGE, and the membrane was blotted with PSD95 antibody (GTX133091) diluted at 1:1000.

6 / 8
Anti-PSD95 antibody used in IHC (Paraffin sections) (IHC-P). GTX133091
GTX133091 IHC-P Image

PSD95 antibody detects PSD95 protein at nucleus by immunohistochemical analysis.
Sample: Paraffin-embedded mouse eye.
Green: PSD95 stained by PSD95 antibody (GTX133091) diluted at 1:500.
Red: beta Tubulin 3/ Tuj1 , a Cytoskeleton marker, stained by beta Tubulin 3/ Tuj1 antibody [GT11710] (GTX631836) diluted at 1:500.
Blue: Fluoroshield with DAPI (GTX30920).
Antigen Retrieval: Citrate buffer, pH 6.0, 15 min

7 / 8
Anti-PSD95 antibody used in Western Blot (WB). GTX133091
GTX133091 WB Image

The data was published in the 2022 in Front Aging Neurosci. PMID: 35264943

8 / 8
Anti-PSD95 antibody used in IHC (Frozen sections) (IHC-Fr). GTX133091
Anti-PSD95 antibody used in Western Blot (WB). GTX133091
Anti-PSD95 antibody used in Western Blot (WB). GTX133091
Anti-PSD95 antibody used in Immunocytochemistry/ Immunofluorescence (ICC/IF). GTX133091
Anti-PSD95 antibody used in IHC (Paraffin sections) (IHC-P). GTX133091
Anti-PSD95 antibody used in Western Blot (WB). GTX133091
Anti-PSD95 antibody used in IHC (Paraffin sections) (IHC-P). GTX133091
Anti-PSD95 antibody used in Western Blot (WB). GTX133091
  • Host
    Rabbit
  • Clonality
    Polyclonal
  • Isotype
    IgG
  • Applications
    WB ICC/IF IHC-P IHC-Fr
  • Reactivity
    Human, Mouse, Rat
Summary
PSD95 antibody recognizes postsynaptic density protein 95, an ~80 kDa multidomain scaffold protein enriched at neuron postsynaptic excitatory membranes. It belongs to the membrane-associated guanylate kinase (MAGUK) family, which also contains PSD-93, SAP97 and SAP102. PSD95 is one of the most abundant proteins in the PSD, and functions in synapse maturation, strength, and plasticity.
See all PSD95 products