Pancreatic Polypeptide antibody [GT6512]

Cat. No. GTX628832
Cat. No.  GTX628832
Anti-Pancreatic Polypeptide antibody [GT6512] used in Immunocytochemistry/ Immunofluorescence (ICC/IF). GTX628832
GTX628832 ICC/IF Image

Pancreatic Polypeptide antibody [GT6512] detects Pancreatic Polypeptide protein at cytoplasm by immunofluorescent analysis.
Sample: Mock and transfected 293T cells were fixed in 4% paraformaldehyde at RT for 15 min.
Green: Pancreatic Polypeptide stained by Pancreatic Polypeptide antibody [GT6512] (GTX628832) diluted at 1:2000.
Blue: Hoechst 33342 staining.
Scale bar= 10μm.

1 / 3
Anti-Pancreatic Polypeptide antibody [GT6512] used in Western Blot (WB). GTX628832
GTX628832 WB Image

Pancreatic polypeptide antibody [GT6512] detects PPY protein by Western blot analysis.
A. 30 ug 293T whole cell lysate/extract
B. 30 ug whole cell lysate/extract of human PPY-transfected 293T cells
15 % SDS-PAGE
Pancreatic polypeptide antibody [GT6512] (GTX628832) dilution: 1:5000

2 / 3
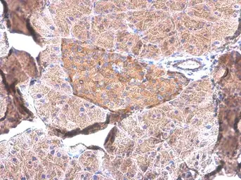
Anti-Pancreatic Polypeptide antibody [GT6512] used in IHC (Paraffin sections) (IHC-P). GTX628832
GTX628832 IHC-P Image

Pancreatic Polypeptide antibody [GT6512] detects Pancreatic Polypeptide protein at cytoplasm by immunohistochemical analysis.
Sample: Paraffin-embedded mouse pancreas.
Pancreatic Polypeptide stained by Pancreatic Polypeptide antibody [GT6512] (GTX628832) diluted at 1:500.
Antigen Retrieval: Citrate buffer, pH 6.0, 15 min

3 / 3
Anti-Pancreatic Polypeptide antibody [GT6512] used in Immunocytochemistry/ Immunofluorescence (ICC/IF). GTX628832
Anti-Pancreatic Polypeptide antibody [GT6512] used in Western Blot (WB). GTX628832
Anti-Pancreatic Polypeptide antibody [GT6512] used in IHC (Paraffin sections) (IHC-P). GTX628832
  • Host
    Mouse
  • Clonality
    Monoclonal
  • Clone Name
    GT6512
  • Isotype
    IgG2b
  • Applications
    WB ICC/IF IHC-P
  • Reactivity
    Human, Mouse
See all Pancreatic Polypeptide products