Paxillin antibody

Cat. No. GTX125891
Cat. No.  GTX125891
Anti-Paxillin antibody used in Immunocytochemistry/ Immunofluorescence (ICC/IF). GTX125891
GTX125891 ICC/IF Image

Paxillin antibody detects Paxillin protein at cytoskeleton by immunofluorescent analysis.
Sample: MDA-MB-231 cells were fixed in 4% paraformaldehyde at RT for 15 min.
Green: Paxillin protein stained by Paxillin antibody (GTX125891) diluted at 1:100.
Red: phalloidin staining.
Courtesy of a researcher who prefers to be anonymous.

1 / 10
Anti-Paxillin antibody used in Western Blot (WB). GTX125891
GTX125891 WB Image

Wild-type (WT) and Paxillin knockout (KO) HeLa cell extracts (30 μg) were separated by 7.5% SDS-PAGE, and the membrane was blotted with Paxillin antibody (GTX125891) diluted at 1:10000. The HRP-conjugated anti-rabbit IgG antibody (GTX213110-01) was used to detect the primary antibody.

2 / 10
Anti-Paxillin antibody used in Western Blot (WB). GTX125891
GTX125891 WB Image

Non-transfected (–) and transfected (+) HeLa whole cell extracts (30 μg) were separated by 7.5% SDS-PAGE, and the membrane was blotted with Paxillin antibody (GTX125891) diluted at 1:6000. The HRP-conjugated anti-rabbit IgG antibody (GTX213110-01) was used to detect the primary antibody.

3 / 10
Anti-Paxillin antibody used in Western Blot (WB). GTX125891
GTX125891 WB Image

Rat tissue extract (50 μg) was separated by 7.5% SDS-PAGE, and the membrane was blotted with Paxillin antibody (GTX125891) diluted at 1:1000. The HRP-conjugated anti-rabbit IgG antibody (GTX213110-01) was used to detect the primary antibody.

4 / 10
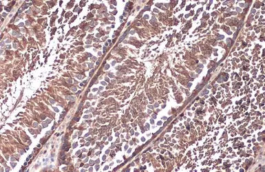
Anti-Paxillin antibody used in IHC (Paraffin sections) (IHC-P). GTX125891
GTX125891 IHC-P Image

Paxillin antibody detects Paxillin protein at cell membrane and cytoplasm by immunohistochemical analysis.
Sample: Paraffin-embedded mouse testis.
Paxillin stained by Paxillin antibody (GTX125891) diluted at 1:500.
Antigen Retrieval: Citrate buffer, pH 6.0, 15 min

5 / 10
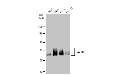
Anti-Paxillin antibody used in Western Blot (WB). GTX125891
GTX125891 WB Image

Various whole cell extracts (30 μg) were separated by 7.5% SDS-PAGE, and the membrane was blotted with Paxillin antibody (GTX125891) diluted at 1:5000. The HRP-conjugated anti-rabbit IgG antibody (GTX213110-01) was used to detect the primary antibody.

6 / 10
Anti-Paxillin antibody used in Western Blot (WB). GTX125891
GTX125891 WB Image

Paxillin antibody detects Paxillin protein by western blot analysis.
A. 1 μg 293T whole cell extract
B. 1 μg whole cell extract of GFP-human Paxillin-transfected 293T cells
7.5% SDS-PAGE
Paxillin antibody (GTX125891) dilution: 1:10000
The HRP-conjugated anti-rabbit IgG antibody (GTX213110-01) was used to detect the primary antibody.

7 / 10
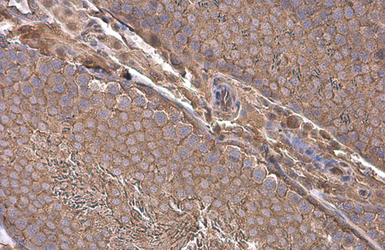
Anti-Paxillin antibody used in IHC (Paraffin sections) (IHC-P). GTX125891
GTX125891 IHC-P Image

Paxillin antibody detects Paxillin protein at cytoplasm by immunohistochemical analysis.
Sample: Paraffin-embedded rat testis.
Paxillin stained by Paxillin antibody (GTX125891) diluted at 1:500.
Antigen Retrieval: Citrate buffer, pH 6.0, 15 min

8 / 10
Anti-Paxillin antibody used in Immunoprecipitation (IP). GTX125891
GTX125891 IP Image

Paxillin antibody immunoprecipitates Paxillin protein in IP experiments.
IP samples: HeLa whole cell extract
A. Control with 2 μg of preimmune Rabbit IgG
B. Immunoprecipitation of Paxillin protein by 2 μg Paxillin antibody (GTX125891)
7.5 % SDS-PAGE
The immunoprecipitated Paxillin protein was detected by Paxillin antibody (GTX125891) diluted at 1:10000.
[EasyBlot anti-rabbit IgG (GTX221666-01) was used as a secondary reagent]

9 / 10
Anti-Paxillin antibody used in Immunocytochemistry/ Immunofluorescence (ICC/IF). GTX125891
GTX125891 ICC/IF Image

The data was published in the journal J Cell Biol in 2020.PMID: 31816055

10 / 10
Anti-Paxillin antibody used in Immunocytochemistry/ Immunofluorescence (ICC/IF). GTX125891
Anti-Paxillin antibody used in Western Blot (WB). GTX125891
Anti-Paxillin antibody used in Western Blot (WB). GTX125891
Anti-Paxillin antibody used in Western Blot (WB). GTX125891
Anti-Paxillin antibody used in IHC (Paraffin sections) (IHC-P). GTX125891
Anti-Paxillin antibody used in Western Blot (WB). GTX125891
Anti-Paxillin antibody used in Western Blot (WB). GTX125891
Anti-Paxillin antibody used in IHC (Paraffin sections) (IHC-P). GTX125891
Anti-Paxillin antibody used in Immunoprecipitation (IP). GTX125891
Anti-Paxillin antibody used in Immunocytochemistry/ Immunofluorescence (ICC/IF). GTX125891
  • Host
    Rabbit
  • Clonality
    Polyclonal
  • Isotype
    IgG
  • Applications
    WB ICC/IF IHC-P IP
  • Reactivity
    Human, Mouse, Rat
See all Paxillin products