Porcine circovirus type 2 / PCV2 Capsid antibody

Cat. No. GTX128120
Cat. No.  GTX128120
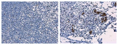
Anti-Porcine circovirus type 2 / PCV2 Capsid antibody used in IHC (Paraffin sections) (IHC-P). GTX128120
GTX128120 IHC-P Image

Porcine circovirus type 2 / PCV2 Capsid antibody detects Porcine circovirus type 2 / PCV2 Capsid protein by immunohistochemical analysis.
Sample: Paraffin-embedded PCV2 uninfected (left) and infected (right) swine lymph node.
Porcine circovirus type 2 / PCV2 Capsid stained by Porcine circovirus type 2 / PCV2 Capsid antibody (GTX128120) diluted at 1:1000.
Antigen Retrieval: TrilogyTM (EDTA based) buffer, 15min

1 / 3
Anti-Porcine circovirus type 2 / PCV2 Capsid antibody used in Western Blot (WB). GTX128120
GTX128120 WB Image

Lysate (30 μg) from Sf21 cells, expressing recombinant PCV2 protein by baculovirus system, was separated by 12% SDS-PAGE, and the membrane was blotted with Porcine circovirus type 2 Capsid antibody (GTX128120) diluted at 1:1000. The HRP-conjugated anti-rabbit IgG antibody (GTX213110-01) was used to detect the primary antibody. (The lysate was provided courtesy of Dr. Wu lab at Chung Yuan Christian University, Department of Bioscience Technology.)

2 / 3
Anti-Porcine circovirus type 2 / PCV2 Capsid antibody used in IHC (Paraffin sections) (IHC-P). GTX128120
GTX128120 IHC-P Image

Porcine circovirus type 2 Capsid antibody detects PCV2 on lymph node by immunohistochemical analysis. Sample: Paraffin-embedded PCV2 free (left) and infected (right) swine lymph node. Porcine circovirus type 2 Capsid antibody (GTX128120) dilution: 1:500.
Antigen Retrieval: Citrate buffer, pH 6.0, 15 min

3 / 3
Anti-Porcine circovirus type 2 / PCV2 Capsid antibody used in IHC (Paraffin sections) (IHC-P). GTX128120
Anti-Porcine circovirus type 2 / PCV2 Capsid antibody used in Western Blot (WB). GTX128120
Anti-Porcine circovirus type 2 / PCV2 Capsid antibody used in IHC (Paraffin sections) (IHC-P). GTX128120
  • Host
    Rabbit
  • Clonality
    Polyclonal
  • Isotype
    IgG
  • Applications
    WB IHC-P IHC
  • Reactivity
    Porcine circovirus type 2
See all Porcine circovirus type 2 / PCV2 Capsid products