Progesterone Receptor antibody [N1], N-term

Cat. No. GTX116051
Cat. No.  GTX116051
Anti-Progesterone Receptor antibody [N1], N-term used in IHC (Paraffin sections) (IHC-P). GTX116051
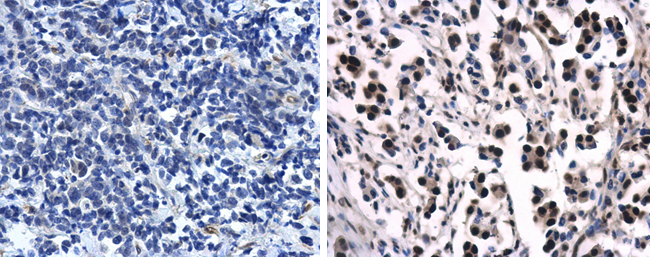
GTX116051 IHC-P Image

Immunohistochemical analysis of paraffin-embedded A549 xenograft, using Progesterone receptor(GTX116051) antibody at 1:100 dilution.
Antigen Retrieval: Trilogy™ (EDTA based, pH 8.0) buffer, 15min

1 / 3
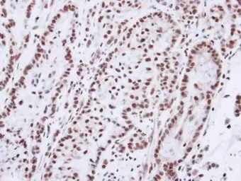
Anti-Progesterone Receptor antibody [N1], N-term used in Immunocytochemistry/ Immunofluorescence (ICC/IF). GTX116051
GTX116051 ICC/IF Image

Immunofluorescence analysis of paraformaldehyde-fixed A549, using Progesterone receptor(GTX116051) antibody at 1:200 dilution.

2 / 3
Anti-Progesterone Receptor antibody [N1], N-term used in IHC (Paraffin sections) (IHC-P). GTX116051
GTX116051 IHC-P Image

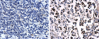
Immunohistochemical analysis of paraffin-embedded human breast cancer using Progesterone Receptor antibody (GTX116051) diluted at 1:500.
Representative data showing negative staining in PR-negative breast cancer (left) and nuclear staining in PR-positive breast cancer (right).

Antigen Retrieval: Citrate buffer, pH 6.0, 15 min

3 / 3
Anti-Progesterone Receptor antibody [N1], N-term used in IHC (Paraffin sections) (IHC-P). GTX116051
Anti-Progesterone Receptor antibody [N1], N-term used in Immunocytochemistry/ Immunofluorescence (ICC/IF). GTX116051
Anti-Progesterone Receptor antibody [N1], N-term used in IHC (Paraffin sections) (IHC-P). GTX116051
  • Host
    Rabbit
  • Clonality
    Polyclonal
  • Isotype
    IgG
  • Applications
    ICC/IF IHC-P
  • Reactivity
    Human
Summary
The progesterone receptor (PR) is a well-known estrogen receptor (ER) target gene that is expressed in over two-thirds of ER-positive breast cancers. PR protein has a predicted molecular weight of 99kDa. It acts as a transcriptional regulator and activator of signal transduction pathways (i.e., MAPK, PI3K/Akt, and c-Src) that can drive proliferative signaling in breast cancer cells.
See all Progesterone Receptor products