Prohibitin antibody

Cat. No. GTX101105
Cat. No.  GTX101105
Anti-Prohibitin antibody used in Western Blot (WB). GTX101105
GTX101105 WB Image

Non-transfected (–) and transfected (+) 293T whole cell extracts (30 μg) were separated by 12% SDS-PAGE, and the membrane was blotted with Prohibitin antibody (GTX101105) diluted at 1:2000. The HRP-conjugated anti-rabbit IgG antibody (GTX213110-01) was used to detect the primary antibody.

1 / 14
Anti-Prohibitin antibody used in Immunoprecipitation (IP). GTX101105
GTX101105 IP Image

Immunoprecipitation of Prohibitin protein from 293T whole cell extracts using 5 μg of Prohibitin antibody (GTX101105).
Western blot analysis was performed using Prohibitin antibody (GTX101105).
EasyBlot anti-Rabbit IgG (GTX221666-01) was used as a secondary reagent.

2 / 14
Anti-Prohibitin antibody used in Immunocytochemistry/ Immunofluorescence (ICC/IF). GTX101105
GTX101105 ICC/IF Image

Confocal immunofluorescence analysis (Olympus FV10i) of methanol-fixed HeLa, using Prohibitin(GTX101105) antibody (Green) at 1:500 dilution. Alpha-tubulin filaments were labeled with GTX11304 (Red) at 1:2000.

3 / 14
Anti-Prohibitin antibody used in Immunocytochemistry/ Immunofluorescence (ICC/IF). GTX101105
GTX101105 ICC/IF Image

Prohibitin antibody detects Prohibitin protein at mitochondria by immunofluorescent analysis.
Sample: HeLa cells were fixed in 4% paraformaldehyde at RT for 15 min.
Green: Prohibitin protein stained by Prohibitin antibody (GTX101105) diluted at 1:500.
Red: Phalloidin, a cytoskeleton marker, diluted at 1:100.
Blue: Hoechst 33342 staining.

4 / 14
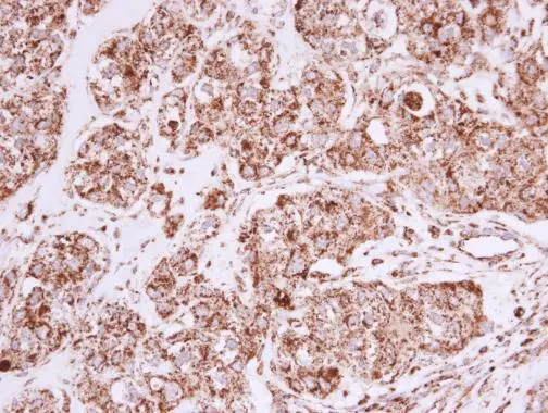
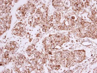
Anti-Prohibitin antibody used in IHC (Paraffin sections) (IHC-P). GTX101105
GTX101105 IHC-P Image

Immunohistochemical analysis of paraffin-embedded OVCAR3 xenograft, using Prohibitin(GTX101105) antibody at 1:500 dilution.
Antigen Retrieval: Trilogy™ (EDTA based, pH 8.0) buffer, 15min

5 / 14
Anti-Prohibitin antibody used in Western Blot (WB). GTX101105
GTX101105 WB Image

Sample (30 μg of whole cell lysate)
A:NIH-3T3
12% SDS PAGE
GTX101105 diluted at 1:1000
The HRP-conjugated anti-rabbit IgG antibody (GTX213110-01) was used to detect the primary antibody.

6 / 14
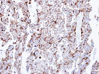
Anti-Prohibitin antibody used in IHC (Paraffin sections) (IHC-P). GTX101105
GTX101105 IHC-P Image

Prohibitin antibody detects Prohibitin protein at mitochondria in human breast carcinoma by immunohistochemical analysis.
Sample: Paraffin-embedded human breast carcinoma.
Prohibitin antibody (GTX101105) diluted at 1:500.

Antigen Retrieval: Trilogy™ (EDTA based, pH 8.0) buffer, 15min

7 / 14
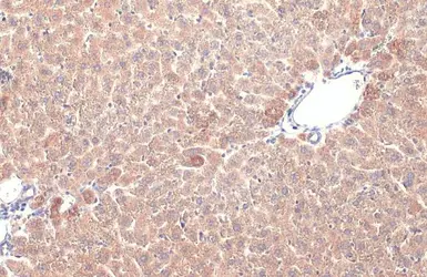
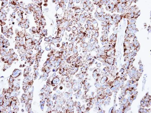
Anti-Prohibitin antibody used in IHC (Paraffin sections) (IHC-P). GTX101105
GTX101105 IHC-P Image

Prohibitin antibody detects Prohibitin protein at mitochondria by immunohistochemical analysis.
Sample: Paraffin-embedded mouse liver.
Prohibitin stained by Prohibitin antibody (GTX101105) diluted at 1:500.
Antigen Retrieval: Citrate buffer, pH 6.0, 15 min

8 / 14
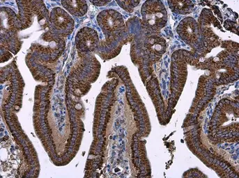
Anti-Prohibitin antibody used in IHC (Paraffin sections) (IHC-P). GTX101105
GTX101105 IHC-P Image

Prohibitin antibody detects Prohibitin protein at cytoplasm in mouse intestine by immunohistochemical analysis.
Sample: Paraffin-embedded mouse intestine.
Prohibitin antibody (GTX101105) diluted at 1:500.

Antigen Retrieval: Citrate buffer, pH 6.0, 15 min

9 / 14
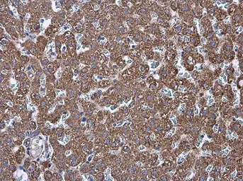
Anti-Prohibitin antibody used in IHC (Paraffin sections) (IHC-P). GTX101105
GTX101105 IHC-P Image

Prohibitin antibody detects Prohibitin protein at cytoplasm in rat liver by immunohistochemical analysis.
Sample: Paraffin-embedded rat liver.
Prohibitin antibody (GTX101105) diluted at 1:500.

Antigen Retrieval: Citrate buffer, pH 6.0, 15 min

10 / 14
Anti-Prohibitin antibody used in Western Blot (WB). GTX101105
GTX101105 WB Image

Prohibitin antibody detects PHB protein by western blot analysis.
A. 30 μg PC-12 whole cell lysate/extract
12% SDS-PAGE
Prohibitin antibody (GTX101105) dilution: 1:1000
The HRP-conjugated anti-rabbit IgG antibody (GTX213110-01) was used to detect the primary antibody.

11 / 14
Anti-Prohibitin antibody used in Western Blot (WB). GTX101105
GTX101105 WB Image

Various whole cell extracts (30 μg) were separated by 12% SDS-PAGE, and the membrane was blotted with Prohibitin antibody (GTX101105) diluted at 1:1000. The HRP-conjugated anti-rabbit IgG antibody (GTX213110-01) was used to detect the primary antibody.

12 / 14
Anti-Prohibitin antibody used in Western Blot (WB). GTX101105
GTX101105 WB Image

The data was published in the journal J Biomed Sci in 2020.PMID: 32169072

13 / 14
Anti-Prohibitin antibody used in Western Blot (WB). GTX101105
GTX101105 WB Image

The data was published in the journal J Biomed Sci in 2020.PMID: 32169072

14 / 14
Anti-Prohibitin antibody used in Western Blot (WB). GTX101105
Anti-Prohibitin antibody used in Immunoprecipitation (IP). GTX101105
Anti-Prohibitin antibody used in Immunocytochemistry/ Immunofluorescence (ICC/IF). GTX101105
Anti-Prohibitin antibody used in Immunocytochemistry/ Immunofluorescence (ICC/IF). GTX101105
Anti-Prohibitin antibody used in IHC (Paraffin sections) (IHC-P). GTX101105
Anti-Prohibitin antibody used in Western Blot (WB). GTX101105
Anti-Prohibitin antibody used in IHC (Paraffin sections) (IHC-P). GTX101105
Anti-Prohibitin antibody used in IHC (Paraffin sections) (IHC-P). GTX101105
Anti-Prohibitin antibody used in IHC (Paraffin sections) (IHC-P). GTX101105
Anti-Prohibitin antibody used in IHC (Paraffin sections) (IHC-P). GTX101105
Anti-Prohibitin antibody used in Western Blot (WB). GTX101105
Anti-Prohibitin antibody used in Western Blot (WB). GTX101105
Anti-Prohibitin antibody used in Western Blot (WB). GTX101105
Anti-Prohibitin antibody used in Western Blot (WB). GTX101105
  • Host
    Rabbit
  • Clonality
    Polyclonal
  • Isotype
    IgG
  • Applications
    WB ICC/IF IHC-P IP
  • Reactivity
    Human, Mouse, Rat
See all Prohibitin products