Pyruvate Carboxylase antibody

Cat. No. GTX132002
Cat. No.  GTX132002
Anti-Pyruvate Carboxylase antibody used in Immunocytochemistry/ Immunofluorescence (ICC/IF). GTX132002
GTX132002 ICC/IF Image

PCB antibody detects PCB protein at mitochondria by immunofluorescent analysis.
Sample: HeLa cells were fixed in 2% paraformaldehyde/culture medium at RT for 30 min.
Green: PCB protein stained by PCB antibody (GTX132002) diluted at 1:500.
Blue: Hoechst 33342 staining.
Scale bar = 10 μm.

1 / 4
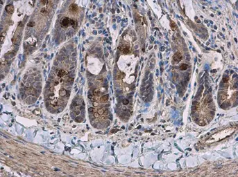
Anti-Pyruvate Carboxylase antibody used in IHC (Paraffin sections) (IHC-P). GTX132002
GTX132002 IHC-P Image

PCB antibody detects PCB protein at cytoplasm in rat duodenum by immunohistochemical analysis.
Sample: Paraffin-embedded rat duodenum.
PCB antibody (GTX132002) diluted at 1:500.

Antigen Retrieval: Citrate buffer, pH 6.0, 15 min

2 / 4
Anti-Pyruvate Carboxylase antibody used in Western Blot (WB). GTX132002
GTX132002 WB Image

PCB antibody detects PCB protein by western blot analysis. Various whole cell extracts (30 μg) were separated by 5% SDS-PAGE, and the membrane was blotted with PCB antibody (GTX132002) diluted at a dilution of 1:1000.

3 / 4
Anti-Pyruvate Carboxylase antibody used in Immunoprecipitation (IP). GTX132002
GTX132002 IP Image

Immunoprecipitation of PCB protein from HeLa whole cell extracts using 5 μg of PCB antibody (GTX132002).
Western blot analysis was performed using PCB antibody (GTX132002) diluted at 1:1000.
EasyBlot anti-Rabbit IgG (GTX221666-01) was used as a secondary reagent.

4 / 4
Anti-Pyruvate Carboxylase antibody used in Immunocytochemistry/ Immunofluorescence (ICC/IF). GTX132002
Anti-Pyruvate Carboxylase antibody used in IHC (Paraffin sections) (IHC-P). GTX132002
Anti-Pyruvate Carboxylase antibody used in Western Blot (WB). GTX132002
Anti-Pyruvate Carboxylase antibody used in Immunoprecipitation (IP). GTX132002
  • Host
    Rabbit
  • Clonality
    Polyclonal
  • Isotype
    IgG
  • Applications
    WB ICC/IF IHC-P IP RIP
  • Reactivity
    Human, Rat
See all Pyruvate Carboxylase products