Pyruvate Dehydrogenase E1 alpha antibody

Cat. No. GTX104015
Cat. No.  GTX104015
Anti-Pyruvate Dehydrogenase E1 alpha antibody used in Immunoprecipitation (IP). GTX104015
GTX104015 IP Image

Immunoprecipitation of Pyruvate Dehydrogenase E1 alpha protein from HepG2 whole cell extracts using 5 μg of Pyruvate Dehydrogenase E1 alpha antibody (GTX104015).
Western blot analysis was performed using Pyruvate Dehydrogenase E1 alpha antibody (GTX104015).
EasyBlot anti-Rabbit IgG (GTX221666-01) was used as a secondary reagent.

1 / 11
Anti-Pyruvate Dehydrogenase E1 alpha antibody used in Western Blot (WB). GTX104015
GTX104015 WB Image

Wild-type (WT) and Pyruvate Dehydrogenase E1 alpha knockout (KO) HeLa cell extracts (30 μg) were separated by 10% SDS-PAGE, and the membrane was blotted with Pyruvate Dehydrogenase E1 alpha antibody (GTX104015) diluted at 1:1000. The HRP-conjugated anti-rabbit IgG antibody (GTX213110-01) was used to detect the primary antibody.

2 / 11
Anti-Pyruvate Dehydrogenase E1 alpha antibody used in Western Blot (WB). GTX104015
GTX104015 WB Image

Various whole cell extracts (30 μg) were separated by 10% SDS-PAGE, and the membrane was blotted with Pyruvate Dehydrogenase E1 alpha antibody (GTX104015) diluted at 1:1000. The HRP-conjugated anti-rabbit IgG antibody (GTX213110-01) was used to detect the primary antibody. Corresponding RNA expression data for the same cell lines are based on Human Protein Atlas program.

3 / 11
Anti-Pyruvate Dehydrogenase E1 alpha antibody used in Western Blot (WB). GTX104015
GTX104015 WB Image

Sample (50 μg of whole cell lysate)
A: Rat brain
10% SDS PAGE
GTX104015 diluted at 1:3000
The HRP-conjugated anti-rabbit IgG antibody (GTX213110-01) was used to detect the primary antibody.

4 / 11
Anti-Pyruvate Dehydrogenase E1 alpha antibody used in Immunocytochemistry/ Immunofluorescence (ICC/IF). GTX104015
GTX104015 ICC/IF Image

Pyruvate Dehydrogenase E1 alpha antibody detects Pyruvate Dehydrogenase E1 alpha protein at mitochondria by immunofluorescent analysis.
Sample: HeLa cells were fixed in ice-cold MeOH for 5 min.
Green: Pyruvate Dehydrogenase E1 alpha stained by Pyruvate Dehydrogenase E1 alpha antibody (GTX104015) diluted at 1:2000.
Blue: Fluoroshield with DAPI (GTX30920).

5 / 11
Anti-Pyruvate Dehydrogenase E1 alpha antibody used in IHC (Paraffin sections) (IHC-P). GTX104015
GTX104015 IHC-P Image

Pyruvate Dehydrogenase E1 alpha antibody detects PDHA1 protein at cytosol on human hepatoma by immunohistochemical analysis.
Sample: Paraffin-embedded hepatoma.
Pyruvate Dehydrogenase E1 alpha antibody (GTX104015) dilution: 1:500.

Antigen Retrieval: Trilogy™ (EDTA based, pH 8.0) buffer, 15min

6 / 11
Anti-Pyruvate Dehydrogenase E1 alpha antibody used in Western Blot (WB). GTX104015
GTX104015 WB Image

Sample (20 μg of whole cell lysate)
A: mouse brain
10% SDS PAGE
GTX104015 diluted at 1:5000
The HRP-conjugated anti-rabbit IgG antibody (GTX213110-01) was used to detect the primary antibody.

7 / 11
Anti-Pyruvate Dehydrogenase E1 alpha antibody used in IHC (Paraffin sections) (IHC-P). GTX104015
GTX104015 IHC-P Image

Immunohistochemical analysis of paraffin-embedded zebrafish tissue, using Pyruvate Dehydrogenase E1 alpha antibody (GTX104015) at 1:300 dilution.

8 / 11
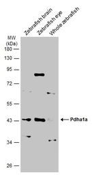
Anti-Pyruvate Dehydrogenase E1 alpha antibody used in Western Blot (WB). GTX104015
GTX104015 WB Image

Various tissue extracts (30 μg) were separated by 10% SDS-PAGE, and the membrane was blotted with Pyruvate Dehydrogenase E1 alpha antibody (GTX104015) diluted at 1:1000. The HRP-conjugated anti-rabbit IgG antibody (GTX213110-01) was used to detect the primary antibody.

9 / 11
Anti-Pyruvate Dehydrogenase E1 alpha antibody used in IHC (Whole mount) (IHC-Wm). GTX104015
GTX104015 IHC-Wm Image

Pyruvate Dehydrogenase E1 alpha antibody detects Pyruvate Dehydrogenase E1 alpha protein on whole mount zebrafish by immunohistochemical analysis.
Sample: Paraformaldehyde-fixed 1 day-post-fertilization zebrafish embryo.
Green: Pyruvate Dehydrogenase E1 alpha stained by Pyruvate Dehydrogenase E1 alpha antibody (GTX104015) diluted at 1:100.

10 / 11
Anti-Pyruvate Dehydrogenase E1 alpha antibody used in IHC (Whole mount) (IHC-Wm). GTX104015
GTX104015 IHC-Wm Image

Immunohistochemical analysis (whole mount) of zebrafish embryo, using Pyruvate Dehydrogenase E1 alpha antibody (GTX104015) at 1:200 dilution.

11 / 11
Anti-Pyruvate Dehydrogenase E1 alpha antibody used in Immunoprecipitation (IP). GTX104015
Anti-Pyruvate Dehydrogenase E1 alpha antibody used in Western Blot (WB). GTX104015
Anti-Pyruvate Dehydrogenase E1 alpha antibody used in Western Blot (WB). GTX104015
Anti-Pyruvate Dehydrogenase E1 alpha antibody used in Western Blot (WB). GTX104015
Anti-Pyruvate Dehydrogenase E1 alpha antibody used in Immunocytochemistry/ Immunofluorescence (ICC/IF). GTX104015
Anti-Pyruvate Dehydrogenase E1 alpha antibody used in IHC (Paraffin sections) (IHC-P). GTX104015
Anti-Pyruvate Dehydrogenase E1 alpha antibody used in Western Blot (WB). GTX104015
Anti-Pyruvate Dehydrogenase E1 alpha antibody used in IHC (Paraffin sections) (IHC-P). GTX104015
Anti-Pyruvate Dehydrogenase E1 alpha antibody used in Western Blot (WB). GTX104015
Anti-Pyruvate Dehydrogenase E1 alpha antibody used in IHC (Whole mount) (IHC-Wm). GTX104015
Anti-Pyruvate Dehydrogenase E1 alpha antibody used in IHC (Whole mount) (IHC-Wm). GTX104015
  • Host
    Rabbit
  • Clonality
    Polyclonal
  • Isotype
    IgG
  • Applications
    WB ICC/IF IHC-P IHC-Wm IP IHC (Free Floating)
  • Reactivity
    Human, Mouse, Rat, Zebrafish
See all Pyruvate Dehydrogenase E1 alpha products