RAB7A antibody

Cat. No. GTX132548
Cat. No.  GTX132548
Anti-RAB7A antibody used in Western Blot (WB). GTX132548
GTX132548 WB Image

Various whole cell extracts (30 μg) were separated by 12% SDS-PAGE, and the membrane was blotted with RAB7A antibody (GTX132548) diluted at 1:1000 and competitor's antibody (SC-10767) diluted by 1:200.

1 / 8
Anti-RAB7A antibody used in Western Blot (WB). GTX132548
GTX132548 WB Image

Non-transfected (–) and transfected (+) 293T whole cell extracts (50 μg) were separated by 12% SDS-PAGE, and the membrane was blotted with RAB7A antibody (GTX132548) diluted at 1:1000. The HRP-conjugated anti-rabbit IgG antibody (GTX213110-01) was used to detect the primary antibody, and the signal was developed with Trident ECL plus-Enhanced.

2 / 8
Anti-RAB7A antibody used in Immunocytochemistry/ Immunofluorescence (ICC/IF). GTX132548
GTX132548 ICC/IF Image

Rab7A antibody detects Rab7A protein at cytoplasm by immunofluorescent analysis.
Sample: A431 cells were fixed in 4% paraformaldehyde at RT for 15 min.
Green: Rab7A protein stained by Rab7A antibody (GTX132548) diluted at 1:500.
Blue: Hoechst 33342 staining.

3 / 8
Anti-RAB7A antibody used in Immunocytochemistry/ Immunofluorescence (ICC/IF). GTX132548
GTX132548 ICC/IF Image

RAB7A antibody detects RAB7A protein by immunofluorescent analysis.
Sample: DIV9 rat E18 primary cortical neuron cells were fixed in 4% paraformaldehyde at RT for 15 min.
Green: RAB7A stained by RAB7A antibody (GTX132548) diluted at 1:500.
Red: beta Tubulin 3/ Tuj1, stained by beta Tubulin 3/ Tuj1 antibody [GT1338] (GTX631831) diluted at 1:500.
Blue: Fluoroshield with DAPI (GTX30920).

4 / 8
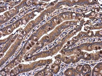
Anti-RAB7A antibody used in IHC (Paraffin sections) (IHC-P). GTX132548
GTX132548 IHC-P Image

Rab7 antibody detects Rab7 protein at cytoplasm in rat intestine by immunohistochemical analysis.
Sample: Paraffin-embedded rat intestine.
Rab7 antibody (GTX132548) diluted at 1:500.

Antigen Retrieval: Citrate buffer, pH 6.0, 15 min

5 / 8
Anti-RAB7A antibody used in Western Blot (WB). GTX132548
GTX132548 WB Image

Various whole cell extracts (30 μg) were separated by 12% SDS-PAGE, and the membrane was blotted with Rab7 antibody (GTX132548) diluted at 1:1000.

6 / 8
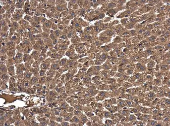
Anti-RAB7A antibody used in IHC (Paraffin sections) (IHC-P). GTX132548
GTX132548 IHC-P Image

Rab7 antibody detects Rab7 protein at cytoplasm in mouse liver by immunohistochemical analysis.
Sample: Paraffin-embedded mouse liver.
Rab7 antibody (GTX132548) diluted at 1:500.

Antigen Retrieval: Citrate buffer, pH 6.0, 15 min

7 / 8
Anti-RAB7A antibody used in Western Blot (WB). GTX132548
GTX132548 WB Image

Non-transfected (–) and transfected (+) 293T whole cell extracts (30 μg) were separated by 12% SDS-PAGE, and the membrane was blotted with RAB7A antibody (GTX132548) diluted at 1:5000. The HRP-conjugated anti-rabbit IgG antibody (GTX213110-01) was used to detect the primary antibody.

8 / 8
Anti-RAB7A antibody used in Western Blot (WB). GTX132548
Anti-RAB7A antibody used in Western Blot (WB). GTX132548
Anti-RAB7A antibody used in Immunocytochemistry/ Immunofluorescence (ICC/IF). GTX132548
Anti-RAB7A antibody used in Immunocytochemistry/ Immunofluorescence (ICC/IF). GTX132548
Anti-RAB7A antibody used in IHC (Paraffin sections) (IHC-P). GTX132548
Anti-RAB7A antibody used in Western Blot (WB). GTX132548
Anti-RAB7A antibody used in IHC (Paraffin sections) (IHC-P). GTX132548
Anti-RAB7A antibody used in Western Blot (WB). GTX132548
  • Host
    Rabbit
  • Clonality
    Polyclonal
  • Isotype
    IgG
  • Applications
    WB ICC/IF IHC-P
  • Reactivity
    Human, Mouse, Rat
See all RAB7A products