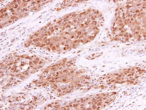
RPA70 antibody [C1C3]
Cat. No. GTX108749
Cat. No. GTX108749
-
HostRabbit
-
ClonalityPolyclonal
-
IsotypeIgG
-
ApplicationsWB ICC/IF IHC-P IP
-
ReactivityHuman, Mouse