RPL4 antibody

Cat. No. GTX112184
Cat. No.  GTX112184
Anti-RPL4 antibody used in Western Blot (WB). GTX112184
GTX112184 WB Image

Various whole cell extracts (30 μg) were separated by 7.5% SDS-PAGE, and the membrane was blotted with RPL4 antibody (GTX112184) diluted at 1:1000. The HRP-conjugated anti-rabbit IgG antibody (GTX213110-01) was used to detect the primary antibody.

1 / 6
Anti-RPL4 antibody used in Western Blot (WB). GTX112184
GTX112184 WB Image

Various whole cell extracts (30 μg) were separated by 10% SDS-PAGE, and the membrane was blotted with RPL4 antibody (GTX112184) diluted at 1:1000. The HRP-conjugated anti-rabbit IgG antibody (GTX213110-01) was used to detect the primary antibody.

2 / 6
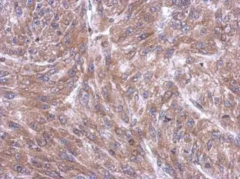
Anti-RPL4 antibody used in IHC (Paraffin sections) (IHC-P). GTX112184
GTX112184 IHC-P Image

Immunohistochemical analysis of paraffin-embedded U87 xenograft, using RPL4(GTX112184) antibody at 1:500 dilution.
Antigen Retrieval: Trilogy™ (EDTA based, pH 8.0) buffer, 15min

3 / 6
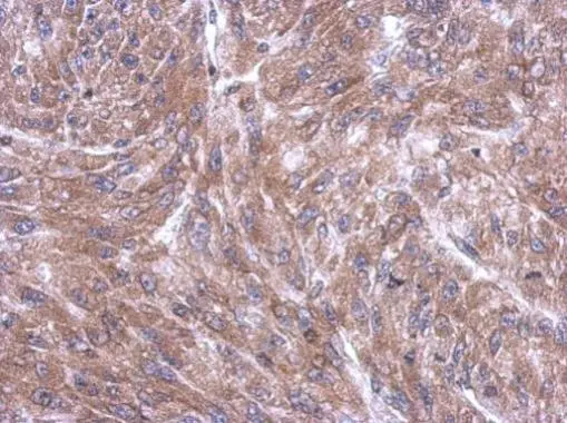
Anti-RPL4 antibody used in IHC (Paraffin sections) (IHC-P). GTX112184
GTX112184 IHC-P Image

RPL4 antibody detects RPL4 protein at cytosol on mouse colon by immunohistochemical analysis.
Sample: Paraffin-embedded mouse colon.
RPL4 antibody (GTX112184) dilution: 1:500.

Antigen Retrieval: Trilogy™ (EDTA based, pH 8.0) buffer, 15min

4 / 6
Anti-RPL4 antibody used in IHC (Paraffin sections) (IHC-P). GTX112184
GTX112184 IHC-P Image

RPL4 antibody detects RPL4 protein at cytosol on mouse pancreas by immunohistochemical analysis.
Sample: Paraffin-embedded mouse pancreas.
RPL4 antibody (GTX112184) dilution: 1:500.

Antigen Retrieval: Trilogy™ (EDTA based, pH 8.0) buffer, 15min

5 / 6
Anti-RPL4 antibody used in Immunocytochemistry/ Immunofluorescence (ICC/IF). GTX112184
GTX112184 ICC/IF Image

RPL4 antibody detects RPL4 protein at cytoplasm by immunofluorescent analysis.
Sample: HepG2 cells were fixed in ice-cold MeOH for 5 min.
Green: RPL4 protein stained by RPL4 antibody (GTX112184) diluted at 1:500.
Blue: Hoechst 33342 staining.

6 / 6
Anti-RPL4 antibody used in Western Blot (WB). GTX112184
Anti-RPL4 antibody used in Western Blot (WB). GTX112184
Anti-RPL4 antibody used in IHC (Paraffin sections) (IHC-P). GTX112184
Anti-RPL4 antibody used in IHC (Paraffin sections) (IHC-P). GTX112184
Anti-RPL4 antibody used in IHC (Paraffin sections) (IHC-P). GTX112184
Anti-RPL4 antibody used in Immunocytochemistry/ Immunofluorescence (ICC/IF). GTX112184
  • Host
    Rabbit
  • Clonality
    Polyclonal
  • Isotype
    IgG
  • Applications
    WB ICC/IF IHC-P
  • Reactivity
    Human, Mouse, Rat
See all RPL4 products