RPS6 antibody

Cat. No. GTX113542
Cat. No.  GTX113542
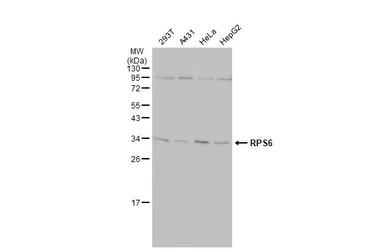
Anti-RPS6 antibody used in Western Blot (WB). GTX113542
GTX113542 WB Image

Various whole cell extracts (30 μg) were separated by 12% SDS-PAGE, and the membrane was blotted with RPS6 antibody (GTX113542) diluted at 1:500. The HRP-conjugated anti-rabbit IgG antibody (GTX213110-01) was used to detect the primary antibody.

1 / 6
Anti-RPS6 antibody used in Immunocytochemistry/ Immunofluorescence (ICC/IF). GTX113542
GTX113542 ICC/IF Image

Confocal immunofluorescence analysis (Olympus FV10i) of paraformaldehyde-fixed A431, using RPS6(GTX113542) antibody (Green) at 1:500 dilution. Alpha-tubulin filaments were labeled with GTX11304 (Red) at 1:500.

2 / 6
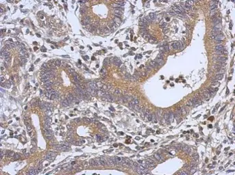
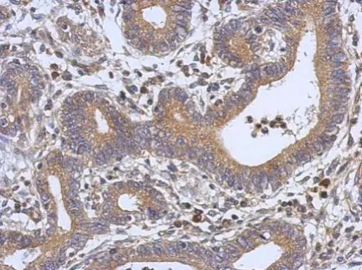
Anti-RPS6 antibody used in IHC (Paraffin sections) (IHC-P). GTX113542
GTX113542 IHC-P Image

Immunohistochemical analysis of paraffin-embedded human colon carcinoma, using RPS6(GTX113542) antibody at 1:500 dilution.
Antigen Retrieval: Trilogy™ (EDTA based, pH 8.0) buffer, 15min

3 / 6
Anti-RPS6 antibody used in Western Blot (WB). GTX113542
GTX113542 WB Image

Sample (50 μg of whole cell lysate)
A: mouse brain
12% SDS PAGE
GTX113542 diluted at 1:500
The HRP-conjugated anti-rabbit IgG antibody (GTX213110-01) was used to detect the primary antibody.

4 / 6
Anti-RPS6 antibody used in Western Blot (WB). GTX113542
GTX113542 WB Image

Various whole cell extracts (30 μg) were separated by 12% SDS-PAGE, and the membrane was blotted with RPS6 antibody (GTX113542) diluted at 1:500. The HRP-conjugated anti-rabbit IgG antibody (GTX213110-01) was used to detect the primary antibody.

5 / 6
Anti-RPS6 antibody used in Immunocytochemistry/ Immunofluorescence (ICC/IF). GTX113542
GTX113542 ICC/IF Image

RPS6 antibody detects RPS6 protein at cytoplasm and nucleus by immunofluorescent analysis.
Sample: HeLa cells were fixed in 4% paraformaldehyde at RT for 15 min.
Green: RPS6 stained by RPS6 antibody (GTX113542) diluted at 1:500.
Blue: Hoechst 33342 staining.

6 / 6
Anti-RPS6 antibody used in Western Blot (WB). GTX113542
Anti-RPS6 antibody used in Immunocytochemistry/ Immunofluorescence (ICC/IF). GTX113542
Anti-RPS6 antibody used in IHC (Paraffin sections) (IHC-P). GTX113542
Anti-RPS6 antibody used in Western Blot (WB). GTX113542
Anti-RPS6 antibody used in Western Blot (WB). GTX113542
Anti-RPS6 antibody used in Immunocytochemistry/ Immunofluorescence (ICC/IF). GTX113542
  • Host
    Rabbit
  • Clonality
    Polyclonal
  • Isotype
    IgG
  • Applications
    WB ICC/IF IHC-P IHC-Wm
  • Reactivity
    Human, Mouse, Zebrafish
See all RPS6 products