SARS-CoV-2 (COVID-19) Spike RBD antibody [HL257]

Cat. No. GTX635692
Cat. No.  GTX635692
Anti-SARS-CoV-2 (COVID-19) Spike RBD antibody [HL257] used in IHC (Paraffin sections) (IHC-P). GTX635692
GTX635692 IHC-P Image

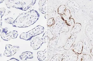
SARS-CoV-2 (COVID-19) Spike RBD antibody [HL257] detects SARS-CoV-2 (COVID-19) Spike RBD protein by immunohistochemical analysis.
Sample: Paraffin-embedded non-infected (left) and infected (right) human placenta.
SARS-CoV-2 (COVID-19) Spike RBD stained by SARS-CoV-2 (COVID-19) Spike RBD antibody [HL257] (GTX635692) diluted at 1:500.
Antigen Retrieval: Citrate buffer, pH 6.0, 20 min

The IHC-P was performed by HISTOWIZ.

1 / 23
Anti-SARS-CoV-2 (COVID-19) Spike RBD antibody [HL257] used in Western Blot (WB). GTX635692
GTX635692 WB Image

SARS-CoV-2 (COVID-19) Spike (ECD) Protein, BA.2 / Omicron variant, His tag (1 μg, GTX137037-pro) were separated by 12% SDS-PAGE, and the membrane was blotted with SARS-CoV-2 (COVID-19) Spike RBD antibody [HL257] (GTX635692) diluted at 1:5000. The HRP-conjugated anti-rabbit IgG antibody (GTX213110-01) was used to detect the primary antibody.

2 / 23
Anti-SARS-CoV-2 (COVID-19) Spike RBD antibody [HL257] used in Western Blot (WB). GTX635692
GTX635692 WB Image

Various SARS-CoV-2 (COVID-19) Spike RBD proteins were separated by 12% SDS-PAGE, and the membrane was blotted with SARS-CoV-2 (COVID-19) Spike RBD antibody [HL257] (GTX635692) diluted at 1:5000. The HRP-conjugated anti-rabbit IgG antibody (GTX213110-01) was used to detect the primary antibody.

3 / 23
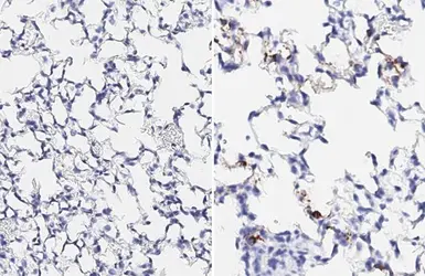
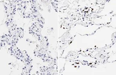
Anti-SARS-CoV-2 (COVID-19) Spike RBD antibody [HL257] used in IHC (Paraffin sections) (IHC-P). GTX635692
GTX635692 IHC-P Image

SARS-CoV-2 (COVID-19) Spike RBD antibody [HL257] detects SARS-CoV-2 (COVID-19) Spike RBD protein by immunohistochemical analysis.
Sample: Paraffin-embedded non-infected (left) and infected (right) human lung.
SARS-CoV-2 (COVID-19) Spike RBD stained by SARS-CoV-2 (COVID-19) Spike RBD antibody [HL257] (GTX635692) diluted at 1:1000.
Antigen Retrieval: Citrate buffer, pH 6.0, 20 min

The IHC-P was performed by HISTOWIZ.

4 / 23
Anti-SARS-CoV-2 (COVID-19) Spike RBD antibody [HL257] used in Western Blot (WB). GTX635692
GTX635692 WB Image

Non-transfected (–) and transfected (+) 293T whole cell extracts (30 μg) were separated by 5% SDS-PAGE, and the membrane was blotted with SARS-CoV-2 (COVID-19) Spike RBD antibody [HL257] (GTX635692) diluted at 1:50000. The HRP-conjugated anti-rabbit IgG antibody (GTX213110-01) was used to detect the primary antibody.

5 / 23
Anti-SARS-CoV-2 (COVID-19) Spike RBD antibody [HL257] used in Western Blot (WB). GTX635692
GTX635692 WB Image

SARS-CoV-2 (COVID-19) Spike RBD protein, His tag (active) (GTX01546-pro, 0.5 μg) was separated by 12% SDS-PAGE, and the membrane was blotted with SARS-CoV-2 (COVID-19) Spike RBD antibody [HL257] (GTX635692) diluted at 1:20000. The HRP-conjugated anti-rabbit IgG antibody (GTX213110-01) was used to detect the primary antibody.

6 / 23
Anti-SARS-CoV-2 (COVID-19) Spike RBD antibody [HL257] used in Western Blot (WB). GTX635692
GTX635692 WB Image

SARS-CoV-2 (COVID-19) Spike RBD protein, His tag (active) (GTX136090-pro) (0.5 μg) was separated by 12% SDS-PAGE, and the membrane was blotted with SARS-CoV-2 (COVID-19) Spike RBD antibody [HL257] (GTX635692) diluted at 1:5000. The HRP-conjugated anti-rabbit IgG antibody (GTX213110-01) was used to detect the primary antibody.

7 / 23
Anti-SARS-CoV-2 (COVID-19) Spike RBD antibody [HL257] used in Immunocytochemistry/ Immunofluorescence (ICC/IF). GTX635692
GTX635692 ICC/IF Image

SARS-CoV-2 (COVID-19) Spike RBD antibody [HL257] detects SARS-CoV-2 (COVID-19) Spike S1 protein by immunofluorescent analysis.
Sample: Mock and transfected 293T cells were fixed in 4% paraformaldehyde at RT for 15 min.
Green: SARS-CoV-2 (COVID-19) Spike S1 stained by SARS-CoV-2 (COVID-19) Spike RBD antibody [HL257] (GTX635692) diluted at 1:1000.
Blue: Fluoroshield with DAPI (GTX30920).

8 / 23
Anti-SARS-CoV-2 (COVID-19) Spike RBD antibody [HL257] used in Western Blot (WB). GTX635692
GTX635692 WB Image

SARS-CoV-2 (COVID-19) Spike (del69-70,del144,N501Y,A570D,D614G,...,D1118H) (ECD) Protein, His tag (GTX136059-pro, 0.25 μg) was separated by 12% SDS-PAGE, and the membrane was blotted with SARS-CoV-2 (COVID-19) Spike RBD antibody [HL257] (GTX635692) diluted at 1:5000. The HRP-conjugated anti-rabbit IgG antibody (GTX213110-01) was used to detect the primary antibody.

9 / 23
Anti-SARS-CoV-2 (COVID-19) Spike RBD antibody [HL257] used in Western Blot (WB). GTX635692
GTX635692 WB Image

SARS-CoV-2 Spike S1 (L18F, T20N, P26S, D138Y, R190S, K417T, E484K, N501Y, D614G, H655Y), Brazil variant, His tag (0.25 μg, GTX136094-pro) was separated by 12% SDS-PAGE, and the membrane was blotted with SARS-CoV-2 (COVID-19) Spike RBD antibody [HL257] (GTX635692) diluted at 1:5000. The HRP-conjugated anti-rabbit IgG antibody (GTX213110-01) was used to detect the primary antibody.

10 / 23
Anti-SARS-CoV-2 (COVID-19) Spike RBD antibody [HL257] used in ELISA (ELISA). GTX635692
GTX635692 ELISA Image

Indirect ELISA analysis performed by coating plate with recombinant SARS-CoV-2 (COVID-19) Spike RBD protein, His tag (active) protein (GTX01546-pro) (62.5-4000 ng/mL). Coated protein probed with SARS-CoV-2 (COVID-19) Spike RBD antibody [HL257] (GTX635692) (1 μg/mL). Rabbit IgG antibody (HRP) (GTX213110-01) (1:10000) detected bound primary antibody.

11 / 23
Anti-SARS-CoV-2 (COVID-19) Spike RBD antibody [HL257] used in Western Blot (WB). GTX635692
GTX635692 WB Image

Non-transfected (–) and transfected (+) 293T whole cell extracts (30 μg) were separated by 5% SDS-PAGE, and the membrane was blotted with SARS-CoV-2 (COVID-19) Spike RBD antibody [HL257] (GTX635692) diluted at 1:5000. The HRP-conjugated anti-rabbit IgG antibody (GTX213110-01) was used to detect the primary antibody.

12 / 23
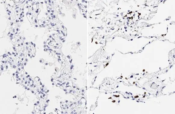
Anti-SARS-CoV-2 (COVID-19) Spike RBD antibody [HL257] used in IHC (Paraffin sections) (IHC-P). GTX635692
GTX635692 IHC-P Image

SARS-CoV-2 (COVID-19) Spike RBD antibody [HL257] detects SARS-CoV-2 (COVID-19) Spike RBD protein by immunohistochemical analysis.
Sample: Paraffin-embedded infected lung tissue derived from the AdV-hACE2-transduced BALB/c mice model.
SARS-CoV-2 (COVID-19) Spike RBD stained by IgG control (left) and SARS-CoV-2 (COVID-19) Spike RBD antibody [HL257] (GTX635692) diluted at 1:1000 (right).
Antigen Retrieval: Citrate buffer, pH 6.0, 20 min

The IHC-P was performed by HISTOWIZ.

13 / 23
Anti-SARS-CoV-2 (COVID-19) Spike RBD antibody [HL257] used in Western Blot (WB). GTX635692
GTX635692 WB Image

SARS-CoV-2 (COVID-19) Spike RBD Protein, B.1.1.529 / Omicron variant, His tag protein (GTX136716-pro) were separated by 12% SDS-PAGE, and the membrane was blotted with the SARS-CoV-2 (COVID-19) Spike RBD antibody [HL257] (GTX635692) diluted at 1:5000.

14 / 23
Anti-SARS-CoV-2 (COVID-19) Spike RBD antibody [HL257] used in Western Blot (WB). GTX635692
GTX635692 WB Image

SARS-CoV-2 (COVID-19) Spike (ECD) Protein, B.1.1.529 / omicron variant, His tag (1 μg, GTX136780-pro) were separated by 12% SDS-PAGE, and the membrane was blotted with SARS-CoV-2 (COVID-19) Spike RBD antibody [HL257] (GTX635692) diluted at 1:5000. The HRP-conjugated anti-rabbit IgG antibody (GTX213110-01) was used to detect the primary antibody.

15 / 23
Anti-SARS-CoV-2 (COVID-19) Spike RBD antibody [HL257] used in Western Blot (WB). GTX635692
GTX635692 WB Image

SARS-CoV-2 (COVID-19) Spike S1 protein, His tag (active) (GTX135817-pro) and SARS-CoV-2 (COVID-19) Spike S1 (del69-70, del44, N501Y, A570D, D614G...) Protein, His tag (active) (GTX136085-pro) (0.5 μg) were separated by 12% SDS-PAGE, and the membrane was blotted with SARS-CoV-2 (COVID-19) Spike RBD antibody [HL257] (GTX635692) diluted at 1:5000. The HRP-conjugated anti-rabbit IgG antibody (GTX213110-01) was used to detect the primary antibody.

16 / 23
Anti-SARS-CoV-2 (COVID-19) Spike RBD antibody [HL257] used in IHC-P (cell pellet) (IHC-P (cell pellet)). GTX635692
GTX635692 IHC-P (cell pellet) Image

SARS-CoV-2 (COVID-19) Spike RBD antibody [HL257] detects SARS-CoV-2 (COVID-19) Spike RBD protein at cytoplasm by immunohistochemical analysis.
Sample: Mock (GTX435670) and SARS-CoV-2 (COVID-19) Spike transfected 293T cell FFPE Cell Pellet Block (GTX435640).
Green: SARS-CoV-2 (COVID-19) Spike RBD stained by SARS-CoV-2 (COVID-19) Spike RBD antibody [HL257] (GTX635692) diluted at 1:1000.
Blue: Fluoroshield with DAPI (GTX30920).
Antigen Retrieval: Citrate buffer, pH 6.0, 15 min

17 / 23
Anti-SARS-CoV-2 (COVID-19) Spike RBD antibody [HL257] used in Western Blot (WB). GTX635692
GTX635692 WB Image

SARS-CoV-2 (COVID-19) Spike (ECD) protein, His tag (active) (0.5 μg, GTX135972-pro) was separated by 12% SDS-PAGE, and the membrane was blotted with SARS-CoV-2 (COVID-19) Spike RBD antibody [HL257] (GTX635692) diluted at 1:5000. The HRP-conjugated anti-rabbit IgG antibody (GTX213110-01) was used to detect the primary antibody.

18 / 23
Anti-SARS-CoV-2 (COVID-19) Spike RBD antibody [HL257] used in Western Blot (WB). GTX635692
GTX635692 WB Image

SARS-CoV-2 (COVID-19) Spike RBD Protein, BA.2 / Omicron variant, His tag (1 μg, GTX136905-pro) was separated by 12% SDS-PAGE, and the membrane was blotted with SARS-CoV-2 (COVID-19) Spike RBD antibody [HL257] (GTX635692) diluted at 1:5000. The HRP-conjugated anti-rabbit IgG antibody (GTX213110-01) was used to detect the primary antibody.

19 / 23
Anti-SARS-CoV-2 (COVID-19) Spike RBD antibody [HL257] used in Western Blot (WB). GTX635692
GTX635692 WB Image

SARS-CoV-2 Spike S1 (L18F, D80A, D215G, R246I, K417N, E484K, N501Y, D614G), South Africa variant, His tag (0.25 μg, GTX136095-pro) was separated by 12% SDS-PAGE, and the membrane was blotted with SARS-CoV-2 (COVID-19) Spike RBD antibody [HL257] (GTX635692) diluted at 1:5000. The HRP-conjugated anti-rabbit IgG antibody (GTX213110-01) was used to detect the primary antibody.

20 / 23
Anti-SARS-CoV-2 (COVID-19) Spike RBD antibody [HL257] used in Western Blot (WB). GTX635692
GTX635692 WB Image

Various SARS-CoV-2 (COVID-19) Spike RBD proteins were separated by 12% SDS-PAGE, and the membrane was blotted with SARS-CoV-2 (COVID-19) Spike RBD antibody [HL257] (GTX635692) diluted at 1:5000. The HRP-conjugated anti-rabbit IgG antibody (GTX213110-01) was used to detect the primary antibody.

21 / 23
Anti-SARS-CoV-2 (COVID-19) Spike RBD antibody [HL257] used in ELISA (ELISA). GTX635692
GTX635692 ELISA Image

Indirect ELISA analysis was performed by coating the plate with recombinant SARS-CoV-2 (COVID-19) Spike RBD protein, His tag (active) (GTX136090-pro) (159.36-2.49 nM). Coated protein was probed with SARS-CoV-2 (COVID-19) Spike RBD antibody [HL257] (GTX635692) (1 μg/mL). Goat anti-rabbit IgG antibody (HRP) (GTX213110-01) (1:10000) was used to detect the bound primary antibody.

22 / 23
Anti-SARS-CoV-2 (COVID-19) Spike RBD antibody [HL257] used in Immunocytochemistry/ Immunofluorescence (ICC/IF). GTX635692
GTX635692 ICC/IF Image

SARS-CoV-2 (COVID-19) Spike RBD antibody [HL257] detects SARS-CoV-2 (COVID-19) Spike RBD protein by immunofluorescent analysis.
Sample: Mock and transfected 293T cells were fixed in 4% paraformaldehyde at RT for 15 min.
Green: SARS-CoV-2 (COVID-19) Spike RBD stained by SARS-CoV-2 (COVID-19) Spike RBD antibody [HL257] (GTX635692) diluted at 1:500.
Blue: Fluoroshield with DAPI (GTX30920).

23 / 23
Anti-SARS-CoV-2 (COVID-19) Spike RBD antibody [HL257] used in IHC (Paraffin sections) (IHC-P). GTX635692
Anti-SARS-CoV-2 (COVID-19) Spike RBD antibody [HL257] used in Western Blot (WB). GTX635692
Anti-SARS-CoV-2 (COVID-19) Spike RBD antibody [HL257] used in Western Blot (WB). GTX635692
Anti-SARS-CoV-2 (COVID-19) Spike RBD antibody [HL257] used in IHC (Paraffin sections) (IHC-P). GTX635692
Anti-SARS-CoV-2 (COVID-19) Spike RBD antibody [HL257] used in Western Blot (WB). GTX635692
Anti-SARS-CoV-2 (COVID-19) Spike RBD antibody [HL257] used in Western Blot (WB). GTX635692
Anti-SARS-CoV-2 (COVID-19) Spike RBD antibody [HL257] used in Western Blot (WB). GTX635692
Anti-SARS-CoV-2 (COVID-19) Spike RBD antibody [HL257] used in Immunocytochemistry/ Immunofluorescence (ICC/IF). GTX635692
Anti-SARS-CoV-2 (COVID-19) Spike RBD antibody [HL257] used in Western Blot (WB). GTX635692
Anti-SARS-CoV-2 (COVID-19) Spike RBD antibody [HL257] used in Western Blot (WB). GTX635692
Anti-SARS-CoV-2 (COVID-19) Spike RBD antibody [HL257] used in ELISA (ELISA). GTX635692
Anti-SARS-CoV-2 (COVID-19) Spike RBD antibody [HL257] used in Western Blot (WB). GTX635692
Anti-SARS-CoV-2 (COVID-19) Spike RBD antibody [HL257] used in IHC (Paraffin sections) (IHC-P). GTX635692
Anti-SARS-CoV-2 (COVID-19) Spike RBD antibody [HL257] used in Western Blot (WB). GTX635692
Anti-SARS-CoV-2 (COVID-19) Spike RBD antibody [HL257] used in Western Blot (WB). GTX635692
Anti-SARS-CoV-2 (COVID-19) Spike RBD antibody [HL257] used in Western Blot (WB). GTX635692
Anti-SARS-CoV-2 (COVID-19) Spike RBD antibody [HL257] used in IHC-P (cell pellet) (IHC-P (cell pellet)). GTX635692
Anti-SARS-CoV-2 (COVID-19) Spike RBD antibody [HL257] used in Western Blot (WB). GTX635692
Anti-SARS-CoV-2 (COVID-19) Spike RBD antibody [HL257] used in Western Blot (WB). GTX635692
Anti-SARS-CoV-2 (COVID-19) Spike RBD antibody [HL257] used in Western Blot (WB). GTX635692
Anti-SARS-CoV-2 (COVID-19) Spike RBD antibody [HL257] used in Western Blot (WB). GTX635692
Anti-SARS-CoV-2 (COVID-19) Spike RBD antibody [HL257] used in ELISA (ELISA). GTX635692
Anti-SARS-CoV-2 (COVID-19) Spike RBD antibody [HL257] used in Immunocytochemistry/ Immunofluorescence (ICC/IF). GTX635692
  • Host
    Rabbit
  • Clonality
    Monoclonal
  • Clone Name
    HL257
  • Isotype
    IgG
  • Applications
    WB ICC/IF IHC-P ELISA IHC-P (cell pellet)
  • Reactivity
    SARS Coronavirus 2
See all SARS-CoV-2 (COVID-19) Spike products