SARS-CoV-2 (COVID-19) Spike S1 antibody [HL6]

Cat. No. GTX635654
Cat. No.  GTX635654
Anti-SARS-CoV-2 (COVID-19) Spike S1 antibody [HL6] used in ELISA (ELISA). GTX635654
GTX635654 ELISA Image

Indirect ELISA analysis performed by coating plate with recombinant SARS-CoV-2 (COVID-19) spike S1 subunit protein or recombinant SARS-CoV spike S1 subunit protein (62.5-4000 ng/mL). Coated protein probed with SARS-CoV-2 (COVID-19) Spike S1 antibody [HL6] (GTX635654) (1 μg/mL). Rabbit IgG antibody (HRP) (GTX213110-01) (1:10000) detected bound primary antibody.

1 / 14
Anti-SARS-CoV-2 (COVID-19) Spike S1 antibody [HL6] used in Western Blot (WB). GTX635654
GTX635654 WB Image

Non-transfected (–) and transfected (+) 293T whole cell extracts (30 μg) were separated by 5% SDS-PAGE, and the membrane was blotted with SARS-CoV-2 (COVID-19) Spike S1 antibody [HL6] (GTX635654) diluted at 1:5000. The HRP-conjugated anti-rabbit IgG antibody (GTX213110-01) was used to detect the primary antibody.

2 / 14
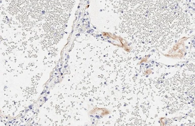
Anti-SARS-CoV-2 (COVID-19) Spike S1 antibody [HL6] used in IHC (Paraffin sections) (IHC-P). GTX635654
GTX635654 IHC-P Image

SARS-CoV-2 (COVID-19) Spike S1 antibody [HL6] (GTX635654) detects SARS-CoV-2 (COVID-19) Spike S1 protein by immunohistochemical analysis of SARS-CoV-2 infected human lung.

The IHC-P was performed by HISTOWIZ.

3 / 14
Anti-SARS-CoV-2 (COVID-19) Spike S1 antibody [HL6] used in Immunocytochemistry/ Immunofluorescence (ICC/IF). GTX635654
GTX635654 ICC/IF Image

SARS-CoV-2 (COVID-19) Spike S1 antibody [HL6] detects SARS-CoV-2 (COVID-19) Spike S1 protein at cytoplasm by immunofluorescent analysis.
Sample: Mock and transfected transfected 293T cells were fixed in 4% paraformaldehyde at RT for 15 min.
Green: SARS-CoV-2 (COVID-19) Spike S1 stained by SARS-CoV-2 (COVID-19) Spike S1 antibody [HL6] (GTX635654) diluted at 1:2000.

4 / 14
Anti-SARS-CoV-2 (COVID-19) Spike S1 antibody [HL6] used in Flow cytometry (FCM). GTX635654
GTX635654 FCM Image

SARS-CoV-2 (COVID-19) spike antibody [HL6] (GTX635654) detects SARS-CoV-2 (COVID-19) spike protein by flow cytometry analysis.
Sample: 293T cells transfected SARS-CoV-2 (2019-nCoV) Spike.
Blue: Unlabelled sample was used as a control.
Red: SARS-CoV-2 (COVID-19) spike antibody [HL6] (GTX635654) dilution: 1:50.
Acquisition of 20,000 events were collected for FACS analysis.

5 / 14
Anti-SARS-CoV-2 (COVID-19) Spike S1 antibody [HL6] used in IHC-P (cell pellet) (IHC-P (cell pellet)). GTX635654
GTX635654 IHC-P (cell pellet) Image

SARS-CoV-2 (COVID-19) Spike S1 antibody [HL6] detects SARS-CoV-2 (COVID-19) Spike S1 protein by immunohistochemical analysis.
Sample: Mock (GTX435670) and SARS-CoV-2 (COVID-19) Spike transfected 293T cell FFPE Cell Pellet Block (GTX435640).
Green: SARS-CoV-2 (COVID-19) Spike S1 stained by SARS-CoV-2 (COVID-19) Spike S1 antibody [HL6] (GTX635654) diluted at 1:1000.
Blue: Fluoroshield with DAPI (GTX30920).
Antigen Retrieval: Citrate buffer, pH 6.0, 15 min

6 / 14
Anti-SARS-CoV-2 (COVID-19) Spike S1 antibody [HL6] used in Immunocytochemistry/ Immunofluorescence (ICC/IF). GTX635654
GTX635654 ICC/IF Image

SARS-CoV-2 (COVID-19) spike antibody [HL6] detects SARS-CoV-2 (COVID-19) spike protein by immunofluorescent analysis.
Sample: Mock and SARS-CoV-2 Spike-transfected 293T cells were fixed in 4% paraformaldehyde at RT for 15 min.
Green: SARS-CoV-2 (COVID-19) spike stained by SARS-CoV-2 (COVID-19) spike antibody [HL6] (GTX635654) diluted at 1:1000.
Blue: Fluoroshield with DAPI (GTX30920).

7 / 14
Anti-SARS-CoV-2 (COVID-19) Spike S1 antibody [HL6] used in ELISA (ELISA). GTX635654
GTX635654 ELISA Image

Sandwich ELISA detection of non-transfected and SARS-CoV-2 spike (full length) transfected 293T whole cell extracts (GTX535664) using GTX632604 as capture antibody at concentration of 5 μg/mL and GTX635654 as detection antibody at concentration of 1 μg/mL. Rabbit IgG antibody (HRP) (GTX213110-01) was diluted at 1:10000 and used to detect the primary antibody.

8 / 14
Anti-SARS-CoV-2 (COVID-19) Spike S1 antibody [HL6] used in ELISA (ELISA). GTX635654
GTX635654 ELISA Image

Indirect ELISA analysis was performed by coating plate with 50 μL of recombinant SARS-CoV-2 (COVID-19) spike S1 subunit protein at concentrations ranging from 0.0625 μg/mL to 4 μg/mL. The coated protein is detected with (GTX635654) at 1 μg/mL. Rabbit IgG antibody (HRP) (GTX213110-01) was diluted at 1:10000 and used to detect the primary antibody.

9 / 14
Anti-SARS-CoV-2 (COVID-19) Spike S1 antibody [HL6] used in ELISA (ELISA). GTX635654
GTX635654 ELISA Image

Indirect ELISA analysis performed by coating plate with recombinant SARS-CoV-2 (COVID-19) spike S1 subunit protein (50 ng). Coated protein probed with SARS-CoV-2 (COVID-19) Spike S1 antibody [HL6] (GTX635654) (2.4*10⁻⁶ ~ 20 nM). Rabbit IgG antibody (HRP) (GTX213110-01) (1:10000) detected bound primary antibody.
EC50 : 0.251 nM

10 / 14
Anti-SARS-CoV-2 (COVID-19) Spike S1 antibody [HL6] used in Western Blot (WB). GTX635654
GTX635654 WB Image

Non-transfected (–) and transfected (+) 293T whole cell extracts (30 μg) were separated by 5% SDS-PAGE, and the membrane was blotted with SARS-CoV-2 (COVID-19) Spike S1 antibody [HL6] (GTX635654) diluted at 1:5000. The HRP-conjugated anti-rabbit IgG antibody (GTX213110-01) was used to detect the primary antibody, and the signal was developed with Trident ECL plus-Enhanced.

11 / 14
Anti-SARS-CoV-2 (COVID-19) Spike S1 antibody [HL6] used in ELISA (ELISA). GTX635654
GTX635654 ELISA Image

Sandwich ELISA detection of recombinant SARS-CoV-2 spike (trimer) protein using antibodies as below.

Capture: SARS-CoV / SARS-CoV-2 (COVID-19) spike antibody [1A9] (GTX632604) (5 μg/mL)
Detection: SARS-CoV-2 (COVID-19) Spike S1 antibody [HL6] (GTX635654) (1 μg/mL)

12 / 14
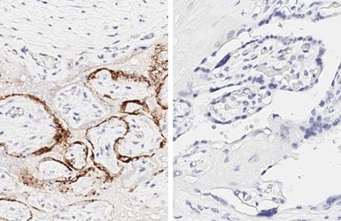
Anti-SARS-CoV-2 (COVID-19) Spike S1 antibody [HL6] used in IHC (Paraffin sections) (IHC-P). GTX635654
GTX635654 IHC-P Image

SARS-CoV-2 (COVID-19) Spike S1 antibody [HL6] (GTX635654) detects SARS-CoV-2 (COVID-19) Spike S1 protein by immunohistochemical analysis of SARS-CoV-2 infected human placenta (left) and normal human placenta (right).

The IHC-P was performed by HISTOWIZ.

13 / 14
Anti-SARS-CoV-2 (COVID-19) Spike S1 antibody [HL6] used in ELISA (ELISA). GTX635654
GTX635654 ELISA Image

Sandwich ELISA detection of recombinant SARS-CoV-2 (COVID-19) Spike S1 protein, His tag (active) (GTX135817-pro) using antibodies as below.

Capture: SARS-CoV-2 (COVID-19) Spike RBD antibody [GT5449] (GTX636042) (5 μg/mL)
Detection: SARS-CoV-2 (COVID-19) Spike S1 antibody [HL6] (GTX635654) (1 μg/mL)

14 / 14
Anti-SARS-CoV-2 (COVID-19) Spike S1 antibody [HL6] used in ELISA (ELISA). GTX635654
Anti-SARS-CoV-2 (COVID-19) Spike S1 antibody [HL6] used in Western Blot (WB). GTX635654
Anti-SARS-CoV-2 (COVID-19) Spike S1 antibody [HL6] used in IHC (Paraffin sections) (IHC-P). GTX635654
Anti-SARS-CoV-2 (COVID-19) Spike S1 antibody [HL6] used in Immunocytochemistry/ Immunofluorescence (ICC/IF). GTX635654
Anti-SARS-CoV-2 (COVID-19) Spike S1 antibody [HL6] used in Flow cytometry (FCM). GTX635654
Anti-SARS-CoV-2 (COVID-19) Spike S1 antibody [HL6] used in IHC-P (cell pellet) (IHC-P (cell pellet)). GTX635654
Anti-SARS-CoV-2 (COVID-19) Spike S1 antibody [HL6] used in Immunocytochemistry/ Immunofluorescence (ICC/IF). GTX635654
Anti-SARS-CoV-2 (COVID-19) Spike S1 antibody [HL6] used in ELISA (ELISA). GTX635654
Anti-SARS-CoV-2 (COVID-19) Spike S1 antibody [HL6] used in ELISA (ELISA). GTX635654
Anti-SARS-CoV-2 (COVID-19) Spike S1 antibody [HL6] used in ELISA (ELISA). GTX635654
Anti-SARS-CoV-2 (COVID-19) Spike S1 antibody [HL6] used in Western Blot (WB). GTX635654
Anti-SARS-CoV-2 (COVID-19) Spike S1 antibody [HL6] used in ELISA (ELISA). GTX635654
Anti-SARS-CoV-2 (COVID-19) Spike S1 antibody [HL6] used in IHC (Paraffin sections) (IHC-P). GTX635654
Anti-SARS-CoV-2 (COVID-19) Spike S1 antibody [HL6] used in ELISA (ELISA). GTX635654
  • Host
    Rabbit
  • Clonality
    Monoclonal
  • Clone Name
    HL6
  • Isotype
    IgG
  • Applications
    WB ICC/IF IHC-P FCM IP ELISA Sandwich ELISA IHC-P (cell pellet)
  • Reactivity
    SARS Coronavirus 2
See all SARS-CoV-2 (COVID-19) Spike products