SDHA antibody [GT20710]

Cat. No. GTX632636
Cat. No.  GTX632636
Anti-SDHA antibody [GT20710] used in Western Blot (WB). GTX632636
GTX632636 WB Image

Non-transfected (–) and transfected (+) 293T whole cell extracts (30 μg) were separated by 7.5% SDS-PAGE, and the membrane was blotted with SDHA antibody [GT20710] (GTX632636) diluted at 1:1000.

1 / 14
Anti-SDHA antibody [GT20710] used in Western Blot (WB). GTX632636
GTX632636 WB Image

HepG2 and mitochondria extracts (30 μg) were separated by SDS-PAGE, and the membrane was blotted with SDHA antibody [GT20710] (GTX632636) diluted at 1:1000. The HRP-conjugated anti-mouse IgG antibody (GTX213111-01) was used to detect the primary antibody.

2 / 14
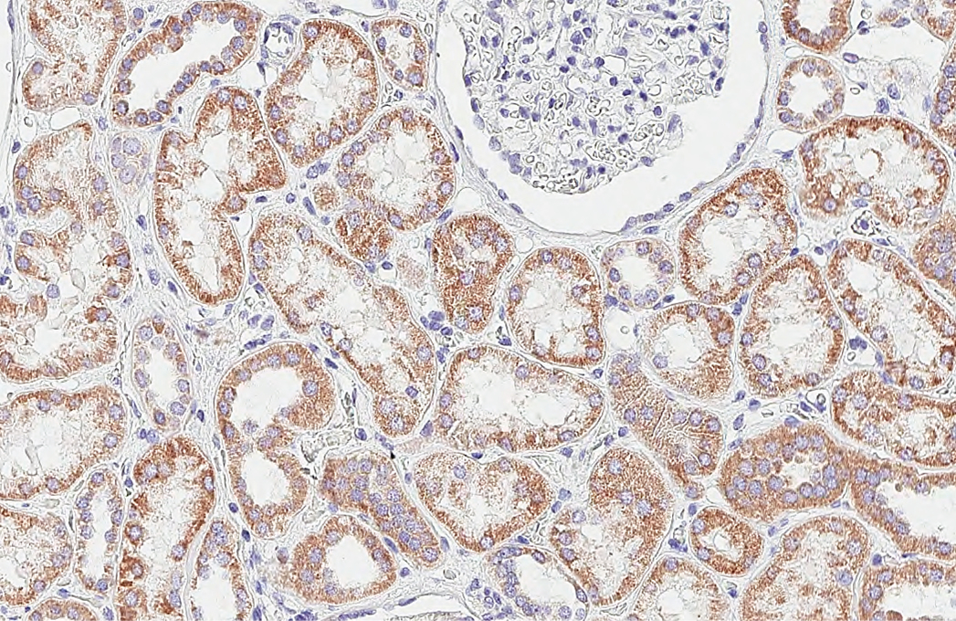
Anti-SDHA antibody [GT20710] used in IHC (Paraffin sections) (IHC-P). GTX632636
GTX632636 IHC-P Image

SDHA antibody [GT20710] detects SDHA protein by immunohistochemical analysis.
Sample: Paraffin-embedded human kidney.
SDHA stained by SDHA antibody [GT20710] (GTX632636) diluted at 1:200.
Antigen Retrieval: Citrate buffer, pH 6.0, 15 min

3 / 14
Anti-SDHA antibody [GT20710] used in IHC (Paraffin sections) (IHC-P). GTX632636
GTX632636 IHC-P Image

SDHA antibody [GT20710] detects SDHA protein by immunohistochemical analysis.
Sample: Paraffin-embedded human tissues.
SDHA stained by SDHA antibody [GT20710] (GTX632636) diluted at 1:200.
Antigen Retrieval: Citrate buffer, pH 6.0, 15 min

4 / 14
Anti-SDHA antibody [GT20710] used in IHC (Paraffin sections) (IHC-P). GTX632636
GTX632636 IHC-P Image

SDHA antibody [GT20710] detects SDHA protein by immunohistochemical analysis.
Sample: Paraffin-embedded mouse tissues.
SDHA stained by SDHA antibody [GT20710] (GTX632636) diluted at 1:200.
Antigen Retrieval: Citrate buffer, pH 6.0, 15 min

5 / 14
Anti-SDHA antibody [GT20710] used in Immunocytochemistry/ Immunofluorescence (ICC/IF). GTX632636
GTX632636 ICC/IF Image

SDHA antibody [GT20710] detects SDHA protein at mitochondria by immunofluorescent analysis.
Sample: Mock and treated HeLa cells were fixed in ice-cold MeOH for 5 min.
Green: SDHA stained by SDHA antibody [GT20710] (GTX632636) diluted at 1:500.
Red: MitoTracker® Red CMXRos, a mitochondria marker.
Blue: Fluoroshield with DAPI (GTX30920).

6 / 14
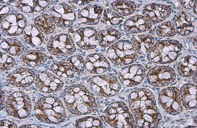
Anti-SDHA antibody [GT20710] used in IHC (Paraffin sections) (IHC-P). GTX632636
GTX632636 IHC-P Image

SDHA antibody [GT20710] detects SDHA protein at mitochondria by immunohistochemical analysis.
Sample: Paraffin-embedded rat colon.
SDHA stained by SDHA antibody [GT20710] (GTX632636) diluted at 1:200.
Antigen Retrieval: Citrate buffer, pH 6.0, 15 min

7 / 14
Anti-SDHA antibody [GT20710] used in Western Blot (WB). GTX632636
GTX632636 WB Image

Various whole cell extracts (30 μg) were separated by 7.5% SDS-PAGE, and the membrane was blotted with SDHA antibody [GT20710] (GTX632636) diluted at 1:3000.

8 / 14
Anti-SDHA antibody [GT20710] used in Western Blot (WB). GTX632636
GTX632636 WB Image

Various whole cell extracts (30 μg) were separated by 7.5% SDS-PAGE, and the membrane was blotted with SDHA antibody [GT20710] (GTX632636) diluted at 1:3000.

9 / 14
Anti-SDHA antibody [GT20710] used in Immunocytochemistry/ Immunofluorescence (ICC/IF). GTX632636
GTX632636 ICC/IF Image

SDHA antibody [GT20710] detects SDHA protein at mitochondria by immunofluorescent analysis.
Sample: HeLa cells were fixed in 4% paraformaldehyde at RT for 15 min.
Green: SDHA protein stained by SDHA antibody [GT20710] (GTX632636) diluted at 1:500.
Red: Phalloidin, a cytoskeleton marker, diluted at 1:100.
Blue: Hoechst 33342 staining.

10 / 14
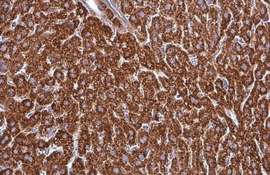
Anti-SDHA antibody [GT20710] used in IHC (Paraffin sections) (IHC-P). GTX632636
GTX632636 IHC-P Image

SDHA antibody [GT20710] detects SDHA protein at mitochondria by immunohistochemical analysis.
Sample: Paraffin-embedded mouse liver.
SDHA stained by SDHA antibody [GT20710] (GTX632636) diluted at 1:200.
Antigen Retrieval: Citrate buffer, pH 6.0, 15 min

11 / 14
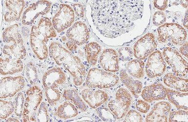
Anti-SDHA antibody [GT20710] used in IHC (Paraffin sections) (IHC-P). GTX632636
GTX632636 IHC-P Image

SDHA antibody [GT20710] detects SDHA protein at mitochondria by immunohistochemical analysis.
Sample: Paraffin-embedded mouse kidney.
SDHA stained by SDHA antibody [GT20710] (GTX632636) diluted at 1:200.
Antigen Retrieval: Citrate buffer, pH 6.0, 15 min

12 / 14
Anti-SDHA antibody [GT20710] used in IHC (Paraffin sections) (IHC-P). GTX632636
GTX632636 IHC-P Image

SDHA antibody [GT20710] detects SDHA protein by immunohistochemical analysis.
Sample: Paraffin-embedded mouse tissues.
SDHA stained by SDHA antibody [GT20710] (GTX632636) diluted at 1:200.
Antigen Retrieval: Citrate buffer, pH 6.0, 15 min

13 / 14
Anti-SDHA antibody [GT20710] used in Western Blot (WB). GTX632636
GTX632636 WB Image

Various whole cell extracts (30 μg) were separated by 7.5% SDS-PAGE, and the membrane was blotted with SDHA antibody [GT20710] (GTX632636) diluted at 1:3000. The HRP-conjugated anti-mouse IgG antibody (GTX213111-01) was used to detect the primary antibody.

14 / 14
Anti-SDHA antibody [GT20710] used in Western Blot (WB). GTX632636
Anti-SDHA antibody [GT20710] used in Western Blot (WB). GTX632636
Anti-SDHA antibody [GT20710] used in IHC (Paraffin sections) (IHC-P). GTX632636
Anti-SDHA antibody [GT20710] used in IHC (Paraffin sections) (IHC-P). GTX632636
Anti-SDHA antibody [GT20710] used in IHC (Paraffin sections) (IHC-P). GTX632636
Anti-SDHA antibody [GT20710] used in Immunocytochemistry/ Immunofluorescence (ICC/IF). GTX632636
Anti-SDHA antibody [GT20710] used in IHC (Paraffin sections) (IHC-P). GTX632636
Anti-SDHA antibody [GT20710] used in Western Blot (WB). GTX632636
Anti-SDHA antibody [GT20710] used in Western Blot (WB). GTX632636
Anti-SDHA antibody [GT20710] used in Immunocytochemistry/ Immunofluorescence (ICC/IF). GTX632636
Anti-SDHA antibody [GT20710] used in IHC (Paraffin sections) (IHC-P). GTX632636
Anti-SDHA antibody [GT20710] used in IHC (Paraffin sections) (IHC-P). GTX632636
Anti-SDHA antibody [GT20710] used in IHC (Paraffin sections) (IHC-P). GTX632636
Anti-SDHA antibody [GT20710] used in Western Blot (WB). GTX632636
  • Host
    Mouse
  • Clonality
    Monoclonal
  • Clone Name
    GT20710
  • Isotype
    IgG1
  • Applications
    WB ICC/IF IHC-P
  • Reactivity
    Human, Mouse, Rat
See all SDHA products