SGCE antibody [N1C1]

Cat. No. GTX116453
Cat. No.  GTX116453
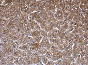
Anti-SGCE antibody [N1C1] used in IHC (Paraffin sections) (IHC-P). GTX116453
GTX116453 IHC-P Image

SGCE antibody [N1C1] detects SGCE protein at cytosol on mouse heart by immunohistochemical analysis.
Sample: Paraffin-embedded mouse heart.
SGCE antibody [N1C1] (GTX116453) dilution: 1:500.

Antigen Retrieval: Trilogy™ (EDTA based, pH 8.0) buffer, 15min

1 / 3
Anti-SGCE antibody [N1C1] used in Western Blot (WB). GTX116453
GTX116453 WB Image

Sample (30 ug of whole cell lysate)
A: Hela
10% SDS PAGE
GTX116453 diluted at 1:1000

2 / 3
Anti-SGCE antibody [N1C1] used in IHC (Paraffin sections) (IHC-P). GTX116453
GTX116453 IHC-P Image

SGCE antibody [N1C1] detects SGCE protein at cytosol on mouse heart by immunohistochemical analysis.
Sample: Paraffin-embedded mouse heart.
SGCE antibody [N1C1] (GTX116453) dilution: 1:500.

Antigen Retrieval: Trilogy™ (EDTA based, pH 8.0) buffer, 15min

3 / 3
Anti-SGCE antibody [N1C1] used in IHC (Paraffin sections) (IHC-P). GTX116453
Anti-SGCE antibody [N1C1] used in Western Blot (WB). GTX116453
Anti-SGCE antibody [N1C1] used in IHC (Paraffin sections) (IHC-P). GTX116453
  • Host
    Rabbit
  • Clonality
    Polyclonal
  • Isotype
    IgG
  • Applications
    WB IHC-P
  • Reactivity
    Human, Mouse
See all SGCE products