SMAD4 antibody

Cat. No. GTX112980
Cat. No.  GTX112980
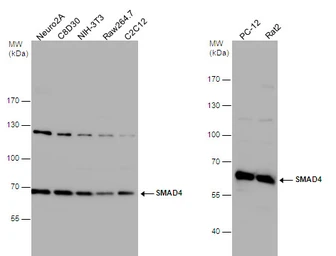
Anti-SMAD4 antibody used in Western Blot (WB). GTX112980
GTX112980 WB Image

Various whole cell extracts (30 μg) were separated by 7.5% SDS-PAGE, and the membranes were blotted with SMAD4 antibody (GTX112980) diluted at 1:1000 and competitor's antibody (sc-7966) diluted at 1:100. The HRP-conjugated anti-rabbit IgG antibody (GTX213110-01) was used to detect the primary antibody.

1 / 12
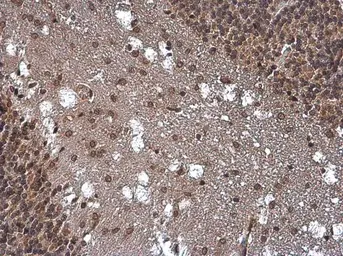
Anti-SMAD4 antibody used in IHC (Paraffin sections) (IHC-P). GTX112980
GTX112980 IHC-P Image

SMAD4 antibody detects SMAD4 protein at cytoplasm and nucleus by immunohistochemical analysis.
Sample: Paraffin-embedded rat brain.
SMAD4 stained by SMAD4 antibody (GTX112980) diluted at 1:500.
Antigen Retrieval: Citrate buffer, pH 6.0, 15 min

2 / 12
Anti-SMAD4 antibody used in Western Blot (WB). GTX112980
GTX112980 WB Image

SMAD4 antibody detects SMAD4 protein by western blot analysis. Various whole cell extracts were separated by 7.5% SDS-PAGE, and the membrane was blotted with SMAD4 antibody (GTX112980) diluted at 1:1000. The HRP-conjugated anti-rabbit IgG antibody (GTX213110-01) was used to detect the primary antibody.

3 / 12
Anti-SMAD4 antibody used in Western Blot (WB). GTX112980
GTX112980 WB Image

Various whole cell extracts (30 μg) were separated by 10% SDS-PAGE, and the membrane was blotted with SMAD4 antibody (GTX112980) diluted at 1:1000.

4 / 12
Anti-SMAD4 antibody used in IHC (Paraffin sections) (IHC-P). GTX112980
GTX112980 IHC-P Image

SMAD4 antibody detects SMAD4 protein at cytoplasm and nucleus in rat kidney by immunohistochemical analysis.
Sample: Paraffin-embedded rat kidney.
SMAD4 antibody (GTX112980) diluted at 1:500.

Antigen Retrieval: Citrate buffer, pH 6.0, 15 min

5 / 12
Anti-SMAD4 antibody used in IHC (Paraffin sections) (IHC-P). GTX112980
GTX112980 IHC-P Image

SMAD4 antibody detects SMAD4 protein at cytoplasm and nucleus by immunohistochemical analysis.
Sample: Paraffin-embedded mouse testis.
SMAD4 stained by SMAD4 antibody (GTX112980) diluted at 1:500.
Antigen Retrieval: Citrate buffer, pH 6.0, 15 min

6 / 12
Anti-SMAD4 antibody used in IHC (Paraffin sections) (IHC-P). GTX112980
GTX112980 IHC-P Image

SMAD4 antibody detects SMAD4 protein at cytoplasm and nucleus in mouse duodenum by immunohistochemical analysis.
Sample: Paraffin-embedded mouse duodenum.
SMAD4 antibody (GTX112980) diluted at 1:500.

Antigen Retrieval: Citrate buffer, pH 6.0, 15 min

7 / 12
Anti-SMAD4 antibody used in Immunocytochemistry/ Immunofluorescence (ICC/IF). GTX112980
GTX112980 ICC/IF Image

SMAD4 antibody detects SMAD4 protein at cytoplasm and nucleus by immunofluorescent analysis.
Sample: HeLa cells were fixed in 4% paraformaldehyde at RT for 15 min.
Green: SMAD4 protein stained by SMAD4 antibody (GTX112980) diluted at 1:500.
Blue: Hoechst 33342 staining.

8 / 12
Anti-SMAD4 antibody used in Immunocytochemistry/ Immunofluorescence (ICC/IF). GTX112980
GTX112980 ICC/IF Image

SMAD4 antibody detects SMAD4 protein a tcytoplasm and nucleus by immunofluorescent analysis.
Sample: SK-N-SH cells were fixed in 4% paraformaldehyde at RT for 15 min.
Green: SMAD4 protein stained by SMAD4 antibody (GTX112980) diluted at 1:500.
Blue: Hoechst 33342 staining.
Scale bar = 10 μm.

9 / 12
Anti-SMAD4 antibody used in IHC (Paraffin sections) (IHC-P). GTX112980
GTX112980 IHC-P Image

Immunohistochemical analysis of paraffin-embedded human ulcerative colitis tissue using SMAD4 antibody (GTX112980)

10 / 12
Anti-SMAD4 antibody used in IHC (Paraffin sections) (IHC-P). GTX112980
GTX112980 IHC-P Image

SMAD4 antibody detects SMAD4 protein at cytoplasm and nucleus in mouse brain by immunohistochemical analysis.
Sample: Paraffin-embedded mouse brain.
SMAD4 antibody (GTX112980) diluted at 1:500.

Antigen Retrieval: Citrate buffer, pH 6.0, 15 min

11 / 12
Anti-SMAD4 antibody used in Western Blot (WB). GTX112980
GTX112980 WB Image

Non-transfected (–) and transfected (+) 293T whole cell extracts (30 μg) were separated by 10% SDS-PAGE, and the membrane was blotted with SMAD4 antibody (GTX112980) diluted at 1:1000. The HRP-conjugated anti-rabbit IgG antibody (GTX213110-01) was used to detect the primary antibody.

12 / 12
Anti-SMAD4 antibody used in Western Blot (WB). GTX112980
Anti-SMAD4 antibody used in IHC (Paraffin sections) (IHC-P). GTX112980
Anti-SMAD4 antibody used in Western Blot (WB). GTX112980
Anti-SMAD4 antibody used in Western Blot (WB). GTX112980
Anti-SMAD4 antibody used in IHC (Paraffin sections) (IHC-P). GTX112980
Anti-SMAD4 antibody used in IHC (Paraffin sections) (IHC-P). GTX112980
Anti-SMAD4 antibody used in IHC (Paraffin sections) (IHC-P). GTX112980
Anti-SMAD4 antibody used in Immunocytochemistry/ Immunofluorescence (ICC/IF). GTX112980
Anti-SMAD4 antibody used in Immunocytochemistry/ Immunofluorescence (ICC/IF). GTX112980
Anti-SMAD4 antibody used in IHC (Paraffin sections) (IHC-P). GTX112980
Anti-SMAD4 antibody used in IHC (Paraffin sections) (IHC-P). GTX112980
Anti-SMAD4 antibody used in Western Blot (WB). GTX112980
  • Host
    Rabbit
  • Clonality
    Polyclonal
  • Isotype
    IgG
  • Applications
    WB ICC/IF IHC-P
  • Reactivity
    Human, Mouse, Rat
See all SMAD4 products