SNAI1 antibody

Cat. No. GTX100754
Cat. No.  GTX100754
Anti-SNAI1 antibody used in Western Blot (WB). GTX100754
GTX100754 WB Image

Untreated (–) and treated (+) HeLa whole cell extracts (50 μg) were separated by 10% SDS-PAGE, and the membranes were blotted with SNAI1 antibody (GTX100754) diluted at 1:1000 and competitor's antibody (#3879) diluted at 1:1000. The HRP-conjugated anti-rabbit IgG antibody (GTX213110-01) was used to detect the primary antibody.

*The competitor is not affiliated with GeneTex and does not endorse this product.

1 / 10
Anti-SNAI1 antibody used in Western Blot (WB). GTX100754
GTX100754 WB Image

Untreated (–) and treated (+) HeLa whole cell extracts (30 μg) were separated by 12% SDS-PAGE, and the membrane was blotted with SNAI1 antibody (GTX100754) diluted at 1:1000. The HRP-conjugated anti-rabbit IgG antibody (GTX213110-01) was used to detect the primary antibody.

2 / 10
Anti-SNAI1 antibody used in Western Blot (WB). GTX100754
GTX100754 WB Image

Whole cell extract (30 μg) was separated by 12% SDS-PAGE, and the membrane was blotted with SNAI1 antibody (GTX100754) diluted at 1:1000. The HRP-conjugated anti-rabbit IgG antibody (GTX213110-01) was used to detect the primary antibody.

3 / 10
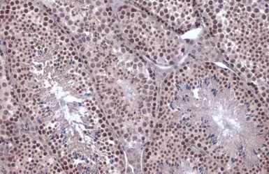
Anti-SNAI1 antibody used in IHC (Paraffin sections) (IHC-P). GTX100754
GTX100754 IHC-P Image

SNAI1 antibody detects SNAI1 protein at nucleus by immunohistochemical analysis.
Sample: Paraffin-embedded mouse testis.
SNAI1 stained by SNAI1 antibody (GTX100754) diluted at 1:1000.
Antigen Retrieval: Citrate buffer, pH 6.0, 15 min

4 / 10
Anti-SNAI1 antibody used in Immunocytochemistry/ Immunofluorescence (ICC/IF). GTX100754
GTX100754 ICC/IF Image

SNAI1 antibody detects SNAI1 protein by immunofluorescent analysis.
Sample: Mock and treated HeLa cells were fixed in 4% paraformaldehyde at RT for 15 min.
Green: SNAI1 stained by SNAI1 antibody (GTX100754) diluted at 1:500.
Blue: Fluoroshield with DAPI (GTX30920).

5 / 10
Anti-SNAI1 antibody used in Western Blot (WB). GTX100754
GTX100754 WB Image

Non-transfected (–) and transfected (+) 293T whole cell extracts (30 μg) were separated by 12% SDS-PAGE, and the membrane was blotted with SNAI1 antibody (GTX100754) diluted at 1:1000. The HRP-conjugated anti-rabbit IgG antibody (GTX213110-01) was used to detect the primary antibody.

6 / 10
Anti-SNAI1 antibody used in Western Blot (WB). GTX100754
GTX100754 WB Image

SNAI1 antibody detects SNAI1 protein by western blot analysis. Various whole cell extracts (30 μg) were separated by 12% SDS-PAGE, and the membrane was blotted with SNAI1 antibody (GTX100754) diluted at 1:1000. The HRP-conjugated anti-rabbit IgG antibody (GTX213110-01) was used to detect the primary antibody.

7 / 10
Anti-SNAI1 antibody used in Western Blot (WB). GTX100754
GTX100754 WB Image

Whole cell extract (30 μg) was separated by 12% SDS-PAGE, and the membrane was blotted with SNAI1 antibody (GTX100754) diluted at 1:1000. The HRP-conjugated anti-rabbit IgG antibody (GTX213110-01) was used to detect the primary antibody.

8 / 10
Anti-SNAI1 antibody used in Western Blot (WB). GTX100754
GTX100754 WB Image

The data was published in the journal Sci Rep in 2017. PMID: 28134285

9 / 10
Anti-SNAI1 antibody used in Immunocytochemistry/ Immunofluorescence (ICC/IF). GTX100754
GTX100754 ICC/IF Image

The data was published in the journal Oncotarget in 2017.PMID: 27494900

10 / 10
Anti-SNAI1 antibody used in Western Blot (WB). GTX100754
Anti-SNAI1 antibody used in Western Blot (WB). GTX100754
Anti-SNAI1 antibody used in Western Blot (WB). GTX100754
Anti-SNAI1 antibody used in IHC (Paraffin sections) (IHC-P). GTX100754
Anti-SNAI1 antibody used in Immunocytochemistry/ Immunofluorescence (ICC/IF). GTX100754
Anti-SNAI1 antibody used in Western Blot (WB). GTX100754
Anti-SNAI1 antibody used in Western Blot (WB). GTX100754
Anti-SNAI1 antibody used in Western Blot (WB). GTX100754
Anti-SNAI1 antibody used in Western Blot (WB). GTX100754
Anti-SNAI1 antibody used in Immunocytochemistry/ Immunofluorescence (ICC/IF). GTX100754
  • Host
    Rabbit
  • Clonality
    Polyclonal
  • Isotype
    IgG
  • Applications
    WB ICC/IF IHC-P
  • Reactivity
    Human, Mouse, Rat
See all SNAI1 products