SOX2 antibody [GT1876]

Cat. No. GTX627404
Cat. No.  GTX627404
Anti-SOX2 antibody [GT1876] used in IHC (Frozen sections) (IHC-Fr). GTX627404
GTX627404 IHC-Fr Image

SOX2 antibody [GT1876] detects SOX2 protein expression at nucleus by immunohistochemical analysis.
Sample: Frozen sectioned E13.5 Rat brain.
Red: SOX2 protein stained by SOX2 antibody [GT1876] (GTX627404) diluted at 1:250.
Blue: Fluoroshield with DAPI (GTX30920).

1 / 17
Anti-SOX2 antibody [GT1876] used in Western Blot (WB). GTX627404
GTX627404 WB Image

Whole cell extract (30 μg) was separated by 12% SDS-PAGE, and the membranes were blotted with SOX2 antibody [GT1876] (GTX627404) diluted at 1:1000 and competitor's antibody (sc-17320) diluted at 1:500. The HRP-conjugated anti-mouse IgG antibody (GTX213111-01) was used to detect the primary antibody.

*The competitor is not affiliated with GeneTex and does not endorse this product.

2 / 17
Anti-SOX2 antibody [GT1876] used in IHC (Paraffin sections) (IHC-P). GTX627404
GTX627404 IHC-P Image

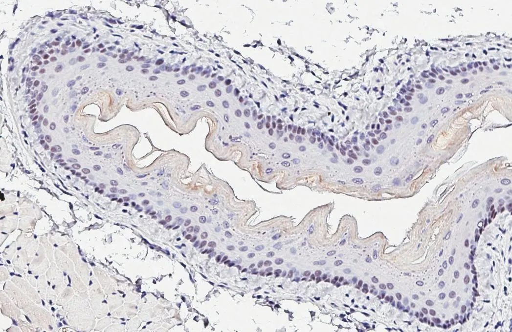
SOX2 antibody [GT1876] detects SOX2 protein by immunohistochemical analysis.
Sample: Paraffin-embedded mouse esophagus.
SOX2 stained by SOX2 antibody [GT1876] (GTX627404) diluted at 1:200.
Antigen Retrieval: Citrate buffer, pH 6.0, 15 min

3 / 17
Anti-SOX2 antibody [GT1876] used in IHC (Paraffin sections) (IHC-P). GTX627404
GTX627404 IHC-P Image

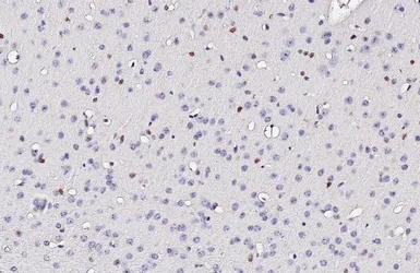
SOX2 antibody [GT1876] detects SOX2 protein by immunohistochemical analysis.
Sample: Paraffin-embedded mouse cerebral cortex.
SOX2 stained by SOX2 antibody [GT1876] (GTX627404) diluted at 1:200.
Antigen Retrieval: Citrate buffer, pH 6.0, 15 min

4 / 17
Anti-SOX2 antibody [GT1876] used in IHC (Paraffin sections) (IHC-P). GTX627404
GTX627404 IHC-P Image

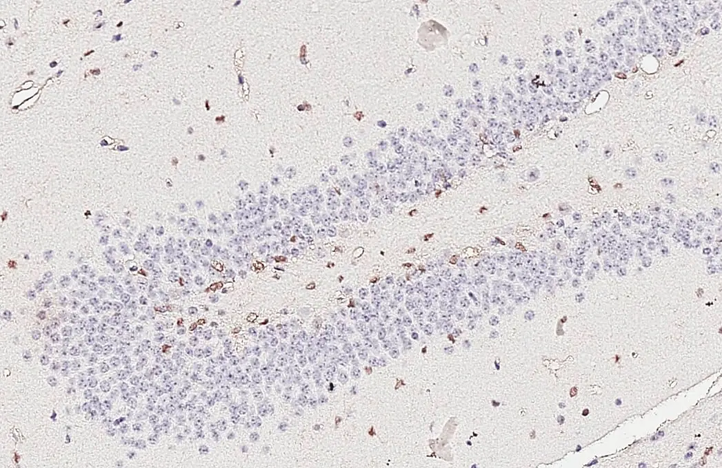
SOX2 antibody [GT1876] detects SOX2 protein by immunohistochemical analysis.
Sample: Paraffin-embedded mouse hippocampus.
SOX2 stained by SOX2 antibody [GT1876] (GTX627404) diluted at 1:200.
Antigen Retrieval: Citrate buffer, pH 6.0, 15 min

5 / 17
Anti-SOX2 antibody [GT1876] used in Flow cytometry (FCM). GTX627404
GTX627404 FCM Image

SOX2 antibody [GT1876] detects SOX2 protein by flow cytomertry analysis. Sample: Human embryonic stem cells Black: Isotype control dilution: 1:50 Green: SOX2 antibody [GT1876] dilution: 1:50

6 / 17
Anti-SOX2 antibody [GT1876] used in IHC (Frozen sections) (IHC-Fr). GTX627404
GTX627404 IHC-Fr Image

Sox2 antibodies detects Sox2 proteins on embryonic mouse brain by immunohistochemical analysis.
Sample: Frozen section of embryonic mouse brain (mE18.5).
Green: GFAP antibody (GTX100850) diluted at 1:500.
Red: Sox2 antibody [GT1876] (GTX627404) diluted at 1:500.

7 / 17
Anti-SOX2 antibody [GT1876] used in Immunoprecipitation (IP). GTX627404
GTX627404 IP Image

Immunoprecipitation of SOX2 protein from NT2D1 whole cell extracts using 5 μg of SOX2 antibody [GT1876] (GTX627404) or SOX2 antibody [N1C3] (GTX101057).
Western blot analysis was performed using SOX2 antibody [GT1876] (GTX627404) diluted at 1:500.
EasyBlot anti-Mouse IgG (GTX221667-01) was used as a secondary reagent.

8 / 17
Anti-SOX2 antibody [GT1876] used in Western Blot (WB). GTX627404
GTX627404 WB Image

SOX2 antibody [GT1876] detects SOX2 protein by Western blot analysis.
A. 30 μg human ESC whole cell lysate/extract
10 % SDS-PAGE
SOX2 antibody [GT1876] (GTX627404) dilution: 1:5000

9 / 17
Anti-SOX2 antibody [GT1876] used in Western Blot (WB). GTX627404
GTX627404 WB Image

SOX2 antibody [GT1876] detects SOX2 protein by Western blot analysis.
A. 30 μg zebrafish eye lysate/extract
10 % SDS-PAGE
SOX2 antibody [GT1876] (GTX627404) dilution: 1:500

10 / 17
Anti-SOX2 antibody [GT1876] used in IHC (Frozen sections) (IHC-Fr). GTX627404
GTX627404 IHC-Fr Image

SOX2 antibody [GT1876] detects SOX2 protein by immunohistochemical analysis.
Sample: Frozen sectioned adult mouse retina.
Green: SOX2 protein stained by SOX2 antibody [GT1876] (GTX627404) diluted at 1:250.
Red: PKC alpha protein stained by PKC alpha antibody [GT1876] (GTX130453) diluted at 1:250.
Blue: Fluoroshield with DAPI (GTX30920).

11 / 17
Anti-SOX2 antibody [GT1876] used in Western Blot (WB). GTX627404
GTX627404 WB Image

Non-transfected (–) and transfected (+) NT2D1 whole cell extracts (30 μg) were separated by 10% SDS-PAGE, and the membrane was blotted with SOX2 antibody [GT1876] (GTX627404) diluted at 1:500.

12 / 17
Anti-SOX2 antibody [GT1876] used in Western Blot (WB). GTX627404
GTX627404 WB Image

Sample (30 ug of whole cell lysate)
A: NT2D1
B: PC-3
C: U87-MG
D: SK-N-SH
10% SDS PAGE
GTX627404 diluted at 1:5000

13 / 17
Anti-SOX2 antibody [GT1876] used in Western Blot (WB). GTX627404
GTX627404 WB Image

The data was published in the 2020 in Sci Rep. PMID: 32398775

14 / 17
Anti-SOX2 antibody [GT1876] used in Western Blot (WB). GTX627404
GTX627404 WB Image

The data was published in the journal Sci Rep in 2016. PMID: 27344963

15 / 17
Anti-SOX2 antibody [GT1876] used in Western Blot (WB). GTX627404
GTX627404 WB Image

The data was published in the journal Sci Rep in 2016. PMID: 27344963

16 / 17
Anti-SOX2 antibody [GT1876] used in Immunocytochemistry/ Immunofluorescence (ICC/IF). GTX627404
GTX627404 ICC/IF Image

The data was published in the journal Int J Biol Sci in 2019.PMID: 31595152

17 / 17
Anti-SOX2 antibody [GT1876] used in IHC (Frozen sections) (IHC-Fr). GTX627404
Anti-SOX2 antibody [GT1876] used in Western Blot (WB). GTX627404
Anti-SOX2 antibody [GT1876] used in IHC (Paraffin sections) (IHC-P). GTX627404
Anti-SOX2 antibody [GT1876] used in IHC (Paraffin sections) (IHC-P). GTX627404
Anti-SOX2 antibody [GT1876] used in IHC (Paraffin sections) (IHC-P). GTX627404
Anti-SOX2 antibody [GT1876] used in Flow cytometry (FCM). GTX627404
Anti-SOX2 antibody [GT1876] used in IHC (Frozen sections) (IHC-Fr). GTX627404
Anti-SOX2 antibody [GT1876] used in Immunoprecipitation (IP). GTX627404
Anti-SOX2 antibody [GT1876] used in Western Blot (WB). GTX627404
Anti-SOX2 antibody [GT1876] used in Western Blot (WB). GTX627404
Anti-SOX2 antibody [GT1876] used in IHC (Frozen sections) (IHC-Fr). GTX627404
Anti-SOX2 antibody [GT1876] used in Western Blot (WB). GTX627404
Anti-SOX2 antibody [GT1876] used in Western Blot (WB). GTX627404
Anti-SOX2 antibody [GT1876] used in Western Blot (WB). GTX627404
Anti-SOX2 antibody [GT1876] used in Western Blot (WB). GTX627404
Anti-SOX2 antibody [GT1876] used in Western Blot (WB). GTX627404
Anti-SOX2 antibody [GT1876] used in Immunocytochemistry/ Immunofluorescence (ICC/IF). GTX627404
  • Host
    Mouse
  • Clonality
    Monoclonal
  • Clone Name
    GT1876
  • Isotype
    IgG1
  • Applications
    WB ICC/IF IHC-P IHC-Fr FCM IP
  • Reactivity
    Human, Mouse, Rat, Zebrafish
See all SOX2 products