SQSTM1 / P62 antibody [N3C1], Internal

Cat. No. GTX100685
Cat. No.  GTX100685
Anti-SQSTM1 / P62 antibody [N3C1], Internal used in Western Blot (WB). GTX100685
GTX100685 WB Image

Non-transfected (–) and transfected (+) HepG2 whole cell extracts (30 μg) were separated by 10% SDS-PAGE, and the membrane was blotted with SQSTM1 antibody [N3C1], Internal (GTX100685) diluted at 1:500. The HRP-conjugated anti-rabbit IgG antibody (GTX213110-01) was used to detect the primary antibody.

1 / 21
Anti-SQSTM1 / P62 antibody [N3C1], Internal used in Immunocytochemistry/ Immunofluorescence (ICC/IF). GTX100685
GTX100685 ICC/IF Image

SQSTM1 antibody [N3C1], Internal detects SQSTM1 protein at autophagosome by immunofluorescent analysis.
Samples: HeLa cells mock (left) and treated with 50μM Chloroquine for 24 hr (right) were fixed in 4% paraformaldehyde at RT for 15 min.
Green: SQSTM1 protein stained by SQSTM1 antibody [N3C1], Internal (GTX100685) diluted at 1:1000.
Red: Phalloidin, a F-actin marker.

2 / 21
Anti-SQSTM1 / P62 antibody [N3C1], Internal used in Western Blot (WB). GTX100685
GTX100685 WB Image

Various whole cell extracts (30 μg) were separated by 10% SDS-PAGE, and the membrane was blotted with SQSTM1 / P62 antibody [N3C1], Internal (GTX100685) diluted at 1:500. The HRP-conjugated anti-rabbit IgG antibody (GTX213110-01) was used to detect the primary antibody.

3 / 21
Anti-SQSTM1 / P62 antibody [N3C1], Internal used in Immunocytochemistry/ Immunofluorescence (ICC/IF). GTX100685
GTX100685 ICC/IF Image

SQSTM1 antibody [N3C1], Internal detects SQSTM1 protein at autophagosome by immunofluorescent analysis.
Samples: HepG2 cells treated with 3μM thapsigargin 12 hrs (rigtht) and mock (left) were fixed in ice-cold MeOH for 10 min, permeabilize with cooled acetone for 1 min .
Green: SQSTM1 protein stained by SQSTM1 antibody [N3C1], Internal (GTX100685) diluted at 1:500.
Blue: Hoechst 33342 staining.
Scale bar = 10 μm.

4 / 21
Anti-SQSTM1 / P62 antibody [N3C1], Internal used in Flow cytometry (FCM). GTX100685
GTX100685 FCM Image

SQSTM1 antibody [N3C1], Internal (GTX100685) detects SQSTM1 protein by flow cytometry analysis.
Sample: HeLa cell fixed in 4% paraformaldehyde at 4oC for 5 min.
Brown: Unlabelled sample was also used as a control.
Blue: SQSTM1 antibody [N3C1], Internal] (GTX100685) dilution: 1:100.
Acquisition of >20,000 events were collected using Argon ion laser (488nm) and 525/30 bandpass filter.

5 / 21
Anti-SQSTM1 / P62 antibody [N3C1], Internal used in Immunoprecipitation (IP). GTX100685
GTX100685 IP Image

Immunoprecipitation of SQSTM1 protein from HeLa whole cell extracts using 5 μg of SQSTM1 antibody [N3C1], Internal (GTX100685).
Western blot analysis was performed using SQSTM1 antibody [N3C1], Internal (GTX100685).
EasyBlot anti-Rabbit IgG (GTX221666-01) was used as a secondary reagent.

6 / 21
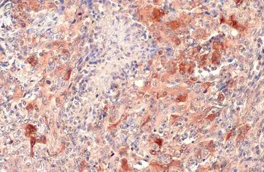
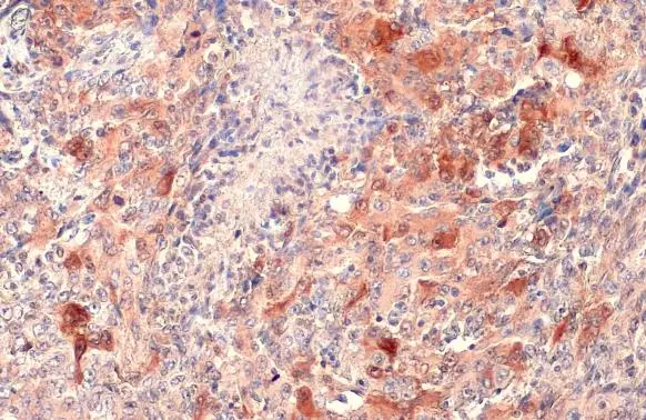
Anti-SQSTM1 / P62 antibody [N3C1], Internal used in IHC (Paraffin sections) (IHC-P). GTX100685
GTX100685 IHC-P Image

SQSTM1 / P62 antibody [N3C1], Internal detects SQSTM1 / P62 protein at cytoplasm by immunohistochemical analysis.
Sample: Paraffin-embedded human lung cancer.
SQSTM1 / P62 stained by SQSTM1 / P62 antibody [N3C1], Internal (GTX100685) diluted at 1:500.
Antigen Retrieval: Citrate buffer, pH 6.0, 15 min

7 / 21
Anti-SQSTM1 / P62 antibody [N3C1], Internal used in Western Blot (WB). GTX100685
GTX100685 WB Image

SQSTM1 antibody [N3C1], Internal detects SQSTM1 protein by western blot analysis.
A. 30 μg NIH-3T3 whole cell lysate/extract
B. 30 μg JC whole cell lysate/extract
C. 30 μg BCL-1 whole cell lysate/extract
12% SDS-PAGE
SQSTM1 antibody [N3C1], Internal (GTX100685) dilution: 1:1000
The HRP-conjugated anti-rabbit IgG antibody (GTX213110-01) was used to detect the primary antibody.

8 / 21
Anti-SQSTM1 / P62 antibody [N3C1], Internal used in Western Blot (WB). GTX100685
GTX100685 WB Image

SQSTM1 antibody [N3C1], Internal detects SQSTM1 protein by western blot analysis.
A. 30 μg PC-12 whole cell lysate/extract
B. 30 μg Rat2 whole cell lysate/extract
10% SDS-PAGE
SQSTM1 antibody [N3C1], Internal (GTX100685) dilution: 1:1000
The HRP-conjugated anti-rabbit IgG antibody (GTX213110-01) was used to detect the primary antibody.

9 / 21
Anti-SQSTM1 / P62 antibody [N3C1], Internal used in Western Blot (WB). GTX100685
GTX100685 WB Image

Untreated (–) and treated (+) Huh-7 whole cell extracts (30 μg) were separated by 10% SDS-PAGE, and the membrane was blotted with SQSTM1 antibody [N3C1], Internal (GTX100685) diluted at 1:1000. The HRP-conjugated anti-rabbit IgG antibody (GTX213110-01) was used to detect the primary antibody.

10 / 21
Anti-SQSTM1 / P62 antibody [N3C1], Internal used in Western Blot (WB). GTX100685
GTX100685 WB Image

Untreated (–) and treated (+) HepG2 whole cell extracts (30 μg) were separated by 10% SDS-PAGE, and the membrane was blotted with SQSTM1 / P62 antibody [N3C1], Internal (GTX100685) diluted at 1:1000. The HRP-conjugated anti-rabbit IgG antibody (GTX213110-01) was used to detect the primary antibody.

11 / 21
Anti-SQSTM1 / P62 antibody [N3C1], Internal used in Western Blot (WB). GTX100685
GTX100685 WB Image

Untreated (–) and treated (+) NIH-3T3 whole cell extract (30 μg) were separated by 10% SDS-PAGE, and the membrane was blotted with SQSTM1 / P62 antibody [N3C1], Internal (GTX100685) diluted at 1:5000. The HRP-conjugated anti-rabbit IgG antibody (GTX213110-01) was used to detect the primary antibody, and the signal was developed with Trident ECL plus-Enhanced.

12 / 21
Anti-SQSTM1 / P62 antibody [N3C1], Internal used in Western Blot (WB). GTX100685
GTX100685 WB Image

The data was published in the journal Sci Rep in 2017. PMID: 28134285

13 / 21
Anti-SQSTM1 / P62 antibody [N3C1], Internal used in Western Blot (WB). GTX100685
GTX100685 WB Image

The data was published in the journal Antioxidants (Basel) in 2019.PMID: 31906147

14 / 21
Anti-SQSTM1 / P62 antibody [N3C1], Internal used in Western Blot (WB). GTX100685
GTX100685 WB Image

The data was published in the journal Antioxidants (Basel) in 2019.PMID: 31906147

15 / 21
Anti-SQSTM1 / P62 antibody [N3C1], Internal used in Western Blot (WB). GTX100685
GTX100685 WB Image

The data was published in the journal Biomolecules in 2019.PMID: 31505885

16 / 21
Anti-SQSTM1 / P62 antibody [N3C1], Internal used in Western Blot (WB). GTX100685
GTX100685 WB Image

The data was published in the journal Biomolecules in 2019.PMID: 31505885

17 / 21
Anti-SQSTM1 / P62 antibody [N3C1], Internal used in Western Blot (WB). GTX100685
GTX100685 WB Image

The data was published in the journal Front Pharmacol in 2017.PMID: 29326587

18 / 21
Anti-SQSTM1 / P62 antibody [N3C1], Internal used in Western Blot (WB). GTX100685
GTX100685 WB Image

The data was published in the 2020 in Int J Mol Sci. PMID: 33260618

19 / 21
Anti-SQSTM1 / P62 antibody [N3C1], Internal used in Western Blot (WB). GTX100685
GTX100685 WB Image

The data was published in the journal Biomolecules in 2019.PMID: 31505885

20 / 21
Anti-SQSTM1 / P62 antibody [N3C1], Internal used in Western Blot (WB). GTX100685
GTX100685 WB Image

The data was published in the journal PLoS One in 2015.PMID: 25946033

21 / 21
Anti-SQSTM1 / P62 antibody [N3C1], Internal used in Western Blot (WB). GTX100685
Anti-SQSTM1 / P62 antibody [N3C1], Internal used in Immunocytochemistry/ Immunofluorescence (ICC/IF). GTX100685
Anti-SQSTM1 / P62 antibody [N3C1], Internal used in Western Blot (WB). GTX100685
Anti-SQSTM1 / P62 antibody [N3C1], Internal used in Immunocytochemistry/ Immunofluorescence (ICC/IF). GTX100685
Anti-SQSTM1 / P62 antibody [N3C1], Internal used in Flow cytometry (FCM). GTX100685
Anti-SQSTM1 / P62 antibody [N3C1], Internal used in Immunoprecipitation (IP). GTX100685
Anti-SQSTM1 / P62 antibody [N3C1], Internal used in IHC (Paraffin sections) (IHC-P). GTX100685
Anti-SQSTM1 / P62 antibody [N3C1], Internal used in Western Blot (WB). GTX100685
Anti-SQSTM1 / P62 antibody [N3C1], Internal used in Western Blot (WB). GTX100685
Anti-SQSTM1 / P62 antibody [N3C1], Internal used in Western Blot (WB). GTX100685
Anti-SQSTM1 / P62 antibody [N3C1], Internal used in Western Blot (WB). GTX100685
Anti-SQSTM1 / P62 antibody [N3C1], Internal used in Western Blot (WB). GTX100685
Anti-SQSTM1 / P62 antibody [N3C1], Internal used in Western Blot (WB). GTX100685
Anti-SQSTM1 / P62 antibody [N3C1], Internal used in Western Blot (WB). GTX100685
Anti-SQSTM1 / P62 antibody [N3C1], Internal used in Western Blot (WB). GTX100685
Anti-SQSTM1 / P62 antibody [N3C1], Internal used in Western Blot (WB). GTX100685
Anti-SQSTM1 / P62 antibody [N3C1], Internal used in Western Blot (WB). GTX100685
Anti-SQSTM1 / P62 antibody [N3C1], Internal used in Western Blot (WB). GTX100685
Anti-SQSTM1 / P62 antibody [N3C1], Internal used in Western Blot (WB). GTX100685
Anti-SQSTM1 / P62 antibody [N3C1], Internal used in Western Blot (WB). GTX100685
Anti-SQSTM1 / P62 antibody [N3C1], Internal used in Western Blot (WB). GTX100685
  • Host
    Rabbit
  • Clonality
    Polyclonal
  • Isotype
    IgG
  • Applications
    WB ICC/IF IHC-P FCM IP PLA
  • Reactivity
    Human, Mouse, Rat, Zebrafish, Bovine, Honeybee, Mosquito
Summary
SQSTM1 antibody, also known as ubiquitin-binding protein p62 antibody, detects the SQSTM1 protein that interacts with LC3 proteins to execute autophagosomal degradation. SQSTM1 is also reported to regulate the activation of NFκB1 downstream signaling in addition to having other cellular functions.
See all SQSTM1 / P62 products