STAT3 antibody [C3], C-term

Cat. No. GTX104616
Cat. No.  GTX104616
Anti-STAT3 antibody [C3], C-term used in Western Blot (WB). GTX104616
GTX104616 WB Image

Wild-type (WT) and STAT3 knockout (KO) HeLa cell extracts (30 μg) were separated by 7.5% SDS-PAGE, and the membrane was blotted with STAT3 antibody [C3], C-term (GTX104616) diluted at 1:1000. The HRP-conjugated anti-rabbit IgG antibody (GTX213110-01) was used to detect the primary antibody.

1 / 15
Anti-STAT3 antibody [C3], C-term used in Western Blot (WB). GTX104616
GTX104616 WB Image

Non-transfected (–) and transfected (+) OC3 whole cell extracts (30 μg) were separated by 7.5% SDS-PAGE, and the membrane was blotted with STAT3 antibody [C3], C-term (GTX104616) diluted at 1:500. The HRP-conjugated anti-rabbit IgG antibody (GTX213110-01) was used to detect the primary antibody.

2 / 15
Anti-STAT3 antibody [C3], C-term used in Western Blot (WB). GTX104616
GTX104616 WB Image

Various whole cell extracts (30 μg) were separated by 7.5% SDS-PAGE, and the membranes were blotted with STAT3 antibody [C3], C-term (GTX104616) diluted at 1:1000 and competitor's antibody diluted at 1:1000. The HRP-conjugated anti-rabbit IgG antibody (GTX213110-01) was used to detect the primary antibody.

*The competitor is not affiliated with GeneTex and does not endorse this product.

3 / 15
Anti-STAT3 antibody [C3], C-term used in Western Blot (WB). GTX104616
GTX104616 WB Image

Various whole cell extracts (30 μg) were separated by 7.5% SDS-PAGE, and the membrane was blotted with STAT3 antibody [C3], C-term (GTX104616) diluted at 1:1000. The HRP-conjugated anti-rabbit IgG antibody (GTX213110-01) was used to detect the primary antibody.

4 / 15
Anti-STAT3 antibody [C3], C-term used in Immunocytochemistry/ Immunofluorescence (ICC/IF). GTX104616
GTX104616 ICC/IF Image

Immunofluorescence analysis of paraformaldehyde-fixed HeLa, using STAT3(GTX104616) antibody at 1:200 dilution.

5 / 15
Anti-STAT3 antibody [C3], C-term used in Western Blot (WB). GTX104616
GTX104616 WB Image

Sample (20 μg of whole cell lysate)
A: human ESC
7.5% SDS PAGE
GTX104616 diluted at 1:1000
The HRP-conjugated anti-rabbit IgG antibody (GTX213110-01) was used to detect the primary antibody.

6 / 15
Anti-STAT3 antibody [C3], C-term used in Western Blot (WB). GTX104616
GTX104616 WB Image

Various whole cell extracts (30 μg) were separated by 7.5% SDS-PAGE, and the membrane was blotted with STAT3 antibody [C3], C-term (GTX104616) diluted at 1:1000. The HRP-conjugated anti-rabbit IgG antibody (GTX213110-01) was used to detect the primary antibody.

7 / 15
Anti-STAT3 antibody [C3], C-term used in Western Blot (WB). GTX104616
GTX104616 WB Image

The data was published in the journal Cancer Cell Int in 2020.PMID: 31920463

8 / 15
Anti-STAT3 antibody [C3], C-term used in Western Blot (WB). GTX104616
GTX104616 WB Image

The data was published in the journal Cancer Cell Int in 2020.PMID: 31920463

9 / 15
Anti-STAT3 antibody [C3], C-term used in Western Blot (WB). GTX104616
GTX104616 WB Image

The data was published in the 2019 in J Exp Clin Cancer Res. PMID: 30961670

10 / 15
Anti-STAT3 antibody [C3], C-term used in Western Blot (WB). GTX104616
GTX104616 WB Image

The data was published in the journal Int J Mol Sci in 2018. PMID: 29794990

11 / 15
Anti-STAT3 antibody [C3], C-term used in Western Blot (WB). GTX104616
GTX104616 WB Image

The data was published in the journal Int J Mol Sci in 2018. PMID: 29794990

12 / 15
Anti-STAT3 antibody [C3], C-term used in Western Blot (WB). GTX104616
GTX104616 WB Image

The data was published in the 2020 in PLoS One. PMID: 33382817

13 / 15
Anti-STAT3 antibody [C3], C-term used in Western Blot (WB). GTX104616
GTX104616 WB Image

The data was published in the 2022 in Cell Death Dis. PMID: 35296653

14 / 15
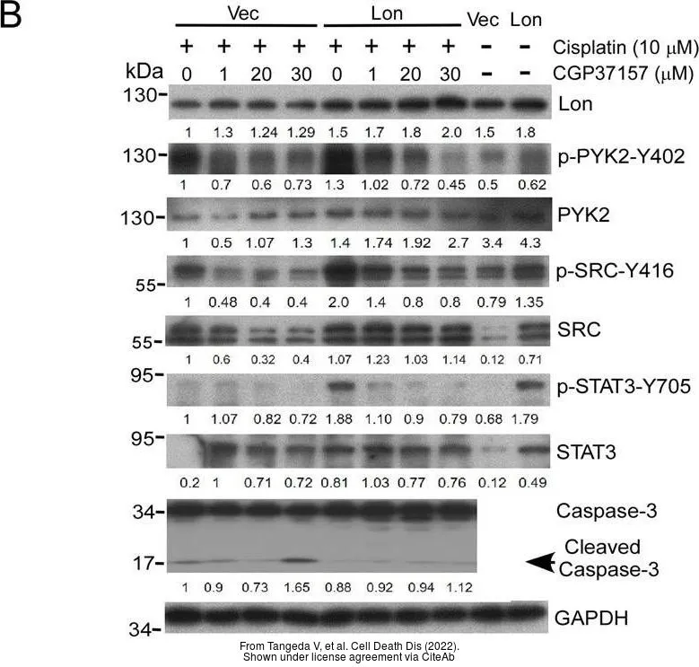
Anti-STAT3 antibody [C3], C-term used in Western Blot (WB). GTX104616
GTX104616 WB Image

The data was published in the 2022 in Cell Death Dis. PMID: 35296653

15 / 15
Anti-STAT3 antibody [C3], C-term used in Western Blot (WB). GTX104616
Anti-STAT3 antibody [C3], C-term used in Western Blot (WB). GTX104616
Anti-STAT3 antibody [C3], C-term used in Western Blot (WB). GTX104616
Anti-STAT3 antibody [C3], C-term used in Western Blot (WB). GTX104616
Anti-STAT3 antibody [C3], C-term used in Immunocytochemistry/ Immunofluorescence (ICC/IF). GTX104616
Anti-STAT3 antibody [C3], C-term used in Western Blot (WB). GTX104616
Anti-STAT3 antibody [C3], C-term used in Western Blot (WB). GTX104616
Anti-STAT3 antibody [C3], C-term used in Western Blot (WB). GTX104616
Anti-STAT3 antibody [C3], C-term used in Western Blot (WB). GTX104616
Anti-STAT3 antibody [C3], C-term used in Western Blot (WB). GTX104616
Anti-STAT3 antibody [C3], C-term used in Western Blot (WB). GTX104616
Anti-STAT3 antibody [C3], C-term used in Western Blot (WB). GTX104616
Anti-STAT3 antibody [C3], C-term used in Western Blot (WB). GTX104616
Anti-STAT3 antibody [C3], C-term used in Western Blot (WB). GTX104616
Anti-STAT3 antibody [C3], C-term used in Western Blot (WB). GTX104616
  • Host
    Rabbit
  • Clonality
    Polyclonal
  • Isotype
    IgG
  • Applications
    WB ICC/IF IHC-P
  • Reactivity
    Human, Mouse, Rat, Plant
See all STAT3 products