TDP43 antibody

Cat. No. GTX114210
Cat. No.  GTX114210
Anti-TDP43 antibody used in Immunoprecipitation (IP). GTX114210
GTX114210 IP Image

TARDBP antibody immunoprecipitates TARDBP protein in IP experiments. IP Sample: HeLa whole cell lysate/extract A. 40 μg HeLa whole cell lysate/extract B. Control with 2 μg of preimmune rabbit IgG C. Immunoprecipitation of TARDBP protein by 2 μg of TARDBP antibody (GTX114210) 12% SDS-PAGE The immunoprecipitated TARDBP protein was detected by TARDBP antibody (GTX114210) diluted at 1:1000. EasyBlot anti-rabbit IgG (GTX221666-01) was used as a secondary reagent.

1 / 9
Anti-TDP43 antibody used in Western Blot (WB). GTX114210
GTX114210 WB Image

Various whole cell extracts (30 μg) were separated by 10% SDS-PAGE, and the membrane was blotted with TDP43 antibody (GTX114210) diluted at 1:1000. The HRP-conjugated anti-rabbit IgG antibody (GTX213110-01) was used to detect the primary antibody.

2 / 9
Anti-TDP43 antibody used in Immunocytochemistry/ Immunofluorescence (ICC/IF). GTX114210
GTX114210 ICC/IF Image

TDP43 antibody detects TDP43 protein by immunofluorescent analysis.
Sample: DIV10 rat E18 primary cortical neuron cells were fixed in 4% paraformaldehyde at RT for 15 min.
Green: TDP43 stained by TDP43 antibody (GTX114210) diluted at 1:500.
Red: Tau, stained by Tau antibody [GT287] (GTX634809) diluted at 1:500.
Blue: Fluoroshield with DAPI (GTX30920).

3 / 9
Anti-TDP43 antibody used in Western Blot (WB). GTX114210
GTX114210 WB Image

TARDBP antibody detects TARDBP protein by western blot analysis.
A. 30 μg Neuro2A whole cell lysate/extract
B. 30 μg GL261 whole cell lysate/extract
C. 30 μg NIH-3T3 whole cell lysate/extract
D. 30 μg BCL-1 whole cell lysate/extract
E. 30 μg Raw264.7 whole cell lysate/extract
10% SDS-PAGE
TARDBP antibody (GTX114210) dilution: 1:3000
The HRP-conjugated anti-rabbit IgG antibody (GTX213110-01) was used to detect the primary antibody.

4 / 9
Anti-TDP43 antibody used in Western Blot (WB). GTX114210
GTX114210 WB Image

Various whole cell extracts (30 μg) were separated by 10% SDS-PAGE, and the membrane was blotted with TDP43 antibody (GTX114210) diluted at 1:2000. The HRP-conjugated anti-rabbit IgG antibody (GTX213110-01) was used to detect the primary antibody.

5 / 9
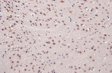
Anti-TDP43 antibody used in IHC (Paraffin sections) (IHC-P). GTX114210
GTX114210 IHC-P Image

TDP43 antibody detects TDP43 protein at nucleus by immunohistochemical analysis.
Sample: Paraffin-embedded rat brain.
TDP43 stained by TDP43 antibody (GTX114210) diluted at 1:500.
Antigen Retrieval: Citrate buffer, pH 6.0, 15 min

6 / 9
Anti-TDP43 antibody used in Immunocytochemistry/ Immunofluorescence (ICC/IF). GTX114210
GTX114210 ICC/IF Image

TDP43 antibody detects TDP43 protein at nucleus by immunofluorescent analysis.
Sample: HeLa cells were fixed in 4% paraformaldehyde at RT for 15 min.
Green: TDP43 stained by TDP43 antibody (GTX114210) diluted at 1:2000.
Red: phalloidin, a cytoskeleton marker, diluted at 1:200.

7 / 9
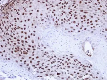
Anti-TDP43 antibody used in IHC (Paraffin sections) (IHC-P). GTX114210
GTX114210 IHC-P Image

Immunohistochemical analysis of paraffin-embedded Cal27 Xenograft , using TDP-43(GTX114210) antibody at 1:100 dilution.
Antigen Retrieval: Trilogy™ (EDTA based, pH 8.0) buffer, 15min

8 / 9
Anti-TDP43 antibody used in IHC (Paraffin sections) (IHC-P). GTX114210
GTX114210 IHC-P Image

TDP43 antibody detects TDP43 protein at nucleus by immunohistochemical analysis.
Sample: Paraffin-embedded mouse brain.
TDP43 stained by TDP43 antibody (GTX114210) diluted at 1:500.
Antigen Retrieval: Citrate buffer, pH 6.0, 15 min

9 / 9
Anti-TDP43 antibody used in Immunoprecipitation (IP). GTX114210
Anti-TDP43 antibody used in Western Blot (WB). GTX114210
Anti-TDP43 antibody used in Immunocytochemistry/ Immunofluorescence (ICC/IF). GTX114210
Anti-TDP43 antibody used in Western Blot (WB). GTX114210
Anti-TDP43 antibody used in Western Blot (WB). GTX114210
Anti-TDP43 antibody used in IHC (Paraffin sections) (IHC-P). GTX114210
Anti-TDP43 antibody used in Immunocytochemistry/ Immunofluorescence (ICC/IF). GTX114210
Anti-TDP43 antibody used in IHC (Paraffin sections) (IHC-P). GTX114210
Anti-TDP43 antibody used in IHC (Paraffin sections) (IHC-P). GTX114210
  • Host
    Rabbit
  • Clonality
    Polyclonal
  • Isotype
    IgG
  • Applications
    WB ICC/IF IHC-P IP ChIP-seq RIP
  • Reactivity
    Human, Mouse, Rat
See all TDP43 products