TIE1 antibody [12D9]

Cat. No. GTX52470
Cat. No.  GTX52470
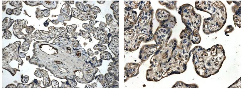
Anti-TIE1 antibody [12D9] used in IHC (Paraffin sections) (IHC-P). GTX52470
GTX52470 IHC-P Image

IHC-P analysis of formalin fixed human placenta tissue using GTX52470 TIE1 antibody [12D9].

1 / 1
Anti-TIE1 antibody [12D9] used in IHC (Paraffin sections) (IHC-P). GTX52470
  • Host
    Mouse
  • Clonality
    Monoclonal
  • Clone Name
    12D9
  • Isotype
    IgG1
  • Applications
    WB IHC-P
  • Reactivity
    Human
See all TIE1 products