Thrombospondin 2 antibody

Cat. No. GTX134554
Cat. No.  GTX134554
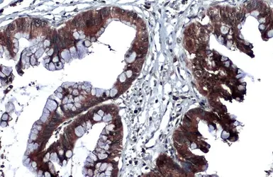
Anti-Thrombospondin 2 antibody used in IHC (Paraffin sections) (IHC-P). GTX134554
GTX134554 IHC-P Image

Thrombospondin 2 antibody detects Thrombospondin 2 protein at cytoplasm by immunohistochemical analysis.
Sample: Paraffin-embedded human pancreatic cancer.
Thrombospondin 2 stained by Thrombospondin 2 antibody (GTX134554) diluted at 1:1000.
Antigen Retrieval: Citrate buffer, pH 6.0, 15 min

1 / 4
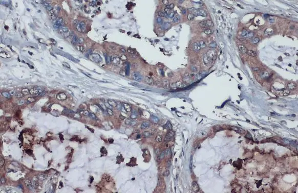
Anti-Thrombospondin 2 antibody used in IHC (Paraffin sections) (IHC-P). GTX134554
GTX134554 IHC-P Image

Thrombospondin 2 antibody detects Thrombospondin 2 protein at cytoplasm by immunohistochemical analysis.
Sample: Paraffin-embedded human pancreatic cancer.
Thrombospondin 2 stained by Thrombospondin 2 antibody (GTX134554) diluted at 1:1000.
Antigen Retrieval: Citrate buffer, pH 6.0, 15 min

2 / 4
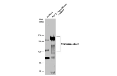
Anti-Thrombospondin 2 antibody used in Western Blot (WB). GTX134554
GTX134554 WB Image

AsPC-1 whole cell extract and conditioned medium (30 μg) were separated by 5% SDS-PAGE, and the membrane was blotted with Thrombospondin 2 antibody (GTX134554) diluted at 1:1000. The HRP-conjugated anti-rabbit IgG antibody (GTX213110-01) was used to detect the primary antibody.

3 / 4
Anti-Thrombospondin 2 antibody used in Western Blot (WB). GTX134554
GTX134554 WB Image

Non-transfected (–) and transfected (+) 293T whole cell extracts (30 μg) were separated by 5% SDS-PAGE, and the membrane was blotted with Thrombospondin 2 antibody (GTX134554) diluted at 1:1000. The HRP-conjugated anti-rabbit IgG antibody (GTX213110-01) was used to detect the primary antibody.

4 / 4
Anti-Thrombospondin 2 antibody used in IHC (Paraffin sections) (IHC-P). GTX134554
Anti-Thrombospondin 2 antibody used in IHC (Paraffin sections) (IHC-P). GTX134554
Anti-Thrombospondin 2 antibody used in Western Blot (WB). GTX134554
Anti-Thrombospondin 2 antibody used in Western Blot (WB). GTX134554
  • Host
    Rabbit
  • Clonality
    Polyclonal
  • Isotype
    IgG
  • Applications
    WB IHC-P
  • Reactivity
    Human
Summary
Thrombospondin 2, also known as THBS2 and TSP2, is a secreted glycoprotein with a predicted molecular weight of 130 kDa. THBS2 mediates cell-to-cell and cell-to-matrix interactions, and can be expressed together with CA 19-9 in patients with early pancreatic ductal adenocarcinoma.
See all Thrombospondin 2 products